Magnetisk resonanstomografi ved skjelett- og bløtdelstraumer

    ()

    sporsmal_grey_rgb
    Abstract

    Magnetisk resonanstomografi (MR) har revolusjonert den bildediagnostiske utredningen av skjelett- og bløtdelsskader. Før dette var tilgjengelig, brukte man konvensjonell røntgenundersøkelse, ultralyd, computertomografi samt eventuelt scintigrafi.

    Nå er MR ofte den primære bildediagnostiske modaliteten, spesielt ved bløtdelsskader. Kliniske studier har dokumentert at MR er en nøyaktig og kostnadsbesparende metode for å vurdere slike skader. MR vil ha stor betydning for valg av behandling og oppfølging av disse pasientene. En region undersøkes i alle anatomiske plan uten at man må flytte på pasienten.

    MR er bedre enn konvensjonell røntgen også i utredningen av eventuelle frakturkomplikasjoner. I tillegg til å kunne identifisere frakturlinjer kan man også bedømme eventuelle bløtdelsskader i samme seanse.

    Abstract

    MRI has revolutionized the diagnostic yield in musculo-skeletal trauma. Studies have documented that MRI can be an accurate, cost-effective means of assessing injuries in the knee, the foot and the ankle, and it may also be cost-effective in other anatomic locations. MRI may have a significant impact on decision-making in relation to these patients and on the follow-up. The patient does not need to be moved for evaluation in all the anatomical planes. Each study can also be post-processed if necessary. MRI may be used in patients with fractures for evaluation of complications. The fracture lines as well as accompanying soft tissue damage are well documented.

    Artikkel

    De mest aktuelle MR-sekvenser ved undersøkelser av skjelett og bløtdeler vil i utgangspunktet være T1-vektede og T2-vektede spinnekko-/turbospinnekkosekvenser. T1-vektet sekvens gir først og fremst en anatomisk fremstilling av strukturene, men kan også vise patologiske forhold. T2-vektet sekvens er mer sensitiv for patologiske forandringer. Man kan også bruke en T2-vektet fettsupprimerende sekvens for å få frem ytterligere skader ved at det høye signalet fra fettvev undertrykkes. Normal beinmarg vil vises som lavsignal (svart) på en slik sekvens. Ved patologiske tilstander vil det være økt væske. Dette vil vises som høysignal (hvitt). Oftest brukes en T2-vektet STIR-sekvens (STIR = short T1 recovery), som er mer robust (mindre følsom) for variasjoner i magnetfeltets styrke enn en T2-vektet turbospinnekkofettsuppresjonssekvens.

    Leddundersøkelser kan utføres både på kraftige MR-maskiner (> 0,5 tesla) og på såkalte dedikerte lavfelts leddmaskiner (0,2 tesla). Sistnevnte maskintype kan imidlertid ikke utføre T1-vektet fettsuppresjonssekvens.

    Ved leddundersøkelser ser man på de intraartikulære og periartikulære strukturer samt leddnære knokler med brusk, corticalis og beinmarg. Det er tre typer undersøkelser: MR uten bruk av kontrastmidler, direkte MR-artrografi med instillasjon av fortynnet kontrastmiddel eller fysiologisk saltvann og indirekte MR-artrografi med intravenøs injeksjon av ufortynnet kontrastmiddel.

    MR anvendes oftest i primærutredning av de fleste ledd. MR-artrografi benyttes særlig i kne med tidligere recessert menisk og ved spørsmål om stabil kontra ustabil osteochondritis dissecans. Metoden er også meget verdifull ved undersøkelse av skulder og hofteledd med spørsmål om labrumskade. Labrum er brusk som sitter på henholdsvis kanten av fossa glenoidalis og acetabulum for å stabilisere bevegelsene i disse to ledd. Skade av labrum vil ofte gi instabilitet. Som oftest ligger de anatomiske strukturene tett på hverandre og kan derfor være vanskelig å skjelne fra hverandre. Men ved direkte instillasjon av væske i leddet får vi separert dem. Væsken vil fylle rifter og lekke gjennom kapselrupturer til de ekstraartikulære strukturene. Dermed kan man lettere skille patologiske forhold fra normale. MR-artrografi utføres med fortynnet gadolinium (fortynnet til 0,2 mmol/l). Dermed kan man bruke T1-vektede sekvenser. Hvis man i tillegg bruker fettsuppresjon, får man supprimert omliggende fett. Slik blir det lettere å identifisere små ekstraartikulære lekkasjer.

