Magnettomografi – nyere bildeteknikker og fremtidsperspektiver
Magnetisk resonanstomografi, på norsk ofte kalt magnettomografi eller bare MR, har i løpet av de siste 20 årene utviklet seg til et uunnværlig bildediagnostisk hjelpemiddel ved sykdommer i de fleste organsystemer. Blant metodens fortrinn er fravær av ioniserende stråler, tynne snitt med høy romoppløsning, helt valgfrie snittplan og en kontrastoppløsning, dvs. evne til å skille mellom ulike typer vev, som er alle andre bildediagnostiske metoder overlegen. Vi vil i denne artikkelen trekke frem noen av de viktigste utviklingsområdene innen moderne MR-diagnostikk og også forsøke å spå litt om den nærmeste fremtid. Først vil vi imidlertid gi en kort omtale av de teknologiske fremskritt som har gjort de senere års utvikling mulig.
Den teknologiske utviklingen i 1990-årene
Magneten
God bildekvalitet er avhengig av at magnettomografen gir et homogent magnetfelt i vevet som skal avbildes. Det er lettere å oppnå et homogent magnetfelt i en lang, trang, rørformet magnet enn i en kort, vid magnet med åpen utforming. De tidlige supraledende magnetene var derfor både lange og trange. Dagens moderne magneter er blitt atskillig kortere og videre, men har likevel beholdt en høy magnetfelthomogenitet. Den ytre skjermingen av magnetfeltet er også betydelig bedret, slik at magnetfeltets styrke avtar mye raskere med avstanden fra magneten. Dagens magneter er således både mer pasientvennlige og mindre plasskrevende enn de tidligere. De teknologiske fremskrittene har også frembrakt magneter dedisert til spesielle formål. En av de mest spesielle magnetene er å finne på Rikshospitalets intervensjonssenter. Magneten består av to vertikalt stilte, smultringformede halvdeler med et åpent felt i midten hvor operatøren kan stå og utføre intervensjonsprosedyrer (f.eks. biopsering eller operativt inngrep) under veiledning av MR-avbildning (fig 1). For ortopediske MR-undersøkelser er det utviklet små magnettomografer med en åpning som tillater avbildning av en distal ekstremitet, f.eks. kne, fot eller hånd. Det er videre laget magneter dedisert for mammaundersøkelser, og i disse tider arbeides det med utvikling av skreddersydde systemer for hjernefunksjonsundersøkelser og for hjerteundersøkelser.
Magnetfeltgradienter
Alle MR-opptak innebærer bruk av magnetfeltgradienter, dvs. magnetfelt som forandrer styrke lineært i en gitt retning. Gradientene gir MR-signalet romlig informasjon, dels ved å sørge for at signalet bare kommer fra ett bestemt snittplan, dels ved å gi signalene fra de ulike områdene i snittplanet en frekvens og fase bestemt av områdets posisjon i snittplanet. En analyse av de ulike frekvensene og fasene i det sammensatte signalet som registreres i mottakerspolen, danner basis for rekonstruksjon av MR-bildene. Gradientene skapes ved å sende strøm gjennom spesielle gradientspoler, og under et bildeopptak slås gradientene av og på mange ganger (dette setter gradientspolene i svingninger og gir opphav til den lyden som høres under MR-opptak). Innkodingen av frekvens og fase krever at gradientene gis en nøye beregnet styrke og varighet. Maksimalstyrken til en gradient og tiden som trengs for å oppnå denne styrken, er av stor betydning for opptakstiden. En svak gradient må stå på i lengre tid for å gi samme effekt som en sterkere gradient. Utviklingen av sterkere, raskere og mer stabile gradienter har vært hovedutfordringen for maskinleverandørene i snart to decennier. Den første maskinen som ble levert her i landet (Stavanger, 1986), hadde opprinnelig en maksimal gradientstyrke på 3 millitesla per meter, og oppnådde denne verdien i løpet av vel ett millisekund. Dagens gradientsystemer oppnår ti ganger så høy gradientstyrke på en femdel av tiden, hvilket har bidratt til at minimum opptakstid per snitt er blitt redusert med en faktor på ca. 100.
