Pneumocephalus som komplikasjon til bihulekirurgi

    ()

    sporsmal_grey_rgb
    Abstract

    Pneumocephalus er en meget sjelden komplikasjon til bihulekirurgi. Ofte deles komplikasjonene inn i mindre komplikasjoner og alvorlige komplikasjoner. De mindre komplikasjonene utgjøres av adhesjoner, arrdanning, blødning, subkutant emfysem, penetrasjon til orbita uten herniering av fett og øyelokksekkymoser. Insidensen av alvorlige komplikasjoner er 0 – 3 % og utgjøres av profus blødning med skade på a. ethmoidalis anterior, retrobulbært hematom med skade av synsnerven, lekkasje av cerebrospinalvæske, meningitt samt intrakranial penetrasjon med eventuell utvikling av tensjonspneumocephalus og død.

    Vi presenterer en kasuistikk med pneumocephalus etter endonasal etmoidektomi. Relevant litteratur gjennomgås.

    Pasienten utviklet tegn på pneumocephalus uten ledsagende intrakranial trykkstigning. Utvikling av tensjonspneumocephalus er en reell mulighet og pasientene bør overvåkes nøye i den postoperative fasen.

    For å minske risikoen for peroperativ skade bør man kartlegge pasientens bihuleanatomi på forhånd ved hjelp av CT-bilder. Koronale CT-bilder er særdeles viktige hos pasienter som har vært operert tidligere, og for å kartlegge visse normalvariasjoner som øker risikoen for intrakranial skade.

    Abstract

    Background

    . Pneumocephalus is a rare complication of sinus surgery. The complications of sinus surgery are often classified as minor or major. Minor complications are seen as adhesions, scarring, bleeding, development of subcutan emphysema, penetration of the orbit without herniation and eyelid ecchymosis. The incidence of major complications is 0 to 3 % and include haemorrhage, retrobulbar haematoma, injury to the optic nerve, CSF leaks, meningitis, intracranial penetration with development of tension pneumocephalus, and death.

    Material and methods

    . We present a case of pneumocephalus after endonasal ethmoidectomy. The literature is reviewed.

    Results

    . The patient had clinical findings consistent with non-tension pneumocephalus. Development of tension pneumocephalus is a distinct possibility and it is necessary to monitor these patients closely.

    Interpretation

    . In order to reduce the risk of injury to the anterior skull base it is important to eliminate certain normal anatomic variations and to assess the individual anatomy thoroughly. This can be done with preoperative nasal endoscopy and CT imaging. This applies even more to patients who have previously undergone sinus surgery.

    Artikkel

    Pneumocephalus er en tilstand som oftest sees etter traume mot hoderegionen (1, 2). Hyppigste årsak er skallebasisfrakturer med tilhørende skade på paranasale sinus, og penetrerende skalletraumer. Sjeldnere ser man pneumocephalus som følge av neoplasmer (2), infeksjoner eller kirurgisk intervensjon (3). I de tilfeller hvor man kan konstatere iatrogen skade, ser man hyppigst pneumocephalus etter nevrokirurgiske inngrep (4). Det er i litteraturen også beskrevet utvikling av intrakraniale luftansamlinger etter nasal intubering, nedlegging av nasogastriske sonder, etter hyppig utført Valsalvas manøver, etter spinale og epidurale anestesiteknikker, samt etter tinningbeinskirurgi og nese-bihule-kirurgi (5 – 9). Vi beskriver en pasient med symptomer på kronisk sinusitt som utviklet lekkasje av spinalvæske og pneumocephalus etter endonasal etmoidektomi i generell anestesi. Vi har søkt frem relevant litteratur om emnet og diskuterer årsaksfaktorer, samt viktigheten av nøyaktig preoperativ diagnostikk i de tilfeller man vurderer kirurgisk intervensjon.