    Tverrstripet muskulatur har såkalt intermediært signal på spinnekko-/turbospinnekkosekvenser. Akutte blødninger vil derfor vises som høysignalområder både på T1-vektede og T2-vektede sekvenser. Graden av skade kan bedømmes ut fra de patologisk-anatomiske funn. Man kan til en viss grad bestemme om det foreligger akutt, subakutt eller kronisk skade ut fra signalkarakteristika ved de ulike sekvensene.

    Ved akutt skade i skjelett og blødeler vil det vanligvis være væske i det aktuelle området. Dette gir økt T2-relaksasjonstid, som vil vise seg som høysignal ved T2-vektede sekvenser. Akutt blødning vil i tillegg gi høyt signal ved T1-vektede sekvenser.

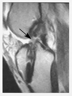
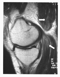
    Sener og ligamenter har lavt signal på alle spinnekkosekvenser. Total ruptur vises ved gjennomgående høysignal eller manglende fremstilling av ligament/sene. Partiell ruptur gir et høyt signal i deler av ligament/sene. Imidlertid vil man få en falskt positiv signaløkning på T1-vektet sekvens når lengdeaksen av ligament/sene er 55˚ i forhold til lengdeaksen av magnetfeltet i MR-maskinen (induksjonsfeltet). Dette kalles den magiske vinkel-fenomenet (1). Derfor må man alltid supplere med en T2-vektet sekvens i samme anatomiske retning (fig 1). Årsaken er den tette bindingen mellom vannmolekylene i bruskvevet i ligamenter og sener. Akutt tendinitt vil vises som høysignalområder i senen på T2-vektet sekvens. Kronisk tendinitt vises som breddeøkt sene uten tegn til signaløkning på denne. Akutt-på-kronisk tendinitt diagnostiseres når det er høysignal i en breddeøkt sene.

    MR kneledd

    MR kneledd

    Ved akutte og gjentatte traumer ser man etter skader i menisker, korsbånd, kollateralligamenter og brusk og økt væskeansamling i trabeklene «beinkontusjon» (2, 3). Ofte finner man multiple skader. MR brukes mer og mer i utredningen av intraartikulære kondylfrakturer (4). Ved osteonekrose kan man få informasjon om hvorvidt forandringene er potensielt reversible eller irreversible. MR er blitt svært viktig hos pasienter med akutt låst kne, hvor det viser seg at de kan bli spart for akutt artroskopi (3).

    Meniskrupturer uten låsning kan være vanskelig å diagnostisere klinisk. MR er en kostnadseffektiv undersøkelsesmetode til å diagnostisere rupturer.

    Det er tre typer menisklesjoner som kan påvises ved MR (5). Figur 2 viser skjematisk ulike typer av meniskdegenerasjoner. Disse viser seg som høysignalområder i menisken. Type 1 gir et lite intrameniskalt høysignal. Type 2 gir et lineært intrameniskalt høysignal som kan tangere meniskens overflate (fig 3). Ved type 3 sees et høysignal som bryter meniskens overflate. Det er denne typen vi beskriver som meniskruptur og som artroskopøren vil se som ruptur. Type 1 og type 2 oppfattes som degenerative forandringer uten patologisk betydning. Disse blir derfor ikke beskrevet. De er svært vanlige og starter allerede i barneårene.

