Bildediagnostikk ved annulær pancreas

    ()

    sporsmal_grey_rgb
    Abstract

    Annulær pancreas er en sjelden, medfødt anomali som består i at pancreasvev omslutter andre del av duodenum, med varierende grad av obstruksjon som resultat. I de første leveår er symptomene obstruksjonsbetinget. Når tilstanden først blir symptomgivende i voksen alder, er plagene mindre spesifikke og kan bestå i epigastriesmerter, postprandial oppfylthet, kvalme og fordøyelsesbesvær. Ledsagende lidelser som magesår og pankreatitt kan vanskeliggjøre diagnosen.

    En kasuistisk meddelelse viser at røntgenundersøkelse av ventrikkel og duodenum (V + D) gav mistanke om tilstanden ved påvisning av duodenal stenose. Pancreasvev som omsluttet duodenum helt kunne påvises ved computertomografi (CT). Ved endoskopisk retrograd pankreatografi (ERP) kan det påvises et gangsystem med et karakteristisk sirkulært forløp rundt duodenum. Magnetisk resonanstomografi (MR) og endoskopisk ultrasonografi reserveres for vanskelig diagnostiserbare tilfeller.

    En optimal CT-undersøkelse er et godt, ikke-invasivt førstevalg ved mistanke om annulær pancreas.

    Abstract

    Background

    . Annular pancreas is a rare congenital anomaly. A ring of pancreatic tissue encircles the second part of the duodenum and results in varying degrees of obstruction. When the first symptoms occur in adults, they are non-specific and may consist in epigastric pain, fullness after meals, indigestion and nausea. Concomitant lesions such as ulcer or pancreatitis may obscure the diagnosis.

    Material and methods

    . A case report documents that radiologic examination with barium meal disclosed the duodenal stenosis.

    Results

    . A properly performed CT examination revealed the ring of pancreatic tissue which encircled the duodenum. Endoscopic retrograde pancreatography may show a duct with a characteristic circular pattern around the duodenum. MR and endoscopic ultrasonography are supplementary examinations in equivocal cases.

    Interpretation

    . A CT examination is a good non-invasive primary examination when annular pancreas is suspected.

    Artikkel

    Annulær pancreas er en sjelden, medfødt anomali som forekommer hos 2 – 3 per 20 000 individer (1). Anomalien består i at pancreasvev omslutter andre del av duodenum (fig 1). Dette kan gi varierende grad av obstruksjon. Obstruksjonsgraden er avgjørende for hvor tidlig tilstanden blir symptomgivende (2). Over halvparten av tilfellene blir diagnostisert i løpet av første leveår (3), og pasientene har symptomer på høy gastrointestinal obstruksjon. I denne aldersgruppen er ledsagende gastrointestinale anomalier og Downs syndrom beskrevet (2).

    Hos voksne er symptomene mer diffuse, som for eksempel epigastriesmerter, postprandial oppfylthet, kvalme og brekninger (3). Utredning med røntgenundersøkelse (V + D) kan vise duodenal stenose med obstruksjon, men ikke alltid årsaken til denne. Ved CT kan tilstanden oftest diagnostiseres, og den kan bekreftes ved endoskopisk retrograd pankreatografi (ERP). MR og endoskopisk ultrasonografi kan benyttes som tilleggsundersøkelser i spesielle tilfeller. Da annulær pancreas er svært sjeldent og symptomene hos voksne uspesifikke, kan diagnosen være vanskelig å stille. Ledsagende tilstander som pankreatitt og magesår forekommer ofte (4), og det er disse som, sammen med eventuelle tegn på obstruksjon, fører til radiologisk utredning. Hensikten med denne artikkelen er å minne om tilstanden og belyse radiologisk utredning og karakteristiske funn. Adekvat bildediagnostikk er helt vesentlig for å stille den aktuelle diagnose.

