Magnetisk resonanstomografi innenfor onkologisk diagnostikk

    ()

    sporsmal_grey_rgb
    Abstract

    Magnetisk resonans (MR) er velegnet til onkologisk bildediagnostikk. Metoden er mer sensitiv og mer spesifikk enn noen annen metode til påvisning av metastaser og primære svulster i skjelettet. Ved primære maligne beinsvulster kan MR nøyaktig påvise øvre og nedre grense for tumor, metastaser innenfor samme margrom (skip-metastaser) og innvekst i ledd. Disse forhold har stor betydning for omfanget av kirurgiske inngrep.

    MR er den beste metoden til utredning av bløtvevssvulster fordi den i tillegg til å fremstille de anatomiske forhold også kan vise væske, nekrose, blødning, fett og annet bløtvev.

    MR er den mest sensitive metoden til å vise tumormanifestasjoner i sentralnervesystemet. Den supplerer spinalvæskeundersøkelse ved mistanke om tumorspredning til meninger. Pasienter med mistanke om medullakompresjon bør utredes med MR.

    Metoden er viktig i gynekologisk onkologi. Den kan her være kostnadsbesparende ved at den fører til redusert bruk av andre diagnostiske metoder og av kirugiske inngrep.

    Nye og hurtige teknikker gjør det nå mulig å undersøke hele kroppen på mindre enn 45 minutter. Vi forventer at bruken av MR ved maligne sykdommer vil øke betydelig i årene som kommer.

    Abstract

    MR is well suited for imaging in patients with malignant disease. It is the most sensitive and most specific method in the detection of skeletal metastases. It clearly demonstrates the extent of primary bone tumours and also reveals skip metastases and invasion into neighbouring joints, hence it is an important procedure when surgery of a bone tumour is planned.

    In case of a soft tissue tumour, MR is the preferrable imaging modality because it demonstrates the anatomy and reveals the different tissue constituents.

    MR is the best method to show tumour manifestations in the central nervous system, and it supplements cerebrospinal fluid examination in the detection of meningeal metastasis. MR is the method of choice if there is a cord compression.

    MR imaging is important in gynecologic oncology. Cost savings have been reported due to reduced use of other diagnostic tests and expensive surgical procedures.

    New and faster techniques allow examination of the total body in less than 45 minutes. We expect that MR imaging will be increasingly used in the future in patients with malignant disease.

    Artikkel

    Magnetisk resonans (MR) er godt egnet til bildediagnostikk innen onkologien. Metoden er nyttig ved lokal utredning av en del maligne eller potensielt maligne tilstander, ved metastaseutredning, vurdering av behandlingsrespons og vurdering av behandlingsrelaterte forandringer. Undersøkelsesspekteret ved de ulike institusjoner avspeiler institusjonenes pasientsammensetning.

    Hensikten med artikkelen er å belyse metodens potensial innenfor de undersøkelsene vi hyppigst utfører ved Det Norske Radiumhospital. MR ved primære svulster i sentralnervesystemet og ved patologiske prosesser i mamma, gastrointestinaltractus og urinveier omtales i andre artikler i temaserien og vil ikke bli tatt opp her.

    MR av skjelettmetastaser

    MR av skjelettmetastaser

    Metastaser er den hyppigste maligne tumorform i bein, 35 ganger hyppigere enn primære svulster (1).

    Skjelettets beinmarg består av en ossøs komponent og en ikke-ossøs komponent (2). Det beinete trabekelverk utgjør den ossøse komponenten, mens røde og hvite blodceller, blodplater, fettceller og retikulumceller utgjør den ikke-ossøse, eller bløtdelskomponenten. Hematopoesen foregår i denne ikke-ossøse komponenten.

    Ved fødselen er nesten all beinmarg hematopoetisk aktiv, med overvekt av røde og hvite blodceller og blodplater. Over tid erstattes de hematopoetisk aktive celler av hematopoetisk inaktive fettceller og retikulumceller. Dette svarer til en gradvis overgang fra rød marg til gul marg (fettmarg). Hos en frisk voksen person foreligger rød marg i kalvariet, sternum, ribber, columna, pelvis og proksimale deler av humerus og femur. Resten av ekstremitetene inneholder gul marg (2).

    De fleste ikke-traumatiske patologiske prosesser i bein affiserer beinmargens ikke-ossøse komponent. Skjelettmetastaser er også lokalisert til denne ikke-ossøse bløtdelskomponenten, spesielt til den røde, hematopoetisk aktive del.

    MR avbilder beinmargens bløtdelskomponent direkte. Dette er årsaken til at MR er meget sensitiv til påvisning av patologiske prosesser i bein, herunder metastaser og primære svulster.