Spoler
Ethvert MR-bilde er et kompromiss mellom romoppløsning (detaljskarphet) og signal-støy-forhold. Raskere opptak betyr vanligvis redusert signal og mer støy i bildet. Mottakerspolen er av stor betydning for forholdet mellom signal og støy. Jo nærmere spolen kan plasseres det anatomiske området som skal avbildes, desto kraftigere blir signalet. Støyen som registreres, øker med spolens størrelse, dvs. med størrelsen til det vevsvolumet som dekkes av spolen. For å gi tilstrekkelig høyt signal-støy-forhold ved raske opptak av store anatomiske områder, f.eks. thorax eller abdomen, er det i 1990-årene utviklet spesielle mottakerspoler (”phased array”-spoler) som er sammensatt av flere mindre enkeltspoler. Hvert spoleelement bidrar med høyt signal-støy-forhold til hver sin del av bildet. Det er også utviklet små endokavitære spoler (til f.eks. endorektal undersøkelse av prostata eller endovaginal undersøkelse av uterus) og endog intravaskulære spoler. Intravaskulære spoler montert på katetre er fortsatt på eksperimentstadiet, men har potensial til detaljert fremstilling av karvegg.
Raskere bildeteknikker
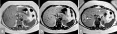
Det som karakteriserer dagens bildeopptak er først og fremst kortere opptakstid enn tidligere. Endringen har for enkelte applikasjoner vært dramatisk. Et T2-vektet bildeopptak av leveren kunne i slutten av 1980-årene ta bortimot 20 minutter. I dag kan opptaket gjøres mens pasienten holder pusten, dvs. i løpet av 15 – 20 sekunder, og det med en betydelig bedret bildekvalitet (fig 2). Prinsippene for de opptaksteknikkene (i MR kalt pulssekvenser) som i dag benyttes til raske opptak, er ikke av ny dato, men bedrede gradienter og spoler har gjort at disse teknikkene nå også kan gi god bildekvalitet. Den aller raskeste teknikken kalles ”echo planar imaging” (EPI) og kan i sin hurtigste versjon klare opptakstider ned mot 20 ms. EPI-teknikker blir mye benyttet til avbildning av perfusjon, diffusjon og blodets oksygeneringsgrad.
Bildebehandling
Moderne datateknologi med programvare for avansert bildebehandling har gjort det mulig å ekstrahere og presentere ny informasjon fra bildedataene. Metoder som ”volume rendering” og segmentering gjør det mulig å avgrense, fargekode og volumbestemme normale og patologiske anatomiske strukturer (fig 3). En lang rekke parametriske bilder kan kalkuleres, dvs. bilder der kontrasten eller fargekodingen gjenspeiler ulike parametere som f.eks. grad av hjerneaktivitet, diffusjonskoeffisienten i et vev eller hastigheten av et kontrastmiddelopptak eller kontrastmiddelpassasje i ulike vev.
Nye kontrastmuligheter
For enhver bildediagnostisk metode er målet å skape kontrastforskjeller mellom ulike typer vev, ikke minst mellom sykt og friskt vev. Kontrasten kan påvirkes av opptaksteknikken (f.eks. type pulssekvens ved MR, valg av kilovolt ved CT eller valg av ultralydfrekvens ved ultrasonografi), egenskaper ved vevene selv eller et tilført kontrastmiddel. Tabell 1 gir en oversikt over hvilke vevsegenskaper som bestemmer bildekontrasten ved henholdsvis ultrasonografi, CT og MR. Det store antall vevsparametere som kan påvirke bildekontrasten ved MR, indikerer at denne modaliteten har et større potensial til å oppdage små vevsforandringer enn de øvrige modalitetene. Parametere som protontetthet (hydrogenkjernetettheten i vevet), T1-relaksasjon, T2-relaksasjon og blodstrømshastighet er av stor viktighet i all konvensjonell MR-avbildning. I de senere år er teknologien blitt god nok til også å utnytte kontrastmulighetene til andre vevsparametere, og i det følgende vil vi kort omtale fire av disse, nemlig perfusjon, diffusjon, blodets oksygeneringsgrad og temperatur. Utviklingen av nye kontrastmidler vil også få en kort omtale.
