Kraniosynostose, dvs. prematur lukking av skallens sømmer, opptrer hos omkring 0,6 per 1 000 levendefødte (1, 2). 90 % er enkle synostoser med for tidlig lukning av én eller flere suturer (2, 3). Resten skyldes mer komplekse kraniofaciale syndromer hvor også mellomansiktets vekst er affisert (4).
De enkle kraniosynostosene inndeles gjerne i primære og sekundære. Sistnevnte opptrer på grunn av manglende vekststimulering fra hjernen, f.eks. ved mikro- og anencefali, ved overdrenasje hos pasienter med ventrikuloperitoneal eller -atrial shunt, og ved noen metabolske tilstander (5).
Ved kraniosynostose får man en redusert eller opphevet vekst vinkelrett på den lukkede suturen. Videre skjer en kompensatorisk økning i skalleveksten ved de andre, åpne suturene, og dette kan medføre en kosmetisk uakseptabel hodefasong. Ved alvorlige kraniosynostoser kan man få et betydelig misforhold mellom hjernens vekst og tilgjengelig intrakranial plass, noe som i sin tur vil gi et forhøyet intrakranialt trykk med risiko for utvikling av mental retardasjon og redusert syn (6 – 8). Leiringsbestemt formgivning av skallen medfører ikke kraniosynostose (4).
Prematur lukning av sutura metopica (pannesømmen) utgjør 8 – 16 % av alle henvisninger til kraniofacialsentre (3, 8 – 13). Ved enkle, primære kraniosynostoser som rammer sutura metopica, vil kraniet bli kjølformet i pannen, noe som kalles trigonocefali (plogskalle eller trekantskalle).
Vi presenterer to pasienter med denne lidelsen og redegjør for patoembryologiske, morfologiske og kirurgiske aspekter ved metopicasynostoser.
Pasient 1. Åtte måneder gammel pike, født til termin etter normalt svangerskap, ukomplisert fødsel. Fra fødsel av tilspisset panne, for øvrig normal utvikling, spesielt ingen symptomer eller tegn på forhøyet intrakranialt trykk.
Ved undersøkelsen var pasienten i god allmenntilstand og hadde normal psykomotorisk utvikling. Hodeomkrets på 44 cm, svarende til 25-percentilen. Fremre fontanell var åpen med normal fylde. Pannen var tilspisset, med en oppdriving i midtlinjen, biparietalavstanden var økt og øynene tettsittende (fig 1). Nevrologisk status var normal og annen organstatus uten anmerkninger.
Preoperativt fikk pasienten innlagt intrakranial trykkmåler for 24-timers trykkregistrering, som viste intrakranial hypertensjon med gjennomsnittstrykk på 17 mm Hg.
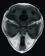
Cerebral CT med tredimensjonal rekonstruksjon viste lukket metopicasutur og trigonocefalistigmata (fig 2). For øvrig var det normalt store ventrikler og upåfallende intrakraniale forhold.
Pasienten ble vurdert av barnenevrokirurg og operert med frontoorbitalt avansement som beskrevet under. Det postoperative forløpet var ukomplisert.
Ved kontroll tre måneder postoperativt var pasienten i fin klinisk utvikling og hadde tilfredsstillende kosmetisk resultat (fig 3).
Pasient 2. Sju måneder gammel pike, født ved planlagt sectio uke 34 etter normalt tvillingsvangerskap. Normal utvikling, spesielt ingen symptomer eller tegn på forhøyet intrakranialt trykk. Mor la merke til avvikende hodefasong fra to måneders alder. Piken ble undersøkt ved helsestasjonen tre måneder gammel pga. vollformet oppdriving i pannen.
Ved undersøkelsen var pasienten i god allmenntilstand og hadde normal psykomotorisk utvikling. Hodeomkrets var 44,5 cm, svarende til 50-percentilen. Fremre fontanell var åpen med normal fylde. Pannen var tilspisset, med en vollformet oppdriving i midtlinjen, biparietalavstanden var økt og øynene tettsittende (fig 4). Nevrologisk status var normal og annen organstatus uten anmerkninger.