    Det finnes ulike typer gjennomgående rupturer. Det er imidlertid viktig å identifisere hvor de sitter. Hvis de sitter i den perifere tredelen, dvs. i rød substans, kan de sutureres ev. spontantilheles. Hvis rupturen sitter i indre to tredeler (hvit substans) og gir symptomer, blir det utført reseksjon.

    MR vil lett påvise meniskcyster og deres anatomiske relasjon til kneleddet (fig 4).

    I opererte menisker kan det ved MR uten artrografiteknikk være vanskelig å avgjøre om det foreligger en reruptur. Hvis det er et høysignalområde som går mot reseksjonsranden, er det umulig å avgjøre om det er reruptur eller arrvev (6). Figur 5 viser skjematisk hvordan det kan se ut. MR-artrografi med direkte instillasjon av fortynnet gadolinium med påfølgende manipulasjon av kneleddet vil gjøre diagnostiseringen lettere. Dersom høysignalet blir like høyt som kontrastvæsken, må det være en kommunikasjon forenlig med ruptur. Dersom signalet er lavere enn kontrastvæsken, foreligger det kun arrvev (fig 6).

    Korsbåndene er intraartikulære, men ekstrasynoviale strukturer og er viktige stabilisatorer av leddet. Det fremre (ACL), som kan variere i tykkelse, skades hyppigere enn det normalt bredere bakre (PCL). Tegn på ruptur er som for ligamenter beskrevet over (fig 7). Av og til kan det være vanskelig å avgjøre om det foreligger ruptur av fremre korsbånd. Indirekte tegn er beinkontusjon i laterale femurkondyl, spiss vinkel på bakre korsbånd og tegn på subluksasjon av tibiaplatået dorsalt.

    Opererte korsbånd og korsbåndplastikker kan vurderes ved hjelp av MR (fig 8). Eventuelle skruer i henholdsvis laterale femur og mediale tibiakondyler vil ikke gi forstyrrende artefakter.

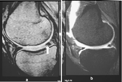
    Beinkontusjon foreligger når det er økt væskeansamling mellom trabeklene i forbindelse med et akutt traume og skyldes blødning og/eller ødem (4). Man oppfatter dette som mikrofrakturer. Væskeansamlingen gir økt signal på T2-vektet sekvens. STIR-sekvensen er meget sensitiv til å påvise selv små områder med væske (fig 9). Patologisk signal kan sees opptil 6–8 uker etter det aktuelle traumet. Denne væskeansamlingen forårsaker smerter som kan forklare pasientens symptomer når de intraartikulære strukturer for øvrig er intakte. Beinkontusjon kan diagnostiseres overalt i skjelettet hvor det har vært adekvat traume.

    Kollateralligamentene er også viktige for kneets stabilitet. Rupturer diagnostiseres på samme måte som for ligamenter ellers. Partiell ruptur kan imidlertid av og til være vanskelig å påvise.

    Forskjellige periartikulære patologiske forhold, som patellarsenetendinitt, quadricepssenetendinitt, gåsefotsenebursitt (pes anserinus) og andre bursitter lar seg lett påvise ved MR. Forstørret, væskefylt bursa omkring kneleddet vil vises som velavgrenset lavsignalområde på T1-vektet og som høysignalområde på T2-vektet sekvens.

    Ved kroniske knesmerter kan man med MR påvise eventulle osteonekroser med ledsagende margødem lenge før forandringene er synlige ved konvensjonell røntgenundersøkelse, og man kan som oftest også si noe om hvorvidt forandringene er potensielt reversible eller irreversible. Ved tidlig osteonekrose vil det være et subkondralt område på vektbærende del av aktuelle kondyl med nedsatt signal på T1-vektet sekvens. Gradientekkosekvenser er spesielt velegnet. Dette er ledsaget av margødem, som viser økt signal på STIR-sekvensen. Hvis det i tillegg kan påvises et subkondralt avstøtt fragment på mer enn 14 ⋅ 4 mm, er forandringen potensielt irreversibel.

