Søramerikansk blastomykose – en differensialdiagnose til tuberkuløs hjernehinnebetennelse

    ()

    sporsmal_grey_rgb
    Abstract

    Søramerikansk blastomykose er primært en lungeinfeksjon som ofte affiserer andre organer, inkludert sentralnervesystemet.

    Vi beskriver et tilfelle av fatalt forløpende sentralnervøs infeksjon med den dimorfe soppen Paracoccidioides brasiliensis hos en kvinne av brasiliansk opprinnelse. Hun hadde ikke besøkt Latin-Amerika de siste 23 år.

    CT og MR viste ringoppladende lesjoner i hjernevevet og markert kontrastoppladning av subaraknoidalrom og hjernehinner i basale cisterner. Bildet ble tolket som sannsynlig cerebral tuberkulose. Dyrking av cerebrospinalvæske var imidlertid negativ på syrefaste staver, men umiddelbart før hun døde, kom det oppvekst av sopp. Åpen hjernebiopsi tatt tre dager før døden viste granulomatøs betennelse med soppelementer.

    Dette tilfellet viser at ved intrakraniale lesjoner som kan ha infeksiøs genese, er det viktig å bekrefte den kliniske diagnosen ved biopsi og utvidet undersøkelse av spinalvæske.

    Abstract

    Background

    . South American blastomycosis is primarily a lung infection often complicated by multiorgan or intracranial disease.

    Material and methods

    . We describe the clinical and pathological findings of fatal cerebral blastomycosis occuring in a woman that immigrated to Norway from Brazil 23 years earlier.

    Results

    . The clinical symptoms together with the radiological findings of multiple cerebral lesions and thickening of the basal meninges were interpreted as cerebral tuberculosis. Examination of cerebral spinal fluid was inconclusive. A diagnosis of cerebral fungal infection was subsequently established by brain biopsy.

    Interpretation

    . This case history stresses the importance of confirming a clinical diagnosis by brain biopsy and extended investigation of the cerebrospinal fluid when intracranial lesions may have an infectious origin.

    Artikkel

    Paracoccidioidomycosis (også kalt søramerikansk blastomykose) er en infeksjon forårsaket av Paracoccidioides brasiliensis. Dette er en dimorf sopp, betegnelsen henspiller på at soppen vokser som gjærsopp (med knoppskyting) ved 37 ˚C og som sporedannende muggsopp ved lavere temperatur (1). Primærinfeksjon i lunger skjer ved inhalering av sporer (1 – 3). Etter mange års latens kan sykdommen reaktiveres i lungene eller i andre organer, i første rekke lymfeknuter, hud, bein og viscera. Ubehandlet er dødeligheten høy, men tilstanden kan behandles med antimykotika.

    Mikroskopisk undersøkelse . Frysesnittet viste en abscessvegg med subakutt betennelse med parasitter/sopp. Det innstøpte materialet viste abscessdanning med subakutt betennelse med granulomer, multinukleære kjempeceller og rikelig med soppelementer. Soppelementene hadde en tydelig membran med tendens til dobbeltbrytning i polarisert lys. Spesialfarging (Grocotte) viste at de største soppelementene var 30 – 40 µ m i diameter. Langs hele omkretsen av slike morelementer var det knoppskyting av nye elementer. Disse datterelementene hadde smalhalset (”narrow based”) forbindelse til morelementet. Dette vekstmønsteret gir opphav til strukturer som minner om skipsratt (fig 2a). Elektronmikroskopisk undersøkelse viste også smalhalset knoppskyting (fig 2b). Disse strukturelle trekkene er diagnostisk for Paracoccidioides brasiliensis. Identifikasjon av soppen ved et referanselaboratorium bekreftet diagnosen.

    ⋅ 1000)

    Diskusjon

    Diskusjon

    Paracoccidioidomycosis er en systemsykdom som starter med primærinfeksjon i lunger etter inhalasjon av soppsporer. Det er uklart hva som er organismens naturlige reservoar, men smitte er bare beskrevet i Latin-Amerika (3). En rapport fra Rio de Janeiro viste at av 500 voksne som var innlagt i sykehus, var over 10 % infisert. I hele det endemiske området, som omfatter ca. 90 millioner mennesker, er det estimert at mer enn ti millioner er infisert (3). Insidensen av klinisk sykdom er langt lavere, ca. fem tilfeller per million innbyggere per år. Sykdommen smitter ikke mellom mennesker. Det skyldes trolig at sopp som vokser ved 37 ˚C, ikke danner sporer. Sykdomstilfeller i USA og i Europa er dermed bare sett hos personer som har sin opprinnelse i eller som har besøkt den endemiske regionen.

    Klinisk opptrer sykdommen i to former: en akutt (subakutt) juvenil form (5 % av tilfellene) og en kronisk form (95 % av tilfellene) (1, 3). I begge tilfeller er det ofte svekket cellulær immunitet hos pasienten (1 – 3). Den juvenile formen har et raskere forløp og er mer alvorlig enn den kroniske (1). I likhet med tuberkulose kan latensperioden fra primærinfeksjon til klinisk sykdom være svært lang. Det er beskrevet tilfeller der det har gått 60 år fra pasienten hadde forlatt det endemiske området til symptomene oppstod. I vårt tilfelle var det antakelig gått 23 år fra pasienten siste gang var i det endemiske området. Den kroniske formen rammer langt flere menn enn kvinner. Lungene er ofte affisert (90 % av tilfellene), men det er ikke uvanlig med lesjoner i slimhinner, hud, lymfeknuter og binyrer. Det er også rapportert at bein, øye og sentralnervesystem kan være involvert (1 – 4). Histologisk sees granulomatøs betennelse eller abscesser som ved andre soppinfeksjoner. Spesifikk diagnose stilles på det distinkte utseendet til vevsformen av Paracoccidioides brasiliensis (fig 2a, b). Nevroradiologisk likner sykdommen tuberkulose, da begge tilstandene kan manifestere seg som velavgrensede pseudotumorer og som fortykkede hjernehinner basalt (4). Uten behandling er dødeligheten høy, men de fleste pasienter responderer på spesifikk terapi (1 – 4).