Pasienten fikk preoperativt innlagt intrakranial trykkmåler for 24-timers trykkregistrering, som viste intrakranial hypertensjon med gjennomsnittstrykk på 15 mm Hg.
Cerebral CT med tredimensjonal rekonstruksjon viste lukket metopicasutur og trigonocefalistigmata. For øvrig var det normalt store ventrikler og upåfallende intrakraniale forhold.
Pasienten ble operert med frontoorbitalt avansement som beskrevet under. Det postoperative forløp var ukomplisert. Ved kontroll tre måneder postoperativt var pasienten i fin klinisk utvikling og hadde tilfredsstillende kosmetisk resultat (fig 5).
Operativ behandling
Operativ behandling har to mål: å normalisere hjernens utvikling og funksjon ved å unngå utvikling av forhøyet intrakranialt trykk eller hydrocephalus, og oppnå et kosmetisk akseptabelt resultat.
Ved mindre uttalte tilfeller av metopicasynostose kan oppdrivingen drilles bort (14), mens det ved større avvik også er behov for korreksjon av pannebeinet og orbita, med bifrontal kraniotomi og deretter frigjøring av øvre orbitabånd (fig 6a) (14 – 16).
Ved uttalt hypotelorisme deles nesen i midtlinjen, beindelene føres fra hverandre og et beingraft interponeres (fig 6b) (17 – 19). Orbitafragmentet tilpasses og festes ved hjelp av resorberbart fiksasjonsmateriale. Man korrigerer defektene i laterale orbitakant ved å føre lateralkanten av orbitafragmentet fremover, mens man i midtlinjen beholder beinkontakten nasofrontalt (fig 6b) (20, 21).
Fra en stor bifrontal fri beinlapp benytter man en mindre del til den fremtidige pannen. Ved hjelp av en Marchac-pannemal, som definerer gjennomsnittlig kurvatur (22), finner man det best egnede området av beinlappen, slik at man danner en flatere panne og mer fremhevede frontalprominenser (21). Pannefragmentet festes ved hjelp av resorberbart fiksasjonsmateriale til orbitafragmentet medialt og lateralt, mens det for øvrig er ”flytende” (23).
Ofte har pasientene små temporalismuskler og er innsunkne i fossa temporalis. Dette kan delvis korrigeres ved at temporalismuskelens feste flyttes noe lenger anteriort, for derved å oppnå bedre fylde i fossa temporalis (14, 15, 19, 21).
Hos pasienter over to år vil man forsøke å dekke defektene i skalletaket ved beingraft (19).
Resultater
Kirurgi i form av radikal panneremodellering, som beskrevet over, gir en stabil korreksjon av hodedeformiteten, generelt sett et godt kosmetisk resultat og kranieekspansjon der det er ønskelig (19, 24 – 26). Imidlertid vil pasientene også postoperativt være smale i pannen, vesentlig fordi denne form for kirurgi i liten grad korrigerer defekten i tinningregionen (24). Videre vil hypotelorismen bedres, men den blir ikke fullkorrigert (27). Hvorvidt man skal korrigere hypotelorismen kirurgisk (19, 27), eller om man etter en radikal panneremodellering får en spontan, delvis korreksjon av hypotelorismen (16, 28), er omdiskutert og ikke avklart. Imidlertid er de fleste kraniofacialsentre tilbakeholdne med orbitakirurgi på denne pasientgruppen.
En åpen metopicasutur er viktig for normal utvikling av fremre skallegrop, etmoidalcellene og mediale orbita (11). Følgelig vil man operere pasientene tidlig, og helst før metopicasuturen vanligvis lukkes ved toårsalderen. Ved de fleste kraniofacialsentre opereres de fleste pasientene i 3 – 6 måneders alder (9, 11, 19, 24, 25). Ved denne alderen er beinet i skallen vanligvis tykt nok til at man kan gjøre osteotomier uten at beinet frakturerer og til at det holder fiksasjonsskruer. Imidlertid kan kirurgi utsettes til 18 – 24 måneders alder ved lette tilfeller, særlig hvor interorbitalavstanden er normal (11).