    MR av skulder

    MR av skulder

    MR-undersøkelse av skulderen innbefatter glenohumeralleddet med omliggende strukturer (7). Dette leddet har størst bevegelighet av alle kroppens ledd. Fossa glenoidalis er liten i forhold til caput humeri. Leddet stabiliseres ved hjelp av blant annet labrum, rotatorcuffmuskler og sener (m. supraspinatus, m. infraspinatus, m. teres minor, m. subscapularis), m. deltoideus og glenohumerale ligamenter. Sistnevnte er forsterkninger av kapselen. Den akromio-klavikulære buen er viktig i forbindelse med smertefull skulder. Beinfremspring og påleiringer kan klemme på m. suprapinatus og forårsake såkalt innklemmingssyndrom. Som følge av dette kan muskelens sene nær festet til tuberculum majus utvikle tendintittforandringer og til slutt ruptur.

    De vanligste indikasjonene for MR-undersøkelse er innklemmingsproblemer med smertefull/manglende evne til å abdusere armen, instabilitet og utredning av residiverende skulderluksasjoner.

    Ved spørsmål om det er noe galt ekstraartikulært, utføres som regel kun MR av skulderregionen. Når det i tillegg er spørsmål om noe er galt intraartikulært, blir det foretatt en MR-artrografi (8).

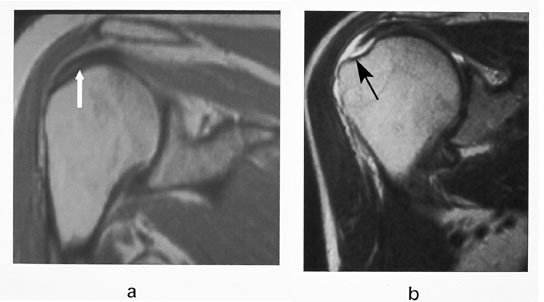
    Rotatorcuffruptur er en samlingsbetegnelse på ruptur av senene til en eller flere av de fire rotatorcuffmusklene. Hyppigst forekommer ruptur av supraspinatussenen, fordi blodforsyningen til muskel-sene-overgangen er dårlig (fig 10). Diagnose av ruptur er den samme som for ligamenter ellers. Partielle rupturer fra undersiden kan være vanskelig å diagnostisere ved MR. MR-artrografi vil vise kontrastutsiving inn i senen fra undersiden. Trange forhold for m. supraspinatus og sene lar seg lett diagnostisere ved en skrå sagittal sekvens. Da får man fremstilt den akromio-klavikulære buen på en ideell måte. Det skal bemerkes at det er andre årsaker til såkalt innklemmingssyndrom enn trange forhold, som for eksempel periartikulære ganglier (fig 11).

    Ved spørsmål om instabilitet eller residiverende luksasjoner, utføres en MR-artrografi. Man ser etter forandringer i labrum, fossa glenoidalis, kapsel med ligamenter og caput humeri. I tillegg til de vanlige projeksjonene utføres også en såkalt ABER (abduksjon ekstern rotasjon)-projeksjon (9) (fig 12). Pasienten ligger med armen rotert over hodet. Snittene legges parallelt med lengdeaksen av humerusdiafysen. De fremre strukturer blir dermed lagt i strekk og patologiske forhold blir synlige (fig 12).

    Det finnes flere typer labrumvarianter som kan fremstå som patologiske, f.eks. sublabralt hull og Buford-kompleks (8). MR-artrografi vil kunne identifisere disse. Det er viktig ikke å overdiagnostisere. Pasienten bør slippe en unødvendig artroskopi.