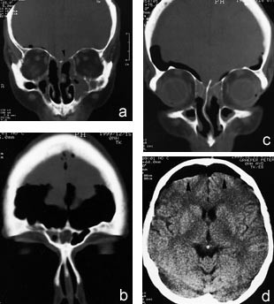
    Pasienten . En 67 år gammel mann med kjent atopisk disposisjon og behandlingskrevende astma bronchiale ble henvist til Øre-nese-halsavdelingen, Nordland Sentralsykehus, etter mangeårige plager med nasalstenose. Pasienten var usikker på om han hadde fått fjernet nasale polypper tidligere. Han hadde også i perioder vært plaget med rhinoré og man mistenkte en allergisk rhinitt. Koronale CT-bilder tatt i juli 1999 viste pansinusitt og nasal polypose (fig 1).

    Ved innleggelsestidspunktet ble han behandlet med salbutamol samt flutikason inhalasjonsaeorosol. Han var i normalt hold, hadde god allmenntilstand, normale hjertefysikalia, enkelte spredte knatrelyder og seninspiratoriske pipelyder over begge lungeflater. Ved fremre rhinoskopi påviste man typiske gulhvitlige polyppmasser bilateralt baktil i midtre nesegang. Ingen videre funn ble gjort ved bakre rhinoskopi eller øvrig øre-nese-hals-status.

    Supplerende undersøkelser: Røntgen thorax viste noe flate diafragmakupler, som ved kronisk obstruktiv lungesykdom. Normal hematologistatus og normale elektrolytter.

    Pasienten gjennomgikk så evulsio samt endonasal etmoidektomi og antrostomi bilateralt i narkose. Det ble peroperativt bemerket noe aderent concha media på høyre side og noe uoversiktlige forhold, muligens etter tidligere operasjon. Det oppstod en arteriell blødning fortil i etmoidaltaket, som stanset etter komprimering over noen minutter med en adrenalintampong. Ingen øvrige komplikasjoner ble observert i det videre forløp, og pasientens umiddelbare postoperative tilstand var upåfallende. Neste dag utviklet han så en global hodepine som ble forverret ved forsøk på oppreist stilling. 3. postoperative døgn klaget han over rennende nese når han bøyde seg fremover. Han var preget av meningeal irritasjon, men man fant ingen reell nakkestivhet. Penicillin intravenøst ble administrert og man tok prøver av væsken til beta-2-transferrin-undersøkelse. Ny cerebral CT viste betydelige mengder luft i subaraknoidalrommet samt en ca. 5 mm stor defekt i skallebasis, lokalisert til etmoidaltaket på venstre side (fig 2). Ved ny skopi med 0˚ optikk fant man ingen pågående lekkasje. Blodprøvene viste maksimal CRP-stigning til 47, leukocytter 11,3, normale elektrolytter og kreatinin. Beta-2-transferrin-elektroforesen var positiv, hvilket indikerte lekkasje av spinalvæske. Pasienten ble observert kontinuerlig, og ny CT, som ble tatt 13 dager postoperativt, viste tydelig regresjon av den intrakraniale luften. Pasienten ble utskrevet i velbefinnende samme dag.

    Ved avtalt kontroll ved poliklinikken sju uker etter operasjonen fant man ved CT ingen tegn til pneumocephalus. Pasienten hadde nå ingen nasalstenose eller rhinoré (fig 3).

    Diskusjon

    Diskusjon

    Vi har beskrevet en 67 år gammel mann som etter bihulekirurgi fikk lekkasje av spinalvæske samt utvikling av pneumocephalus uten ledsagende trykkstigning. Pasienten ble behandlet konservativt med vellykket resultat.