Diskusjon
Embryologi
Hodeskallen utvikles fra mesoderm som omgir hjerneanlegget tidlig i fosterlivet. Kranialt danner mesoderm membranen over hjernen og blir siden til nevrokraniet, mens det basalt vil danne kondrokraniet, som siden blir til skallebasis, og viscerokraniet, som siden danner ansiktsskjelettet (29, 30). I andre fostermåned dannes det forbeiningskjerner i nevrokraniet og fra disse brer beinvevet seg utover ved intramembranøs ossifikasjon, inntil det møter andre beinanlegg (29, 30). Ved fødselen er de flate knoklene i skalletaket forbundet av suturer eller bindevevsbroer (syndesmoser) som ennå ikke er forbeinet og som derved tillater en viss forskyvning mellom knoklene under partus. Nevrokraniets pre- og postnatale vekst foregår i rette vinkler ut fra suturene, med derpå følgende økning av kranieknoklenes areal og nevrokraniets volum.
Nevrokraniets vekst er normalt tilpasset hjernens vekst, og trykket fra den voksende hjernen stimulerer veksten i suturene. Nevrokraniet skal fordoble sitt volum i løpet av de første sju månedene etter fødsel og øke det nesten tre ganger i løpet av første leveår (29, 30). Metopicasuturen, som er den første suturen som lukkes, er vanligvis åpen inntil toårsalderen, mens koronalsuturen lukkes ved 24 års alder (31).
Patoembryologi
Ved kraniosynostose lukkes en eller flere suturer prematurt in utero eller etter fødsel. Uavhengig av årsak finner man en skade på et cellelag som i den normale sutur atskiller de to osteoblastiske cellelag hvor kranieveksten foregår. Skaden medfører at de to osteoblastiske cellelagene kan vokse sammen, slik at suturen lukkes og veksten reduseres eller oppheves (32).
Etiologi
Enkel prematur kraniosynostose er monogen og opptrer som regel sporadisk (20). Hos 1 – 17 % av opererte pasienter finner man familiær forekomst (3, 9, 15, 19), og både autosomal dominant og recessiv arvegang er beskrevet (20, 33). Hos 10 – 20 % av pasientene er metopicasynostosen ledd i et syndrom, så som Opitz C, Sat-Meyer eller Frydman (20). En lang rekke kromosomfeil er assosiert med trigonocefali, så som trisomi 13 og delesjoner av 3p, 9p, 11q og 13q (20). Gutter utgjør 60 – 90 % av pasientene henvist til kraniofacialsentre (9, 10, 13, 15, 19, 24, 34 – 36).
Ansiktsdysmorfologi
Pasienten har ofte en medfødt hevelse midt i pannen. Den er som regel mest prominerende ved neseroten og avtar opp til fremre fontanell. Metopicasynostose medfører hemmet vekst av os frontale på begge sider og en kompensatorisk vekst av os parietale. Resultatet blir en stadig økende deformering av skallen, med kjølforming av pannen, avflatede eller konkave os frontale som er vinklet posteriort, kort bitemporal avstand, samt en stor biparietalavstand (24, 27) (fig 7). Pasientene har videre en orbitadeformering med underutviklede kanter supraorbitalt og lateralt, epicanthus, samt tettsittende øyne (hypotelorisme) (15, 24, 27, 28). Hypotelorismen ledsages av høytstående øyebryn lateralt, slik at pasienten gjerne har et ”forskremt” ansiktsuttrykk.
Kranial og cerebral patologi
Prematur metopicasynostose gir ikke redusert intrakranialt volum totalt (35), men fremre skallegrop er ofte liten og ledsaget av kompensatorisk økt midtre skallegrop (13).