Tabell 1
Vevsparametere av betydning for bildekontrast
| Ultrasonografi | CT | MR |
| Akustisk impedans | Massetetthet (elektrontetthet) | Protontetthet |
| Reflektorstørrelse og -form | Atomnummer |
|
Perfusjon
Vevsperfusjon er blodgjennomstrømning på kapillærnivå, oftest målt som antall milliliter blod per 100 g vev per minutt. Kapillarene er for små for visualisering med MR, men graden av perfusjon kan likevel avbildes. Den vanligst brukte teknikken er intravenøs bolusinjeksjon av et paramagnetisk kontrastmiddel, etterfulgt av raske bildeopptak som følger kontrastmidlets første passasje gjennom det aktuelle organ, f.eks. hjerne, hjerte eller nyre. Et perfusjonsopptak av hjernen gjøres gjerne med EPI-teknikk, og dette kan omfatte f.eks. 15 bilder av hjernen hvert andre sekund i totalt 100 sekunder, hvilket gir totalt 750 bilder. Evalueringen av dette store bildemateriale krever naturlig nok kraftige datamaskiner med egnet programvare. Etter opptaket kan man få en grafisk fremstilling av hvordan signalstyrken endrer seg med tiden under passasjen av kontrastmidlet, og basert på disse data kan man kalkulere og bildefremstille den relative mengde blodvolum i de ulike deler av hjernen (1) (fig 4a). Man kan også få avbildet hvor fort kontrasten når de ulike områdene, og dermed få visualisert områder med f.eks. forsinket blodstrøm (fig 4b). Det har imidlertid vist seg svært vanskelig å få en eksakt kvantifisering av perfusjonen med denne metoden. Perfusjons-MR med kontrastmiddel har vært mye benyttet til å evaluere akutt hjerneslag, ikke minst for å prøve å differensiere mellom områder med reversibel og irreversibel iskemisk skade (2, 3).
Det finnes også MR-teknikker for kvantitativ måling av perfusjon. Den mest lovende teknikken kalles ”spin labelling” (protonmerking) (4). Man kan f.eks. påvirke protonene i arteriene på halsen med en radiobølge. Disse ”merkede” protonene vil strømme med blodet og påvirke signalet i hjernevevet. Metoden har også vært benyttet til kvantitativ måling av perfusjon i myokard (5), nyrevev (6) og lunger (7).
Diffusjon
Diffusjon er tilfeldige termiske molekylbevegelser, også kalt Brownske bevegelser. Det er en fundamental prosess for transport av stoffer over korte distanser. Vannmolekyler som ikke hindres i sin bevegelse, diffunderer typisk ca. 20 µ m i en hvilket som helst retning i løpet av 100 ms, eller ca. 60 µ m i løpet av ett sekund. Dette er distanser som tilsvarer cellestørrelser, og graden av diffusjon er da også vevsavhengig. Intracellulære vannmolekyler har generelt mindre bevegelsesfrihet enn ekstracellulære. I noen vev er diffusjonen anisotrop, f.eks. relativt høy én retning, men mindre i øvrige retninger. Eksempel på dette er nervebanene i hvit substans i hjernen, der molekylbevegelsen er relativt fri i fiberretningen, men hindret på tvers av fibrene.
MR-opptak kan gjøres sensitive for diffusjon (8). I et såkalt diffusjonsvektet MR-opptak er signalstyrken direkte påvirket av graden av diffusjon. Kraftige magnetfeltgradienter fører til at områder med høy diffusjon mister signal og fremtrer som mørke områder i bildet, mens områder med liten diffusjon gir kraftig signal og avbildes dermed lyse. Et kvantitativt mål for diffusjon, f.eks. av molekyler i en væske, er den såkalte diffusjonskoeffisienten. Den diffusjonen som kan observeres ved MR-opptak av vev der molekylene blir hindret i å diffundere av f.eks. cellemembraner, blir gjerne uttrykt av parameteren ”apparent diffusion coefficient” (ADC). Denne ”tilsynelatende” diffusjonskoeffisienten kan kalkuleres ved hjelp av to ulike diffusjonsvektede opptak. Kalkulerte ”ADC-bilder” vil vise høyt signal i områder med høy diffusjon.
Diffusjonsvektede opptak er svært følsomme for pasientbevegelse og gjøres derfor ofte med EPI-teknikk. Ved bruk av mer langvarige opptak har man nå spesielle teknikker for å registrere bevegelse (”navigatørekko”) og etterpå fjerne eventuelle bevegelsesforstyrrelser.
).