    Historikk

    Historikk

    Historisk sett har man tillagt Hans Chiari æren av å være den første som påviste pneumocephalus, i 1884. Dette var riktignok post mortem (10). W.H. Luckett oppdaget i 1913 luft i ventriklene som et bifunn på røntgen caput hos en person utsatt for hodetraume (10, 11). Vi har i artikler funnet at det første tilfellet av pneumocephalus etter nasal polyppektomi ble rapportert i 1925 av C. von Eicken (12). Sporadiske kasuistikker er blitt beskrevet etter dette. Pneumocephalus var før bruken av røntgendiagnostikk sjelden mistenkt som komplikasjon til hodetraumer (11).

    Det finnes flere veldokumenterte studier hvor man har vurdert årsaksmekanismer til pneumocephalus og komplikasjoner etter nese-bihule-kirurgi. Flere av disse indikerer at pneumocephalus er en meget sjelden komplikasjon til paranasale inngrep. Stammberger viser til et materiale på over 6 000 pasienter der man fant tre tilfeller av spinalvæskelekkasje, to tilfeller med intraorbital blødning og kun ett tilfelle av pneumocephalus (13). Markham studerte kausale mekanismer blant 295 pasienter med kjent pneumocephalus og fant at traume var hovedårsak (73,9 %), dernest fulgte neoplasmer (12,9 %) og infeksjoner (8,8 %). Kirurgisk intervensjon utgjorde kun 3,7 % av tilfellene (10). May og medarbeidere publiserte i 1994 et større materiale der de sammenliknet pasienter operert med den tradisjonelle endonasale teknikken med dem som ble operert under endoskopisk veiledning. Intrakraniale skader forekom hos 0,5 % i alle pasientgruppene, uansett operasjonsmetode. Pneumocephalus var ikke nevnt som egen komplikasjon (14). Insidensen av alvorlige komplikasjoner til funksjonell endoskopisk bihulekirurgi totalt sett er rapportert til å ligge på 0 – 3 % (15, 16).

    Klassifisering

    Klassifisering

    Pneumocephalus klassifiseres etter anatomisk lokalisering av luften: epidural, subdural, subaraknoidal, ventrikulær og intracerebral (17). Frontalsinusfrakturer der dura ikke affiseres, vil kunne gi opphav til luftansamling epiduralt. Frakturer lokalisert til de paranasale sinus samt tumorer frontobasalt gir lettere opphopning av luft i det subdurale rommet. Pneumocephalus der luften samles subaraknoidalt og ventrikulært, er i litteraturen beskrevet som typisk for skallebasisfrakturer. Frakturer gjennom de bakre etmoidalceller og sfenoidalsinus vil vanligvis gi opphav til pneumocephalus av den subaraknoidale varianten (10, 11). Det er beskrevet to mekanismer for hvordan luft kan komme intrakranialt (16):

    • – ”Kuleventil-mekanismen” krever en trykkgradient for at luften skal akkumulere seg. Når luften er presset inn, vil den bli hindret fra å sive ut igjen ved at hjernen eller meningene forsegler defekten i kraniet.

    • – Den ”inverterte flaske-mekanismen” er assosiert med spinalvæskelekkasje der luft erstatter det tapte væskevolumet, i likhet med luft som samles i en flaske når væsken i den tømmes ut. Når defekten er stor, vil trykket lettere utliknes, og man oppnår ingen trykkstigning. Ved en mindre defekt, vil en ”kulemekanisme” lettere inntreffe og luft kan fanges intrakranialt og gi opphav til en potensielt livstruende tensjonspneumocephalus (17). Det finnes også flere rapporter om utvikling av tensjonspneumocephalus ved bruk av lystgass peroperativt og etter gjentatte spinalpunksjoner. I disse tilfellene ser det ut til at det er en forutsetning at det allerede eksisterer luft intrakranialt (17 – 19). Vår pasient vil kunne forklares ut fra den andre mekanismen.