Enkle kraniosynostoser kan av og til være ledsaget av forhøyet intrakranialt trykk. Ved cerebral CT finner man økt mengde ekstracerebral væske bifrontalt hos 14 % (9). Hos barn med enkle ensuturs synostoser har man funnet forhøyet intrakranialt trykk hos 9 – 17 % av pasientene, mens det hos ytterligere 27 – 38 % var i grenseområdet (6 – 8). I en studie av 12 barn med enkle metopicasynostoser, fant Thompson og medarbeidere (8) forhøyet intrakranialt trykk hos fire, mens ytterligere fem var i grenseområdet. Imidlertid påviser man behandlingstrengende hydrocephalus hos kun 4 % ved enkle metopicasynostoser (9, 19).
Corpus callosum-dysgenesi er den hyppigst forekommende ledsagende intracerebrale anomali ved enkle metopicasynostoser, og finnes hos omkring 4 % (9, 25, 37).
Andre misdannelser
Hos noen pasienter med enkel, ikke-syndromal trigonocefali kan man påvise andre, ekstrakraniale malformasjoner som rammer ekstremitetene (klinodaktyli, araknodaktyli), urogenitalia (nyreektopi, hydronefrose, hypospadi), ørene (dysplastiske eller lavtsittende), ansiktsskjelettet (maksillær og mandibulær hypoplasi, ganespalte) og hjertet (septumdefekter) (9, 19, 25, 37, 38).
Psykomotorisk utvikling
Metopicasynostose kan også være ledsaget av utviklingsavvik. Sidoti og medarbeidere (39) studerte 32 barn med trigonocefali retrospektivt. Gruppen bestod av både opererte og ikke-opererte pasienter. Man fant normal utvikling hos 20 (63 %), åtte hadde lette til moderate nevropsykologiske avvik (25 %), mens fire hadde alvorlig mental retardasjon (12 %). Bottero og medarbeidere (9) studerte retrospektivt 76 barn som var operert for trigonocefali. Ved undersøkelse etter tre års alder fant man normal utvikling hos 69 %, atferds- eller lærevansker hos 26 %, mens 5 % var mentalt retarderte. Selv om materialet er relativt lite, fant man en signifikant forskjell mellom dem som var operert tidlig (før ett års alder) og sent. Videre påviste man en sammenheng mellom nevropsykologiske problemer og metopicastenosens grad, samt forekomst av ekstrakraniale misdannelser (9).
Konklusjon
Prematur lukking av sutura metopica er en relativt sjelden misdannelse, og ubehandlet medfører den en økende hode- og ansiktsmisdannelse kalt trigonocefali eller plogskalle. Tidlig kirurgi, i form av radikal panneremodellering, kan kanskje redusere forekomsten av atferds- eller lærevansker (9).
Metopicasynostose opptrer i meget varierende alvorlighetsgrad. Ved alvorlige tilstander har pasienten allerede ved fødselen en vollformet oppdriving langs suturen, mens synostosen i lettere tilfeller utvikler seg senere. Tilstanden må skilles fra en normalvariant der barnet kun utvikler en palpabel oppdriving langs sutura metopica, mens resten av kraniet er velformet.
Barn som mistenkes å ha metopicasynostose bør utredes med klinisk undersøkelse, hvor man særlig palperer suturer og fontaneller og vurderer hodeskallens form og formutvikling, samt med røntgen caput for å vurdere suturene. Ved sikkert påvist eller sterkt mistenkt synostose, bør barnet henvises til en nevrokirurgisk poliklinisk undersøkelse.
Pasienter som innlegges i nevrokirurgisk avdeling med tanke på operasjon gjennomgår en fullstendig nevrologisk undersøkelse. Videre undersøkes alle nevroradiologisk med cerebral CT uten og med tredimensjonal rekonstruksjon, samt 24-timers måling av intracerebralt trykk. Ved mistanke om ledsagende intracerebral patologi utføres også cerebral MR.