    Ved MR fremstilles protontettheten ved hjelp av et sterkt magnetfelt og radiobølger. Signalstyrken er dessuten avhengig av tidskonstantene T1 og T2 for de ulike vev. Ved hjelp av denne metoden kan man fremstille bilder med T1- og T2-vekting. I T1-vektede bilder er signalforskjeller basert på forskjeller i T1 aksentuert, i T2-vektede bilder er signalforskjeller basert på forskjeller i T2 aksentuert. T1-vektede bilder fremstiller vann med lavt signal og fett med høyt signal. I T2-vektede bilder har vann høyt signal, mens fett har intermediært til høyt signal, avhengig av hvilken opptaksteknikk som er brukt. De fleste svulster (med unntak av dem som inneholder mye fett) viser lavt signal på T1-sekvensen. På T2-sekvensen vil de fleste svulster vise intermediært til høyt signal.

    Teknikker basert på elektrontetthet, som konvensjonell radiografi og CT, avbilder den ossøse, kalkholdige komponenten, altså ikke den komponenten tumor primært angriper. Ved disse teknikker er spesifisiteten høy, men sensitiviteten lav. For å kunne påvise en patologisk lesjon ved konvensjonell røntgenundersøkelse må 50 – 70 % av beinstrukturen være destruert (3).

    Skjelettscintigrafi avbilder osteoblastaktivitet svarende til den ossøse komponenten, altså ikke den komponenten tumor primært angriper. Skjelettscintigrafi gir en god oversikt over hele skjelettet. Metoden har høy sensitivitet, men lav spesifisitet.

    Figur 1 illustrerer det potensialet MR har til å påvise skjelettmetastaser. Protontetthetsbildet viser metastaser klart tydeligere enn det elektrontetthetsbaserte konvensjonelle røntgenbildet. Det T1-vektede bildet viser multiple metastaser med lavt signal, det T2-vektede bildet fremstiller metastasene med høyt signal. STIR (short inversion time inversion recovery)-bildet fremstiller også metastasene med høyt signal. På denne sekvensen summeres effekten av en lang T1 og en lang T2 (typisk for tumor), samtidig med at signalet fra fett er undertrykt. Dette gir sekvensen meget høy sensitivitet.

    Til tross for at MR er den modalitet som er mest sensitiv og mest spesifikk med henblikk på patologiske tilstander i skjelettets beinmarg, har metoden hittil vært lite benyttet til påvisning av skjelettmetastaser hos asymptomatiske pasienter. Dette skyldes at fremstilling av hele skjelettet har vært omstendelig og tidkrevende. Imidlertid gjør nye og meget hurtige MR-teknikker det nå mulig å undersøke hele kroppen på mindre enn 45 minutter (4, 5). Disse teknikkene har høyere sensitivitet enn kombinasjonen scintigrafi og CT.

    Kreftpasienter med smerter og lokalsymptomer bør undersøkes med konvensjonell røntgenundersøkelse. Dersom denne undersøkelsen er usikker eller negativ, bør den suppleres med MR.

    Ved truende og manifeste tverrsnittslesjoner hos kreftpasienter vil årsaken oftest være skjelettmetastaser med omgivende intraspinal, ekstradural bløtdelstumor som komprimerer medulla. Minst 20 % av pasientene vil ha medullakompresjon på mer enn ett sted (6). Hele columna bør undersøkes. MR viser både metastasene og medullakompresjonen, og MR-undersøkelse er den beste metoden til å utrede disse pasientene. Sagittale T1-sekvenser og STIR- eller T2-sekvenser gir god oversikt over medulla (fig 2), og kan eventuelt suppleres med aksiale snitt svarende til medullakompresjonen. I en artikkel i Tidsskriftet har Brenne og medarbeidere gitt en utførlig omtale av medullakompresjon ved metastatisk kreftsykdom (7). Vi slutter oss til det syn at utredningen bør skje raskt, ved hjelp av MR. Det er viktig å være oppmerksom på at de aller fleste pasienter med medullakompresjon har hatt utstrålende radikulære smerter i nivå for kompresjonen i forkant av de nevrologiske utfall.

    Dersom man ikke kan påvise noen medullakompresjon som årsak til de nevrologiske utfall, må undersøkelsen suppleres med intravenøs kontrast (gadolinium). Postkontrastseriene vil i slike tilfeller oftest avsløre tumorutsæd i meninger eller tumor i medulla (fig 3).