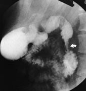
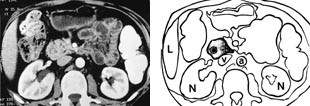
    Pasient 1. En 19 år gammel kvinne hadde hatt magesmerter i noen år. Smertene ble kraftig forverret i forbindelse med diaré som oppstod etter en Syden-tur. Det tilkom amylasestigning til knapt 1 000 U/l, og peroralt inntak av annet enn vann provoserte frem magesmerter og brekninger. Røntgenundersøkelse av ventrikkel og duodenum viste en 2 – 3 cm lang stenose i nedadstigende del av duodenum (fig 2). Motiliteten i ventrikkelen var nedsatt, og det forelå retensjon i ventrikkel og øvre del av jejunum. Stenosen ble bekreftet ved gastroskopisk undersøkelse. CT av øvre del av abdomen med vann som peroralt kontrastmiddel (fig 3) viste en kort stenose i midtre nedadstigende duodenalavsnitt, hvor duodenum var omsluttet av smålobulært pancreasparenkym. Pancreas for øvrig var upåfallende. Magesekken var distendert etter vanninntaket, og distensjonen omfattet også duodenum proksimalt og distalt for stenosen. Pasienten responderte på total parenteral ernæring. Amylasen normaliserte seg. Ved utskrivning kunne pasienten spise normalt. Det ble antatt at pankreatitt i den annulære pancreas forbigående hadde gitt en høy gastrointestinal obstruksjon.

    Diskusjon

    Diskusjon

    Ved abdominale symptomer som debuterer i voksen alder er det ikke nærliggende å tenke på en medfødt anomali. Det hender imidlertid at annulær pancreas ikke gir symptomer eller først gir symptomdebut i voksen alder. Før innføringen av undersøkelser som CT og endoskopisk retrograd kolangiopankreatikografi (ERCP) kunne tilstanden forbli udiagnostisert inntil pasienten eventuelt ble operert på grunn av duodenal obstruksjon eller assosiert sykdom (5).

    Bildediagnostikk

    Bildediagnostikk

    Konvensjonelle radiologiske metoder kan gi mistanke om tilstanden eller lokalisere stedet for symptomgivende stenose. Røntgen oversikt abdomen på stående pasient kan vise det karakteristiske dobbeltbobletegn. Dette fremkommer på grunn av distendert magesekk og proksimale duodenum med luft-væske-speil både i magesekkens fundusdel og i duodenum. Dette er et uspesifikt tegn på duodenal obstruksjon (6).

    Ved nærmest komplett obstruksjon vil bariumundersøkelse av ventrikkel og duodenum (V + D) bare vise dilatasjon av ventrikkel og duodenum proksimalt for stenosen (2). Ved mindre uttalt passasjehindring vil undersøkelsen vise eksentrisk lumenavsmalning og medial retraksjon av andre del av duodenum ved annulus.

    Slimhinnen er vanligvis normal. Pylorusinkompetanse og reversert peristaltikk kan forekomme (2, 7). Nyere radiologiske metoder kan diagnostisere den annulære pancreas. Ved CT kan selve annulus fremstilles i form av normalt pancreasvev som helt eller delvis omslutter andre del av duodenum (fig 3). Lavattenuerende peroralt kontrastmiddel (vann) og jodholdig kontrastmiddel intravenøst, som ble brukt hos aktuelle pasient (fig 3), er best for å fremheve kontrasten mellom duodenallumen og kontrastoppladende pancreasvev (2). Jod- eller bariumholdig kontrastmiddel i duodenum vil imidlertid kunne benyttes for å påvise selve det stenotiske tarmsegment inne i det tilsynelatende forstørrede pancreashodet (7). Hos aktuelle pasient var den del av duodenum som lå omsluttet av pancreashodet, ikke distendert av vannet. Anomalien kunne likevel diagnostiseres, da man i CT-snittene umiddelbart ovenfor og nedenfor pancreasringen så en dilatert duodenum som gradvis fikk et mer medialt forløp enn normalt og som smalnet av for å passere gjennom høyre del av pancreashodet. Like kaudalt for pancreashodet utvidet duodenum seg igjen. Vanligvis er stenosen minst 2 cm lang, og CT er derfor velegnet for å stille diagnosen, da det ved undersøkelse av pancreas benyttes kontinuerlige, maksimalt 5 mm tykke snitt. CT bør være førstevalg som metode pga. liten invasivitet og høy tilgjengelighet. Vanlig ultrasonografi vil også kunne gi mistanke om lidelsen ved funn av utspilt, væskefylt prestenotisk duodenum.