Behandlingen av slike sjeldne tilstander krever høyt spesialiserte tjenester, blant annet fra barneanestesiologer og genetikere. Den bør derfor sentraliseres og utvikles innenfor rammen av et multidisiplinært kraniofacialt kirurgisk team, bestående i første rekke av barnenevrokirurg, plastikkirurg og kjevekirurg.
- 1.
Shuper A, Merlob P, Grünebaum M, Reisner SH. The incidence of isolated craniosynostosis in the newborn infant. Am J Dis Child 1985; 139: 85 – 6.
- 2.
Cohen MM. Perspectives on craniosynostosis. I: Cohen MM, red. Craniosynostosis: diagnosis, evaluation and management. New York: Raven Press, 1986: 21 – 57.
- 3.
Van der Kolk CA, Beaty T. Etiopathogenesis of craniofacial anomalies. Clin Plast Surg 1994; 21: 481 – 8.
- 4.
Tange MR, Midholm S, Sindet-Petersen S, Christensen L. Præmatur kranesynostose: diagnose og behandling. Ugeskr Læger 1994; 156: 1455 – 99.
- 5.
Cohen MM. The etiology of craniosynostosis. I: Cohen MM, red. Craniosynostosis: diagnosis, evaluation and management. New York: Raven Press, 1986: 59 – 79.
- 6.
Renier D, Sainte-Rose C, Marchac D, Hirsch JF. Intracranial pressure in craniosynostosis. J Neurosurg 1982; 57: 370 – 7.
- 7.
Renier D. Intracranial pressure in craniosynostosis: pre- and postoperative recordings – correlations with functional results. I: Persing JA, Edgerton MT, red. Scientific foundations and surgical treatment of craniosynostosis. Baltimore: Williams & Wilkins, 1989: 263 – 9.
- 8.
Thompson DNP, Malcolm GP, Jones BM, Harkness WJ, Hayward RD. Intracranial pressure in single-suture craniosynostosis. Pediatr Neurosurg 1995; 22: 235 – 40.
- 9.
Bottero L, Lajeunie E, Arnaud E, Marchac D, Renier D. Functional outcome after surgery for trigonocephaly. Plast Reconstr Surg 1998; 102: 952 – 8.
- 10.
Anderson FM. Ttreatment of coronal and metopic synostosis: 107 cases. Neurosurgery 1981; 8: 143 – 9.
- 11.
Eppley BL, Sadove AM. Surgical correction of metopic suture synostosis. Clin Plast Surg 1994; 21: 555 – 62.
- 12.
Shillito J jr., Matson DD. Craniosynostosis: a review of 519 surgical patients. Pediatrics 1968; 41: 829 – 53.
- 13.
Genitori L, Cavalheiro S, Lena G, Dollo C, Choux M. Skull base in trigonocephaly. Pediatr Neurosurg 1991 – 92; 17: 175 – 81.
- 14.
Delashaw JB, Persing JA, Park TS, Jane JA. Surgical approaches for the correction of metopic synostosis. Neurosurgery 1986; 19: 228 – 34.
- 15.
Dhellemmes P, Pellerin P, Lejeune JP, Lepoutre F. Surgical treatment of trigonocephaly: experience with 30 cases. Childs Nerv Syst 1986; 2: 228 – 32.
- 16.
Marchac D, Renier D. Cranio-facial surgery for cranio-synostosis. Scand J Plast Reconstr Surg 1981; 15: 235 – 43.
- 17.
Marchac D, Renier D. Craniofacial surgery for craniosynostosis. Boston: Little, Brown, 1982.
- 18.
Sadove AM, Karlsbeck J, Eppley BL, Javed T. Modification sin the surgical correction of trigonocephaly. Plast Reconstr Surg 1990; 85: 853 – 8.
- 19.
Cohen SR, Maher H, Wagner JD, Dauser RC, Newman MH, Muraszko KM. Metopic synostosis: evaluation of aesthetic results. Plast Reconstr Surg 1994; 94: 759 – 67.