    Radikulære smerter og utfall kan også være tegn på plexusskade som kan være forårsaket av tumormanifestasjoner og postirradiære eller postoperative forandringer. MR er godt egnet til utredning av disse tilstandene.

    MR av postirradiære forandringer i skjelettet

    MR av postirradiære forandringer i skjelettet

    Strålebehandling destruerer cellene i den hematopoetisk aktive del av beinmargen. Som følge av dette overtar margens fettceller og gir margen høyt signal på T1-vektede bilder.

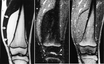
    Strålebehandling svekker også beinsubstansen og disponerer for frakturer. Stråleinduserte insuffisiensfrakturer er hyppigst i bekkenet og hyppigst hos kvinner. MR viser tydelig ødemet som ledsager disse frakturene. Ødemet har lavt signal på T1-sekvensen og høyt signal på STIR-sekvensen (fig 4), altså signalforhold som likner på metastaser. Metastaser til strålebehandlet beinmarg er imidlertid meget sjeldent. Det er viktig at ødemet ikke feiltolkes som metastase, idet slik feiltolkning kan føre til tilleggsbestråling med ytterligere skade av beinet til følge. I en prospektiv serie av 18 kvinner som ble fulgt gjennom 30 måneder etter strålebehandling for cancer cervicis uteri ble det påvist ødemforandringer som uttrykk for frakturer hos 16. Ti av disse 16 pasientene hadde smerter (8).

    MR av primære bein- og bløtvevssvulster

    MR av primære bein- og bløtvevssvulster

    I tillegg til å fremstille patologiske prosesser i beinmargen har MR også stor bløtvevskontrast og gir fritt valg av snittplan. Disse forhold gjør at metoden er godt egnet til diagnostikk, utredning og oppfølging av svulster i muskel- og skjelettsystemet.

    Generelt om beinsvulster

    Primære maligne beinsvulster

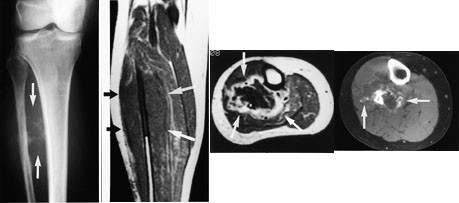
    Ved osteogent sarkom og Ewings sarkom kan MR med snittplan i knokkelens lengdeakse nøyaktig fastslå øvre og nedre grense for tumorutbredelse i beinmargen (fig 5), påvise metastaser innenfor samme margrom og innvekst i ledd. Dette er forhold som har stor betydning for omfanget av kirurgiske inngrep. Som regel har tumor på diagnosetidspunktet brutt gjennom knokkelen og gitt opphav til en ekstraossøs komponent. Med snittplan perpendikulært på knokkelen kan MR vise om tumor affiserer kar og nerver, og hvilke muskler den ligger an mot eller infiltrerer. MR kan styre biopsitakingen til de områder av tumor hvor det er størst sannsynlighet for å finne representativt vev.

    Bløtvevssvulster

    Konvensjonelle røntgenbilder er første trinn i utredningen av mistenkte bløtvevssvulster (12). De viser underliggende skjelettdeformitet, beinaffeksjon og bløtvevsforkalkninger. Forkalkninger kan ikke påvises med MR. MR er allikevel den beste metoden, fordi den i tillegg til å vise de anatomiske forhold også fremstiller væske, nekrose, blødning, fett og annet bløtvev (fig 6 – 8). Basert på vekstmønster og signalforhold kan vevsspesifikk diagnose stilles i 20 – 40 % av tilfellene. Det er oftest ikke mulig å angi om en bløtvevstumor er benign eller malign. Nekrose er den enkeltfaktor som sterkest peker i retning av malignitet. Andre faresignaler er stor tumor, uskarp avgrensning med omgivende ødem, heterogent signal og beinaffeksjon. Men høymaligne bløtvevssvulster kan være velavgrenset med en pseudokapsel.

    MR ved tumormanifestasjoner i sentralnervesystemet

    MR ved tumormanifestasjoner i sentralnervesystemet

    MR er den mest sensitive metoden til påvisning av primære svulster og metastaser i hjerneparenkym og meninger. Intravenøs kontrast skal anvendes rutinemessig. Metastaser utgjør tilnærmet en tredel av alle svulster i sentralnervesystemet (1).

    Som følge av at mer effektiv behandling har ført til forlenget overlevelse og endret forløp av mange kreftsykdommer, er tumorspredning til meninger vesentlig hyppigere nå enn tidligere. Intratekal kjemoterapi og/eller bestråling kan gi rask symptomlindring og forlenget overlevelse. Rask diagnose er derfor viktig.