    MR bekken og hofter

    MR bekken og hofter

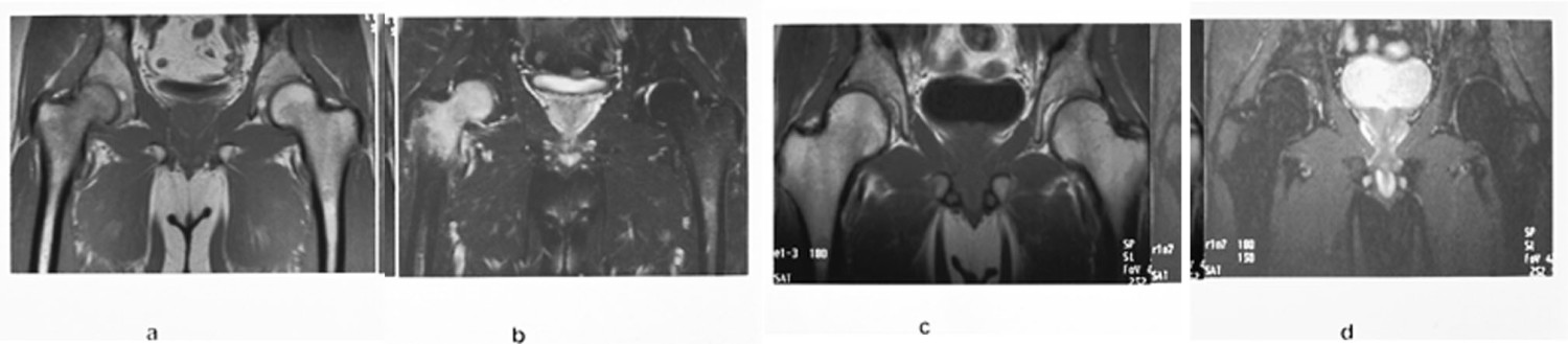
    MR-undersøkelse av bekken og hofter blir ofte utført hos pasienter med hoftesmerter hvor konvensjonell røntgen er negativ. MR kan tidlig påvise en osteonekrose og stadieinndele den (fig 13). En klinisk tilstand kjent som beinmargsødem i forbigående osteoporose gir intraktable smerter (10). Dette er en tilstand hvor det er lokalisert osteoporose i caput/collum femoris assosiert med økt væske mellom trabeklene. Røntgenbilder er som oftest normale, spesielt tidlig i forløpet. MR vil vise generelt nedsatt signal på T1-vektet sekvens og betydelig økt signal på STIR-sekvens (fig 14). Tilstanden sees oftest hos middelaldrende menn. Den vedvarer i opptil seks måneder. Årsaken er ukjent.

    Mistenkt collum femoris-fraktur er en hyppig årsak til sykehusinnleggelse. Pasientene er som oftest gamle og må få en rask og adekvat behandling. Konvensjonell røntgenundersøkelse kan være negativ eller vanskelig å bedømme. Tidligere utførte man planigrafi eller ventet noen dager for å ta nye bilder.

    Vi har utført en MR-studie hos 27 pasienter med klinisk mistanke om collum femoris-fraktur der det var normalt eller usikkert funn ved konvensjonell røntgenundersøkelse (11). Det ble utført en koronal T1-vektet og en T2-STIR-sekvens, som til sammen tok under ti minutter. Vi fant 13 pasienter med collum femoris-fraktur eller pertrokantær fraktur, tre med bekkenringfraktur, en med acetabularfraktur, tre med muskelkontusjoner, to med beinmargsødem, to med artrose og tre normale. Vi utfører nå MR hos alle pasienter innen et døgn hvis vi er i tvil angående den konvensjonelle røntgenundersøkelsen (fig 15).

    MR håndledd/håndrotsknokler

    MR håndledd/håndrotsknokler

    Ved konvensjonell røntgen kan det være vanskelig å diagnostisere fraktur i os scaphoid. Tidligere ble pasienter gipset og kontrollert etter 14 dager. Dette ble gjort for å forhindre en utvikling av proksimal nekrose. Ved mistenkt fraktur og negativ røntgen utfører vi nå MR-undersøkelse som øyeblikkelig hjelp, hvor vi ser på alle håndrotsknokler, distale radius og ulna og ikke minst de periartikulære ligamentene (fig 16). Rupturer av disse vil ofte forklare pasientens smerter når det ikke foreligger fraktur (12).