    ERCP kan også gi et typisk bilde, idet pancreasgangen i annulus kan fremstilles. Den har et karakteristisk sirkelformet forløp rundt duodenum (2) og munner ut i pancreas’ hovedgang nær papillen. ERCP kan i dag ikke anbefales som første metodevalg ved mistanke om annulær pancreas, da undersøkelsen i seg selv kan fremprovosere pankreatitt. Annulær pancreas kan være kombinert med den hyppigere forekommende varianten pancreas divisum (8). Gangen fra den annulære del av pancreas vil da munne ut sammen med den separate gangen for ventrale pancreasanlegg. Annulusgangen kan også ha separat munning i duodenum og da være vanskelig eller umulig å kanylere. Uttalt duodenal obstruksjon kan vanskeliggjøre ERCP-undersøkelsen.

    Ved endoskopisk ultrasonografi kan man påvise en ring av vev rundt andre del av duodenum med samme ekkogenitet som pancreas og med kontinuitet til pancreashodet (8). Denne undersøkelsen utføres imidlertid ved få sentre, og vil derfor bare brukes ved spesielt vanskelig diagnostiserbare tilfeller. Annulær pancreas kan også påvises ved MR, som har særlig høy kontrastoppløsning for bløtvev (3), men også MR vil bare bli brukt i vanskelig diagnostiserbare tilfeller.

    Årsak

    Årsak

    Normalt dannes pancreas fra ett dorsalt og ett ventralt anlegg, utgående fra andre del av duodenum. Det ventrale anlegg har en høyre og en venstre del, sistnevnte tilbakedannes ved normal utvikling. Dorsale og gjenværende ventrale anlegg dreier rundt duodenum samtidig med tarmrotasjonen, men i forskjellig grad. Den ventrale pancreas dreier 270˚ (med klokken sett ovenfra), mens den dorsale kun dreier 90˚. Anleggene smelter sammen, det ventrale danner processus uncinatus og caput, det dorsale blir til corpus og cauda. Gangsystemene smelter sammen, og distale del av gangen i dorsale anlegg tilbakedannes normalt.

    En ansett årsaksteori (1) postulerer at venstre del av ventrale anlegg ikke tilbakedannes, men utvikler seg til en ringformet pancreasdel rundt duodenum etter fullført rotasjon. Samtidig forekomst av persisterende dorsalt, ventralt og ringformet anlegg med egne gangsystemer taler for sistnevnte teori.

    Ledsagende sykdommer

    Ledsagende sykdommer

    Ledsagende sykdommer ved annulær pancreas kan vanskeliggjøre og forsinke diagnosen (1). Magesår kan avlede oppmerksomheten, og pankreatitt med ødem i annulus kan fremkalle eller forverre obstruksjonssymptomer (9). Kronisk pankreatitt og duodenalsår kan gi arraktige forsnevringer i duodenum, og dette kan forklare at stenosesymptomene ved annulær pancreas først manifesterer seg i voksen alder (10). Utvidet galle- og pancreasgang forekommer sjelden som følge av annulær pancreas (11), og andre årsaker til utvidet gangsystem, som for eksempel tumor, må utredes (12).

    Differensialdiagnoser og behandling

    Differensialdiagnoser og behandling

    Pancreashodet kan feilaktig oppfattes som tumor ved CT av annulær pancreas når duodenums forløp gjennom pancreashodet ikke fremkommer tydelig. Godt kontrasttilbud er derfor vesentlig. Pancreascancer kan som oftest utelukkes, da vevsstrukturen i annulus er lik strukturen i pancreas for øvrig, men fokal pankreatitt kan vanskeliggjøre vurderingen. Påvisning av den sirkulært forløpende annulusgangen ved ERP vil avkrefte cancermistanken. Duodenalcancer vil vanligvis kunne utelukkes ved en samlet vurdering av røntgen V + D, CT og ERCP. Stenoser som skyldes postbulbære duodenalsår eller tuberkulose kan ved bariumundersøkelser forveksles med anomali, men i slike stenoser vil det karakteristiske CT- og ERP-funn mangle. Behandlingen for annulær pancreas er kirurgisk, og bare indisert når det er persisterende tegn på passasjehindring (13). Hos aktuelle pasient var det ikke indikasjon for kirurgisk behandling, da obstruksjonssymptomene forsvant ved opphør av pankreatitten. Gastroduodeno-, gastrojejuno- eller duodenojejunostomi er anbefalt som operativ behandling. Reseksjon av annulus bør ikke utføres, da komplikasjoner som pancreasfistel, pankreatitt og duodenallekkasje kan oppstå (2, 13).

    Vi takker Alf Kolbenstvedt for råd og Elisabeth Augdahl for bistand med manuskriptarbeidet.

    Kommentarer  ( 0 )

    Anbefalte artikler