Blodets oksygeneringsgrad
Når oksyhemoglobin deoksygeneres, går molekylets jernion (Fe2+) fra en diamagnetisk til en paramagnetisk tilstand. Paramagnetisk deoksyhemoglobin vil ved MR-opptak gi ujevnheter i magnetfeltstyrken i de nærmeste omgivelser. Såkalte T2*-vektede MR-opptak er følsomme for slike ujevnheter, på slike bilder vil områder med mye deoksyhemoglobin gi svakt signal og vil fremtre som mørke. Denne kontrasteffekten av blodets oksygeneringsgrad er blitt kalt BOLD (blood oxygen level dependent contrast). Effekten er særlig blitt utnyttet til å kartlegge ulike funksjonelle områder i hjernen.
Ved økt hjerneaktivitet (f.eks. pga. motorisk aktivitet, sensoriske stimuli eller tankevirksomhet) vil hjernecellenes oksygenforbruk øke. Dette gir en reflektorisk økt blodgjennomstrømning til det aktuelle området av hjernen. Den økte blodstrømmen overkompenserer for det økte oksygenforbruket, slik at veneblodet som drenerer de aktive områdene, inneholder mindre deoksyhemoglobin enn hva tilfellet er uten aktivitet. Mindre deoksyhemoglobin fører til økt MR-signal sammenliknet med hviletilstanden (13). Økningen i signal er for liten til å oppdages direkte visuelt, men ved å gjøre forsøk med avvekslende aktivitet og ingen aktivitet kan man ved hjelp av statistiske metoder oppdage og fargekode de områdene som veksler i signalintensitet i takt med forsøket. Metoden kalles gjerne på engelsk ”functional MRI” (fMRI), og er en teknikk som hovedsakelig har vært benyttet til forskningsformål. En svært nyttig praktisk anvendelse er utredning før hjernekirurgi for å kartlegge om viktige hjerneområder (f.eks. den motoriske bark) vil affiseres av inngrepet (fig 5) (14, 15).
Temperatur
Alle MR-opptak er mer eller mindre temperaturfølsomme, og dette kan utnyttes i forbindelse med temperaturbehandling av svulster. Kunstig nedkjøling (kryokirurgi) eller oppvarming (interstitiell laser, RF (radiofrekvens)-termokoagulering, fokusert ultralyd) vil påvirke signalstyrken i MR-bilder, og raske MR-opptak kan dermed benyttes til å overvåke behandlingsprosessen. Ved MR-veiledet temperaturbehandling kan man sikre at den aktuelle tumor blir tilstrekkelig behandlet og at omgivende normalt vev ikke utsettes for skadelig temperaturendring (fig 6). Denne metoden utgjør en viktig del av MR-veiledet intervensjon (se under).
Kontrastmidler
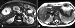
De aller fleste kontrastmidler som benyttes ved MR, er paramagnetiske (hvilket betyr at molekylene i kontrastmidlet blir magnetiske når de bringes inn i det kraftige magnetfeltet i en magnettomograf). Paramagnetiske stoffer kan påvirke T1-relaksasjonen og/eller T2-relaksasjonen til hydrogenkjernene i omkringliggende vannmolekyler, og dermed påvirke signalstyrken både i T1-vektede og T2-vektede MR-bilder. Hittil har man mest benyttet vannløselige, ekstracellulære kontrastmidler til intravenøs injeksjon. Disse fordeler seg i kroppen og utskilles helt analogt til de vanligste jodholdige røntgenkontrastmidlene. De viktigste indikasjonene er påvisning av tumor og inflammatoriske prosesser og bruk ved kontrastforsterket MR-angiografi (16), perfusjonsstudier og MR-artrografi. I de senere år har det imidlertid tilkommet mange nye kontrastmidler, og enda flere er under utvikling. Eksempler er leverspesifikke kontrastmidler som enten tas opp selektivt i hepatocyttene eller i kupffercellene (det retikuloendoteliale system) (fig 7), lymfespesifikke kontrastmidler (tas opp i lymfeknuter), intravaskulære kontrastmidler som holder seg i blodbanen (spesielt for MR-angiografi og perfusjon) og tumorspesifikke kontrastmidler (foreløpig på eksperimentstadiet). Det arbeides også med såkalte hyperpolariserte gasser, som er magnetiserte edelgasser (xenon, helium). Disse kan bl.a. utnyttes til MR-avbildning av bronkialtre og lunger, med en detaljoppløsning som langt overgår scintigrafi.