    MR er også nyttig ved spørsmål om skade av triangulærbrusk og avaskulære nekroser av håndrotsknokler i tidlig fase.

    MR av ankel/fot

    MR av ankel/fot

    MR er velegnet til å diagnostisere patologiske forhold i akillessenen (fig 17), intraartikulære og periartikulære ankelleddsstrukturer og sinus tarsi-syndrom. En stabil osteochondritis dissecans i os talus kan være ledsaget av margødem i tilslutning til osteokondrittsengen. Margødemet kan forklare smertene. Sinus tarsi-syndrom kan diagnostiseres hvis det er for lite eller for mye væske i sinus tarsi (13). Funnet kan forklare bakfotsmerter hvor man ellers ikke finner andre forklaringer. Stressfrakturer gir nedsatt signal på T1-vektet sekvens og økt signal på STIR-sekvens.

    MR ved muskelskader

    MR ved muskelskader

    Muskelsmerter etter idrettsutøvelse og skader er vanlig. Alvorlighetsgraden og betydningen av skaden kan være vanskelig å avgjøre ved en klinisk undersøkelse. MR er nå den primære bildedannende undersøkelsesmetode i utredningen av muskelskade for å klassifisere skadetype og grad av muskelskade (14). MR er meget sensitiv ved muskelødem og blødninger, både i den akutte fase og i oppfølging av pasienten. MR vil også kunne identifisere forskjellige sekveler til tidligere skader. Dette vil hjelpe klinikeren i behandlingsopplegget.

    Tverrstripet muskulatur viser en intermediær til lav signalintensitet på spinnekkoseriene. Patologisk muskulatur vil avvike fra dette. Signalforandringene vil avhenge av skadens art og tid fra skade til undersøkelse.

    Akutt muskelskade kan være forårsaket enten av direkte penetrerende kraft, som gir en laserasjon, eller av stump kraft, som gir kontusjon (fig 18). Det er sjelden pasienter med laserasjon kommer til MR i den akutte fase. Eventuell senkomplikasjon med fettdegenerasjon kan identifiseres som nedsatt muskelmasse og høysignal på T1-vektet sekvens. Ved muskelkontusjoner vil ofte T1-vektet sekvens være normal, mens STIR-sekvensen viser økt signal i muskelen.

    Muskelstrekk er forårsaket av en indirekte skade ved økt strekk og tensjon. Problemene går fra minimale kontusjonsliknende skader til muskelfiberavrivning. De alvorlige vil vise forandringer passende med avrivning spesielt på muskel-sene-overgangen.

    Lange og trettende muskeløvelser kan gi et klinisk bilde med muskelsmerte, udefinerbar sårhetsfølelse, hevelse og stive ledd i timer og dager etterpå. Dette er kjent som DOMS (delayed onset muscle soreness) i engelsk litteratur. Det kliniske bildet kan vare opptil en uke. MR-funnet likner forandringene man ser ved mild grad av muskelkontusjon og kan være positivt i flere måneder (fig 19). Ved gjentatte øvelser kan man se forandringer ved muskel-sene-overgangen, forenlig med såkalt kronisk muskeloverforbrukssyndrom.

    Hematomer kan være intra- og/eller intermuskulære. De vil vise seg på MR som hematomer ellers i kroppen.

    Konklusjon

    Konklusjon

    MR-undersøkelse ved skjelett- og bløtdelstraumer er til stor hjelp i den diagnostiske utredning (15). Undersøkelsen vil i mange tilfeller være med på å bestemme behandling og oppfølging av pasientene.

    Kommentarer  ( 0 )

    Anbefalte artikler