Spyttkjerteldrenasje til ductus thyreoglossus

    ()

    sporsmal_grey_rgb
    Abstract

    Manglende tilbakedanning av ductus thyreoglossus er en av de vanligste årsakene til ekspansjoner i halsens midtlinje. Det er beskrevet flere tilfeller av residiverende thyreoglossus-cyster med påfølgende sinusdanninger og plagsom sekresjon. Få har beskrevet aksessorisk spyttkjertel som tømmer seg i ductus thyreoglossus og som kan føre til residiv ved suboptimal kirurgi.

    Vi ønsker å gjøre oppmerksom på denne varianten via to kasuistiske meddelelser om pasienter som etter grundig preoperativ utredning ble vellykket kirurgisk behandlet.

    Vi understreker behovet for omfattende disseksjon og fjerning av affisert område mellom tungebeinet og foramen cecum i slike tilfeller. Fistulografi var til stor nytte for å kartlegge fistelutbredningen og påvise de kommuniserende spyttkjertelganger preoperativt. Det var nyttig å injisere metylenblått peroperativt for å visualisere spyttkjertelgangene i tunge og munngulv.

    Abstract

    Background

    . Failure in regression of the thyroglossal duct is one of the most common reasons for midline swellings in the neck. Several authors have described recurrent thyroglossal duct remnants with persisting draining sinuses. However, few have described accessory salivary glands that drain into the thyroglossal duct.

    Material and methods

    . In this article we report two such cases with midline salivary glands in the floor of the mouth.

    Results

    . These two patients were subsequently successfully treated with radical tissue resection in the area between the hyoid bone and foramen cecum.

    Interpretation

    . Preoperative fistulography or sinography was useful to demonstrate the ductal ramification of the salivary glands, and use of methylene blue during surgery proved of significant value for the result.

    Artikkel

    En vanlig årsak til hevelse i midtlinjen på halsen er manglende tilbakedanning av ductus thyreoglossus. Omkring fjerde embryonale uke fremkommer glandula thyreoidea som en epitelial utvekst fra gulvet i pharynx. Dette området blir på et senere tidspunkt betegnet som foramen cecum. Glandula thyreoidea descenderer ned i mesodermalt vev, og vandrer kaudalt til den når sin endelige plassering foran trachea i sjuende embryonale uke. I løpet av vandringen er kjertelen forbundet med tungen med ductus thyreoglossus, som er en tynn kanal som senere blir solid for til slutt å forsvinne (1). Ved manglende tilbakedanning av kanalen vil det kunne oppstå en thyreoglossuscyste, en fistel eller en sinus. Det eksisterer ofte en inkonsekvens i språkbruken – betegnelsen fistel brukes ofte der man mener sinus. En sinus er en åpning mellom en indre struktur og en epiteloverflate, mens en fistel er en forbindelse mellom to epiteliale overflater. I de fleste tilfellene hvor ductus thyreoglossus ender i en åpning på halsen dreier det seg om en sinusdanning.

    Thyreoglossuscyster og fistler behandles kirurgisk. Tidligere var residiv vanlig etter operasjonen. Etter at Sistrunk i 1920 beskrev en prosedyre hvor man dissekerer løs cysten, fjerner midtre del av tungebeinet og tilhørende ductus thyreoglossus, har residivfrekvensen avtatt betraktelig (2). Mickel & Calcaterra refererer flere undersøkelser med residivfrekvens på 4 – 6 % etter Sistrunks operasjon (3).

    Ved residiv som oppstår på tross av korrekt kirurgisk prosedyre, har flere forfattere beskrevet gangsystem med forgreninger over og omkring tungebeinet (3 – 6). Man har antatt at gjenstående rester av gangsystemet har vært årsak til residivene. Nanson beskrev i 1979 tre pasienter hvorav en med sinusdanning og to med fisteldanning etter kirurgi på grunn av thyreoglossuscyster (7). Etter nærmere undersøkelser fant han aksessorisk spyttkjertelvev med et gangsystem som tømte seg i ductus thyreoglossus. Senere har Horisawa og medarbeidere funnet sekretoriske kjertler i relasjon til ductus thyreoglossus (8). Vi ønsker å minne om denne kompliserende tilstand gjennom to kasuistikker.

    Pasient 1 . 26 år gammel psykisk utviklingshemmet mann som siden fødselen hadde hatt en fistel i midtlinjen på halsen. Han ble operert i treårsalderen, men fikk residiv og ny fisteldanning etter en tid. Han var i flere år plaget av sekresjon fra fistelåpningen, tidvis kraftig og delvis purulent i forbindelse med øvre luftveisinfeksjoner. Han hadde fått gjentatte antibiotikakurer med god effekt.

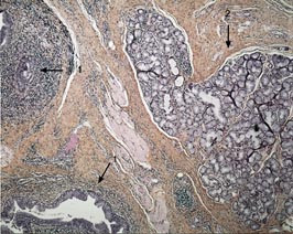
    Ved undersøkelse fant man arrforandringer med keloiddanning på høyre side av halsen etter tidligere operasjon. Man kunne klemme ut klar væske fra en fistelåpning i midtlinjen ved thyreoideabrusken. Det var ingen synlig fistelåpning ved foramen cecum. Fistulografi viste kontrastfylling fra åpningen på huden med kommunikasjon til foramen cecum og kontrastovergang til svelget. I munngulvet fant man et grenet spyttkjertelliknende gangsystem (fig 1). Sialografi av begge glandulae submandibulares ble utført for å utelukke kommunikasjon mellom disse spyttkjertler og det gangsystemet som tømte seg i ductus thyreoglossus. Sialografien viste ingen slik kommunikasjon. Thyreoideascintigrafi viste lett asymmetri, med normal funksjon og beliggenhet.