MR-veiledet intervensjon
Raske bildeopptak kombinert med åpen magnetdesign har muliggjort MR-veiledet intervensjon, dvs. invasive inngrep under ”MR-gjennomlysning”. Foreløpig er veiledningen ikke raskere enn 1 – 2 bilder per sekund, men dette vil bedres i nær fremtid. Teknikken har vært hemmet av mangel på MR-kompatibelt utstyr, men nye instrumenter som tåler og kan benyttes i det kraftige magnetfeltet er under stadig utvikling. Med riktig utstyr er mulighetene mange, bl.a. MR-veiledet biopsi, MR-veiledet temperaturbehandling (se over), MR-veiledet injeksjonsbehandling (f.eks. etanol eller cytostatika), MR-veiledet endoskopi og MR-veiledet kateterisering av f.eks. kar eller galleveier. Til sistnevnte applikasjon er det utviklet katetre med en liten sendespole i tuppen for lokalisering av kateteret under MR-gjennomlysning, men det er enda et godt stykke frem før denne bruken av MR kan få klinisk anvendelse.
Fremtidsperspektiver
Svært få medisinske fagfelter kan vise til en så rask og omfattende utvikling som MR-teknikken. Metoden har lagt bak seg introduksjonsfasen og fremstår nå som et veletablert diagnostisk helkroppsverktøy. MR har et større diagnostisk potensial enn CT, og vi må forvente at metoden etter hvert også blir mer utbredt enn CT. Økte restriksjoner på bruk av ioniserende stråler vil sannsynligvis bidra til dette. Den teknologiske utviklingen vil gi ytterligere reduserte opptakstider, og sanntidsopptak (>10 bilder per sekund) vil trolig være standard få år frem i tiden. Invasive undersøkelser som diagnostisk angiografi og diagnostisk endoskopisk retrograd kolangiopankreatikografi (ERCP) vil bli kraftig redusert eller forsvinne til fordel for MR. Kontrastforsterket MR-angiografi av pulmonalarteriene kombinert med MR-avbildning av lungenes perfusjon vil trolig bli den foretrukne metoden ved spørsmål om lungeemboli. Sanntidsopptak og MR-angiografi av koronararteriene vil kunne gjøre MR til en diagnostisk ”one-stop shop” ved mange hjertesykdommer.
Avbildning av fysiologiske prosesser vil få økt betydning. Kvantitative perfusjonsstudier uten bruk av ioniserende stråler eller kontrastmiddel, kun ved ”merking” av hydrogenkjerner, vil kunne bli en viktig metode bl.a. ved stresstesting av hjertet eller hjernen (17). MR-opptak som er sensitive for blodets oksygeneringsgrad synes også å åpne for muligheten til å kvantifisere det regionale oksygenopptaket i vev (18).
Med spesialutstyr har MR allerede i dag muligheten til en bildemessig detaljoppløsning ned mot lysmikroskopiens område. Såkalt MR-mikroskopi kan i dag gi bilder med snittykkelse på ca. 100 µ m og en pikselstørrelse ned til 10 µ m. Metoden benyttes mest til in vitro-studier av vevsprøver, men har også vært brukt til in vivo-undersøkelse av hud (fig 8). Med spesialspoler montert på katetre eller endoskop kan man kanskje i fremtiden utføre in vivo-MR-mikroskopi også av overflater som karvegg, bronkialvegg, tarmvegg o.l. med tilnærmet lysmikroskopisk oppløsningsevne.
Magnettomografen er trolig det teknologisk mest avanserte enkeltinstrument som noen gang er tilbudt medisinsk virksomhet, og de maskiner som plasseres ved de mindre sykehus er stort sett identiske med maskinene ved universitetssykehusene. Optimal utnyttelse av den etter hvert store maskinparken er en stor utfordring for fagmiljøene. I tillegg til høy kompetanse innen klinisk radiologi kreves det også spesialkompetanse innen MR-teknologi, fysikk og databehandling. Miljøer som mangler denne spesialkompetansen, står i fare for å stagnere og vil heller ikke kunne utnytte metodens store potensial til fulle.
- 1.
Rosen BR, Belliveau JW, Aronen HJ, Kennedy D, Buchbinder BR, Fischman A et al. Susceptibility contrast imaging of cerebral blood volume: human experience. Magn Reson Med 1991; 22: 293 – 9.