    Konklusjon

    Konklusjon

    Ved langsomt progredierende intrakraniale tilstander med mulig infeksiøs genese er det viktig å gjøre en så bred mikrobiologisk utredning som mulig. Et nært samarbeid mellom infeksjonsmedisiner, mikrobiolog, nevrokirurg, patolog og røntgenolog er nødvendig for å nå frem til en mest mulig sikker diagnose på et tidligst mulig tidspunkt. Ny gransking av CT-bilder av vår pasient viste at lesjonen i lillehjernen var synlig halvannet år før hun døde. Da det 15 måneder senere kom progrediering av lesjonene, fikk hun feil behandling fordi tilstanden ble oppfattet som tuberkulose. I tillegg til tuberkuløs infeksjon burde differensialdiagnosene ha inkludert soppinfeksjon og andre infeksjoner som ofte opptrer i tropene. Spinalvæsken burde derfor ha vært dyrket med tanke på sopp og ikke bare mykobakterier. I noen tilfeller kan biopsitaking være risikabelt på grunn av lesjonens lokalisasjon. I vårt tilfelle var lesjonen i venstre tinninglapp kirurgisk tilgjengelig. Når en sikker diagnose ikke kan stilles med ikke-invasiv teknikk, bør terskelen for å ta hjernebiopsi være lav, uavhengig av om man mistenker tumor, infeksjon eller andre tilstander.

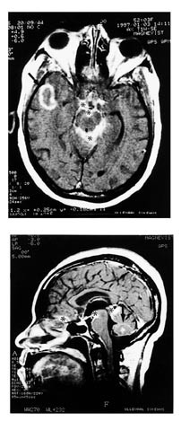
    Pasienten. En 51 år gammel kvinne som ikke hadde besøkt Latin-Amerika fra hun innvandret til Norge fra Brasil 23 år tidligere, var sommeren 1995 innlagt i et annet sykehus i forbindelse med forbigående svimmelhet og kvalme. Høsten 1996 fikk hun i løpet av en uke hodepine, kvalme og pareser i venstre arm og bein med falltendens mot venstre. Hun fikk også nedsatt hørsel og smerter bak høyre øre. Hun ble innlagt i vårt sykehus i begynnelsen av oktober 1996. MR-undersøkelse viste kontrastoppladning i subaraknoidalrom og hjernehinnene på skallebasis og rundt hjernestammen. I tillegg var det to ringoppladende lesjoner i høyre tinninglapp og i vermisregionen i lillehjernen (fig 1a, b). Ny gransking av CT-bilder viste at vermislesjonen var til stede ved innleggelsen i 1995. Spinalvæsken inneholdt 124 celler/mm 3 (overveiende granulocytter), spinalprotein var forhøyet (2 100 mg/l) og spinalglukose var nedsatt (1,6 mM/l). Det var ikke oppvekst av bakterier i kulturer fra cerebrospinalvæske tatt ved innkomst. Det var ingen serologiske holdepunkter for HIV-infeksjon, toksoplasmose, syfilis eller borreliose. PCR-undersøkelse av serum gav ingen holdepunkter for infeksjon med varicella zoster-virus eller herpes simplexvirus. Lungerøntgen og CT abdomen var negative, hemoglobinnivået var 12,4 g/100 ml, SR 15 mm, CRP 5 mg/l. Det ble ansett som mest sannsynlig at sykdomsbildet representerte tuberkuløs meningitt med lokaliserte tuberkulomer i storhjerne og lillehjerne. Man vurderte hjernebiopsi, men dette ble ikke utført. Hun fikk antituberkuløs behandling med Zinamid 500 mg ⋅ 3, Rimactan 600 mg

    ⋅ 1, Isoniazid 300 mg ⋅ 1 og Pyridoxin 40 mg ⋅ 1. Det kom tegn på forhøyet hjernetrykk, og hun fikk derfor Prednisolon 30 – 40 mg/døgn. Hun ble etter hvert subfebril. Etter seks ukers behandling utviklet hun tonisk-kloniske krampeanfall og ble reinnlagt. I de neste ukene tilkom ptose, urininkontinens og varierende grad av facialisparese. Fra spinalvæskeprøvene ble det rekvirert dyrking med hensyn på mykobakterier, men ikke på sopp. Etter til sammen 11 ukers dyrking i vekstmedium for mykobakterier ble det 6.1. 1997 funnet organismer som dannet gjærcelleliknende kolonier. Samme dag ble pasienten funnet komatøs. På vital indikasjon ble det 7.1. 1997 tatt biopsi fra lesjonen i høyre tinninglapp. Etter operasjonen var hun dypt komatøs og hadde lysstive pupiller. Hun døde tre dager senere. Obduksjon ble nektet.

    Kommentarer  ( 0 )

    Anbefalte artikler