    Meningeal karsinomatose påvises ved patologisk signaløkning etter intravenøs kontrastinjeksjon. De viktigste MR-funn er patologisk kontrastoppladning med duralt-araknoidalt preg, patologisk kontrastoppladning med pialt-subaraknoidalt (leptomeningealt) preg og patologisk kontrastoppladning subependymalt eller hydrocephalus (13).

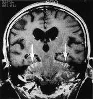
    Durale metastaser fremtrer som kurvilineære streker med patologisk signaløkning etter kontrast. Disse strekene skal følge skalletakets innside og ikke gå inn i sulci på hjernens overflate (fig 9). Signaløkningen kan være segmental eller følge skalletaket i hele omkretsen. Segmental signaløkning skal være til stede på flere nærliggende snitt. Atskillelsen mot den lette fysiologiske kontrastoppladning i dura kan være vanskelig. Durale metastaser kan også ha et fokalt preg.

    Leptomeningeal tumor fremtrer som tynne streker med kontrastoppladning som følger gyri dypt inn i sulci (fig 10), eventuelt som små knuter på hjernens overflate eller et tynt lag med patologisk kontrast utenpå hjernestamme eller hjernenerver. Ettersom arachnoidea ligger tett inntil det indre laget av dura, kan dural-araknoidal tumor ikke med sikkerhet skilles fra pial-subaraknoidal tumor. Påvisning av en dural-araknoidal patologisk signaløkning utelukker dermed ikke samtidig forekomst av tumor i pia eller subaraknoidalrom.

    Hydrocephalus kan være uttrykk for at resorpsjonen av cerebrospinalvæske på overflaten er redusert som følge av diffus tumorutsæd i pia (fig 10).

    Spinalpunksjon med påvisning av maligne celler i cerebrospinalvæsken bekrefter diagnosen meningeal tumor. Undersøkelsen er imidlertid ofte falskt negativ, spesielt ved lokalisert tumor og tumor begrenset til dura. MR er en rask og ikke-invasiv undersøkelse og supplerer spinalvæskeundersøkelse ved spørsmål om tumorspredning til meninger. Ved klare kliniske funn og klare MR-funn er spinalvæskeundersøkelse ikke nødvendig.

    MR i gynekologisk onkologi

    MR i gynekologisk onkologi

    T2-vektede bilder fremstiller tre soner i corpus uteri (fig 11). Den indre sonen (endometriet) har meget høyt signal, mens den ytre sonen (myometriet) har middels høyt signal. Overgangssonen mellom disse fremtrer som et bånd med lavt signal. Den representerer den innerste delen av myometriet, der cellene ligger tett sammenpakket med sparsom ekstracellulær matriks (14). Utseendet til corpus uteri varierer med fasen i menstruasjonssyklus og med andre hormonelle stimuli.

    Cancer cervicis uteri

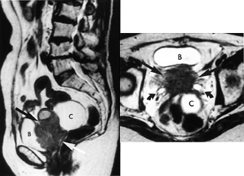
    Tumor fremstilles tydelig på T2-vektede bilder (fig 12). Størrelsen er den viktigste faktor for prognosen, og MR gir god informasjon om denne (15). MR kan dertil påvise infiltrasjon til parametrier, bekkenvegg, blære og rectum samt affeksjon av urinledere. Siden den kliniske stadieinndelingen er usikker, har MR stor betydning i primærutredningen, spesielt ved store svulster.

    Cancer corporis uteri

    Økonomiske betraktninger

    Økonomiske betraktninger

    Til tross for at en MR-undersøkelse er forholdsvis kostbar, er den langt billigere enn mange kirurgiske inngrep. MR vil derfor kunne være kostnadsbesparende dersom det fører til redusert bruk av andre diagnostiske metoder og av operative inngrep. Studier fra USA har vist utgiftsreduksjoner både når det gjelder diagnostisk utredning av pasienter med invasiv cervixcancer (16) og når det gjelder totale kostnader til diagnostikk og behandling ved ulike gynekologiske tilstander (17).

    Sammenliknet med andre metoder vil MR svært ofte gi bedre oversikt over tumorutbredelsen. Fornuftig bruk vil føre til en riktigere og mer hensiktsmessig behandling av kreftpasienter. God diagnostikk kan forebygge og utsette invalidisering. Et eksempel på dette er truende tverrsnittslesjon. Dersom MR her etterfølges av rask strålebehandling, kan lammelser i beina og blære- og rectumparese unngås eller forebygges. Dette vil gi økonomiske gevinster ved at utgifter til pleie reduseres.

    Kommentarer  ( 0 )

    Anbefalte artikler