- 2.
Ueda T, Yuh WT, Maley JE, Quets JP, Hahn PY, Magnotta VA. Outcome of acute ischemic lesions evaluated by diffusion and perfusion MR imaging. AJNR Am J Neuroradiol 1999; 20: 983 – 90.
- 3.
Latchaw RE. The roles of diffusion and perfusion imaging in acute stroke management. AJNR Am J Neuroradiol 1999; 20: 957 – 8.
- 4.
Williams DS, Detre JA, Leigh JS, Koretsky AP. Magnetic resonance imaging of perfusion using spin inversion of arterial water. Proc Natl Acad Sci USA 1992; 89: 212 – 6.
- 5.
Reeder SB, Atalay MK, McVeigh ER, Zerhouni EA, Forder JR. Quantitative cardiac perfusion: a noninvasive spin-labeling method that exploits coronary vessel geometry. Radiology 1996; 200: 177 – 84.
- 6.
Roberts DA, Detre JA, Bolinger L, Insko EK, Lenkinski RE, Pentecost MJ et al. Renal perfusion in humans: MR imaging with spin tagging of arterial water. Radiology 1995; 196: 281 – 6.
- 7.
Roberts DA, Gefter WB, Hirsch JA, Rizi RR, Dougherty L, Lenkinski RE et al. Pulmonary perfusion: respiratory-triggered three-dimensional MR imaging with arterial spin tagging – preliminary results in healthy volunteers. Radiology 1999; 212: 890 – 5.
- 8.
Stejskal EO, Tanner JE. Spin diffusion measurements: spin-echoes in the presence of a time dependent field gradient. J Chem Phys 1965; 42: 288 – 92.
- 9.
Tsuruda JS, Chew WM, Moseley ME, Norman D. Diffusion-weighted MR imaging of the brain: value of differentiating between extraaxial cysts and epidermoid tumors. AJR Am J Roentgenol 1990; 155: 1059 – 65.
- 10.
Baur A, Stäbler A, Brüning R, Bartl R, Krödel A, Reiser M et al. Diffusion-weighted MR imaging of bone marrow: differentiation of benign versus pathologic compression fractures. Radiology 1998; 207: 349 – 56.
- 11.
Marks MP, de Crespigny A, Lentz D, Enzmann DR, Albers GW, Moseley ME. Acute and chronic stroke: navigated spin-echo diffusion-weighted MR imaging. Radiology 1996; 199: 403 – 8.
- 12.
Gonzâles RG, Shaefer PW, Buonanno FS, Schwamm LH, Budzik RF, Rordorf G et al. Diffusion-weighted MR imaging: diagnostic accuracy in patients imaged within 6 hours of stroke symptom onset. Radiology 1999; 210: 155 – 62.
- 13.
Ogawa S, Tank DW, Menon R, Ellermann JM, Kim SG, Merkle H et al. Intrinsic signal changes accompanying sensory stimulation: functional brain mapping with magnetic resonance imaging. Proc Natl Acad Sci USA 1992; 89: 5951 – 5.
- 14.
Jack CR, Thompson RM, Butts RK, Sharbrough FW, Kelly PJ, Hanson DP et al. Sensory motor cortex: correlation of presurgical mapping with functional MR imaging and invasive cortical mapping. Radiology 1994; 190: 85 – 92.
- 15.
Yousry TA, Schmid UD, Jassoy AG, Schmidt D, Eisner WE, Reulen H-J et al. Topography of the cortical motor hand area: prospective study with functional MR imaging and direct motor mapping at surgery. Radiology 1995; 195: 23 – 9.
- 16.
Smith H-J. M Magnetisk resonansangiografi Tidsskr Nor Lægeforen 2000; 120: 936 – 40.
- 17.
Samuels OB, Detre JA, Alsop DC, Kasner SE, Teener JW, Raps EC. Evaluation of focal perfusion defects due to symptomatic middle cerebral artery stenosis using arterial spin labeling perfusion magnetic resonance imaging. Neurology 1998; 50 (suppl): A77.
- 18.
van Zijl PC, Eleff SM, Ulatowski JA, Oja JM, Ulug AM, Traystman RJ et al. Quantitative assessment of blood flow, blood volume and blood oxygenation effects in functional magnetic resonance imaging. Nature Med 1998; 4: 159 – 67.