    Symptomatologi

    Symptomatologi

    Symptomatologien er velkjent. Hodepine er det vanligste symptomet. Man har i litteraturen beskrevet ”bruit hydroaerique”, lyden av væske som slår mot kraniet, som patognomonisk for tilstanden. Kramper, meningeal irritasjon, endret mental tilstand og hemiparese er også beskrevet (18). Progredierer tilstanden i retning av tensjonspneumocephalus, vil man se økende grad av nevrologiske utfall og nedsatt bevissthetsnivå (18).

    Trykkøkning i form av nysing, pussing av nesen og hosting kan medvirke til at luft presses gjennom en defekt i skallebasis (12). Pasienter som nylig har gjennomgått nese-bihule-kirurgi bør derfor informeres om dette. Også bruk av bukpressen med økt intratorakalt trykk og mekanisk ventilasjon kan gi slike utilsiktede effekter (9, 18).

    Anatomi

    Anatomi

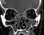
    Anatomiske betraktninger er viktige når man vurderer kirurgisk intervensjon. Etmoidaltakets høyde, bredde og form kan variere veldig. Det kan også foreligge asymmetri fra den siden til den andre hos samme individ (13). Selve lamina cribrosa er en relativt tykk beinplate, og man ser lite defekter akkurat her (18). Den ventrale og midtre del av concha media har sitt feste oppad på etmoidaltaket. Dette tilsvarer overgangen mellom lamina cribrosa medialt og fovea ethmoidalis lateralt. Denne overgangen utgjøres av en beinplate som er særdeles tynn og benevnes den laterale lamell. Dette er for øvrig stedet der a. ethmoidalis anterior går inn i fremre skallegrop og hvor dura er mer adherent til bein enn ellers i etmoidaltaket. Den laterale lamell er omtrent 1/10 så sterk som resten av etmoidaltaket, som hovedsakelig utgjøres av frontalbeinet, og man har her størst risiko for perforasjon under instrumentering i området (13). Dette området ligger medialt for festet av concha media, og man bør derfor tilstrebe hele tiden å holde seg lateralt for denne (fig 4).

    Stammberger viser til en særlig anatomisk variant der etmoidaltaket er beliggende svært høyt. Den laterale lamellen er svært lang og tynn og det er større risiko for perforasjon under operasjonen (13). Andre kilder viser til et lavtliggende etmoidaltak som en annen aktuell normalvariant som kan medføre økt perforasjonsfare. Preoperative CT-bilder tatt med koronale snitt er avgjørende for å oppdage slike variasjoner (18).

    Muligens kan også MR spille en rolle i påvisningen av spinalvæskelekkasje eller lokalisasjon av defekten. Ved tvil om det foreligger lekkasje av spinalvæske kan man rekvirere serumelektroforese av væsken for påvisning av beta-2-transferrin, slik det ble gjort i vårt tilfelle. Det kan også være nyttig å bruke en sonde peroperativt, hvor man kan måle avstanden fra neseåpningen til etmoidalcelleregionen (6 cm) (15).

    Konklusjon

    Konklusjon

    Hos pasienter som har gjennomgått nese-bihulekirurgi og som har persisterende postoperativ hodepine, med eller uten ledsagende spinalvæskelekkasje, bør man tenke på pneumocephalus som komplikasjon (12). Stort sett kan dette behandles konservativt, som i vårt tilfelle. Noen mener spinalpunksjon hos pasienter med verifisert pneumocephalus er kontraindisert pga. faren for utvikling av tensjonspneumocephalus (18). Dersom det tilkommer trykksymptomer, bør man ha lav terskel for overføring til sykehus med nevrokirurgisk kompetanse. Hovedsakelig vil behandlingen da bestå i å kontrollere det intrakraniale trykket, ev. vil en trakeostomi sikre ventilasjon av pasienten til de predisponerende faktorer er identifisert. Sist kan man dekke defekten kirurgisk med endonasal tilgang og bruk av mukoperikondriale lapper fra concha media eller mer vanlig med fascie fra m. temporalis, fascia lata eller med en fettplugg (15).

    Kommentarer  ( 0 )

    Anbefalte artikler