- 20.
Cohen MM. Syndromes with craniosynostosis. I: Cohen MM, red. Craniosynostosis: diagnosis, evaluation and management. New York: Raven Press, 1986: 413 – 590.
- 21.
Collmann H, Sörensen N, Krauss J. Consensus: trigonocephaly. Childs Nerv Syst 1996; 12: 664 – 8.
- 22.
Marchac D. A frontal pattern for craniofacial remodeling. Ann Plast Surg 1986; 17: 263 – 5.
- 23.
Marchac D, Renier D. ”Le front flottant”: traitement précoce des facio-craniostenoses. Ann Chir Plast 1979; 24: 121.
- 24.
Friede H, Alberius P, Lilja J, Lauritzen C. Trigonocephaly: clinical and cephalometric assessment of craniofacial morphology in operated and nontreated patients. Cleft Palate J 1990; 27: 362 – 7.
- 25.
Di Rocco C, Velardi F, Ferrario A, Marchese E. Metopic synostosis: in favour of a ”simplified” surgical treatment. Childs Nerv Syst 1996; 12: 654 – 63.
- 26.
Di Rocco C, Marchese E, Velardi F. Craniosynostosis: surgical treatment during the first year of life. J Neurosurg Sci 1992; 36: 129 – 37.
- 27.
Posnick JC, Lin KY, Chen P, Armstrong D. Metopic synostosis: quantitative assessment of presenting deformity and surgical results based on CT scans. Plast Reconstruct Surg 1994; 93: 16 – 24.
- 28.
Fearon JA, Kolar JC, Munro IR. Trigonocephaly-associated hypotelorism: is treatment necessary? Plast Reconstr Surg 1996; 97: 503 – 9.
- 29.
Moore KL. The developing human: clinically oriented embryology. 4. utg. Philadelphia: Saunders, 1988.
- 30.
Lemire RJ. Embryology of the skull. I: Cohen MM, red. Craniosynostosis: diagnosis, evaluation and management. New York: Raven Press, 1986: 105 – 29.
- 31.
Cohen MM. Sutural biology and the correlates of craniosynostosis. Am J Med Genet 1993; 47: 581 – 616.
- 32.
Kokich VG. The biology of sutures. I: Cohen MM, red. Craniosynostosis: diagnosis, evaluation and management. New York: Raven Press, 1986: 81 – 103.
- 33.
Hennekam RC, Van den Boogaard MJ. Autosomal dominant craniosynostosis of the sutura metopica. Clin Genet 1990; 38: 374 – 7.
- 34.
Oi S, Matsumoto S. Trigonocephaly (metopic synostosis): clinical, surgical and anatomical concepts. Childs Nerv Syst 1987; 3: 259 – 65.
- 35.
Posnick JC, Armstrong D, Bite U. Metopic and sagittal synostosis: intracranial volume measurements prior to and after cranio-orbital reshaping in childhood. Plast Reconstruct Surg 1995; 96: 299 – 315.
- 36.
Salkind G, Sutton LN, Bruce DA, Schut L, Schut A. Management of trigonocephaly. Surg Neurol 1986; 25: 159 – 62.
- 37.
Lajeunie E, Le Merrer M, Marchac D, Renier D. Syndromal and nonsyndromal primary trigonocephaly: analysis of a series of 237 patients. Am J Med Genet 1998; 75: 211 – 5.
- 38.
Lajeunie E, Le Merrer M, Arnaud E, Marchac D, Renier D. Trigonocéphalie: formes isolées, associées et syndromiques. Étude génétique d’une série de 278 patients. Arch Pédiatr 1998; 5: 873 – 9.
- 39.
Sidoti EJ jr., Marsh JL, Marty-Grames L, Noetzel MJ. Long term studies of metopic synostosis: frequency of cognitive impairment and behavioural disturbances. Plast Reconstr Surg 1996; 97: 276 – 81._