    Ny operasjon ble utført via midtlinjesnitt på halsen etter injeksjon av metylenblått i fistelåpningen. Man dissekerte seg ned til tungebeinet, som var intakt. Kanalen gikk gjennom midtre del av tungebeinet, som ble fridissekert og fjernet. Hovedkanalen ble deretter fulgt innover mot tungeroten. 1,5 cm fra foramen cecum buktet den seg og gikk over i et konglomerat av ganger som ble dissekert løs fra omkringliggende vev uten penetrasjon til munnhulen. Kontroll ti måneder postoperativt viste noe keloiddanning, men intet residiv. Histologisk undersøkelse viste en langsgående epitelkledd gang med et en- til flerlaget regelmessig epitel, mulig cilieførende. I og omkring gangen ble det funnet kronisk betennelse, tverrstripet muskulatur og små grupper med seromukøse spyttkjertler.

    Pasient 2. 14 år gammel jente med ca. ni måneders sykehistorie som startet med en kul i midtlinjen på halsen. Det tilkom etter hvert infeksjonstegn, og det ble gjort incisjon og drenasje. Etter dette utviklet pasienten en sinus med kronisk sekresjon og granulasjonsdanning omkring sinusåpningen. Hun ble på ny operert fem uker senere. Man fjernet en del bløtvev, men på grunn av vanskelig tilgang og uvanlig forløp av cysten ble det ikke foretatt ytterligere inngrep med fjerning av tungebein. Det tilkom ny sinusdanning og sekresjon. Det var ingen synlig fistelåpning svarende til foramen cecum. Sinografi viste kontrastoppfylling fra åpning i huden til et område opp mot foramen cecum. Gangen forgrenet seg her i et spyttkjertelliknende gangsystem med tilsvarende funn som i figur 1, men uten gjennomgående kommunikasjon til munnhule/svelg. Thyreoideascintigrafi viste intet patologisk.

    Pasienten ble operert for tredje gang etter forutgående injeksjon av små mengder metylenblått i sinusåpningen. Det ble lagt et Y-formet snitt i midtlinjen og man eksiderte hudområdet med sinusåpningen. Sinusgangen ble fulgt til tungebeinet, og midtre del av dette ble løst ut fra omliggende vev. Kanalen fortsatte oppover og bakover mot tungebasis, hvor man observerte flere knappenålshodestore områder farget med metylenblått. Dette området ble dissekert ut. Man penetrerte slimhinnen mot munnhulen. Penetrasjonen ble lukket med vikrylsuturer. Det ble til slutt lagt inn vakuumdren. Postoperativt forløp var ukomplisert. Pasienten har vært kontaktet telefonisk fem måneder postoperativt, og det er ikke tegn til residiv.

    Histologisk undersøkelse viste hud med sinus med uttalt kronisk betennelse, og i dypet ganger kledd hovedsakelig av et flerradet, ciliert sylinderepitel, men til dels også flerlaget plateepitel. Lenger proksimalt så man skjelettmuskulatur med et tilsvarende forgrenet gangsystem med mukøse spyttkjertler i vevet omkring (fig 2).

    Diskusjon

    Diskusjon

    I mange tilfeller vil en fistel- eller sinusdanning etter suboptimal kirurgi være mer sjenerende enn selve grunnlidelsen. Mange av pasientene med symptomgivende mediane halscyster er i tenårene eller yngre. I denne alderen er de svært sårbare, og vi har hatt pasienter som unngikk sosiale aktiviteter og jevnaldrende på grunn av sekresjonen. En spyttkjertel med kommunikasjon til ductus thyreoglossus kan hindre lukking av fistelen. Det er tidligere beskrevet spyttsekresjon fra ductus thyreoglossus i forbindelse med måltid (7).

    Flere forfattere har vist at residiv kan forekomme selv etter fjerning av tungebeinets midtre del (3 – 5, 8). Dette har ført til anbefaling av en mer utbredt disseksjon i området mellom tungebeinet og foramen cecum, nærmest en en bloc-disseksjon for å unngå residiv. Hos våre to pasienter gav en slik vid reseksjon tilfredsstillende resultater. Imidlertid hadde ingen av disse ved de tidligere operasjoner fått fjernet midtre del av tungebeinet, slik som anbefalt av Sistrunk.

    Hos begge pasientene fant man ganger kledd av et overveiende respiratorisk epitel. Luftveisepitel inneholder begerceller som skiller ut slim. Det har vært postulert at sekresjon fra sinus thyreoglossus kunne komme fra slike slimproduserende celler i cystevegg og gangsystem. Våre funn tyder på at aksessoriske spyttkjertler også har bidratt til sekresjon, noe vi finner støtte for i Nansons tidligere undersøkelse (7). Ved å undersøke pasienter med sinusdanninger med fistulografi vil man lettere kunne oppdage og kartlegge omfanget av et eventuelt dyptliggende gangsystem. Preoperativ fistulografi og peroperativ injeksjon av metylenblått vil gi en god indikasjon på hvor mye vev som bør fjernes for å unngå nye residiv, noe Nanson også konkluderte med i sin undersøkelse (7).

    Vi takker Elisabeth Augdahl for bistand med manuskriptarbeidet.

    Kommentarer  ( 0 )

    Anbefalte artikler