Magnetisk resonanstomografi av hjertet

    ()

    sporsmal_grey_rgb
    Abstract

    Magnetisk resonanstomografi (MR) er en lite brukt undersøkelse ved hjertesykdom bl.a. på grunn av lett tilgjengelige alternative metoder som ekkokardiografi. Ved mange hjertesykdommer kan imidlertid MR være et verdifullt supplement til både invasive og ikke-invasive diagnostiske metoder. MR kan gi presis anatomisk informasjon og måle viktige funksjonelle parametere ved de fleste medfødte hjertesykdommer og ved tilstander som akutt og kronisk iskemisk myokardsykdom, klaffefeil, kardiomyopatier, høyre ventrikkel-dysplasi, perikardsykdom og kardiale tumorer. MR-teknikken er under rivende utvikling og har potensial til å kunne gi en komplett evaluering av hjertets anatomi og funksjon.

    Abstract

    Magnetic resonance imaging is a rarely performed procedure in cardiac disease, mainly due to easily available alternative techniques, especially echocardiography. MR imaging may, however, provide unique anatomical and functional information and represents a valuable supplement to the alternative invasive and non-invasive modalities. Clinical indications for MR imaging of the heart include congenital heart disease, acute and chronic ischaemic heart disease, valvular heart disease, cardiomyopathy, right ventricular dysplasia, pericardial disease, and cardiac tumours. In the near future, MR imaging may provide a complete ”one-stop” evaluation of cardiac disease.

    Artikkel

    Hjertesykdom er en relativt sjelden indikasjon for MR-undersøkelse, i hvert fall når man sammenlikner med det antall MR-undersøkelser som gjøres ved sykdommer i sentralnervesystemet og muskel- og skjelettsystemet. Det er flere grunner til dette. En viktig grunn er undersøkelsens relative nytteverdi. Ved sykdommer i de sistnevnte organsystemene er det ofte slik at bare MR kan gi en nøyaktig diagnose. Det eksisterer ingen adekvate alternative bildediagnostiske metoder. For vurdering av hjertets anatomi og funksjon finnes mange gode alternative metoder, ikke minst flere ultralydteknikker som transtorakal og transøsofageal ekkokardiografi med fargedoppler og spektraldoppler, nukleærmedisinske metoder og hjertekateterisering med angiografi. På grunn av hjertets kontraksjoner og respirasjonsbevegelser har det også vært et problem å oppnå samme bildekvalitet ved MR-undersøkelse av hjertet som ved MR-undersøkelse av mer stillestående organer. Ikke minst har man fortsatt til gode å få en god nok fremstilling av koronararteriene. Til tross for visse begrensninger kan MR like fullt gi unik anatomisk og funksjonell informasjon om hjertet og bidra med viktig diagnostikk ved flere typer hjertesykdom. Denne artikkelen gir en kort oversikt over de MR-teknikkene man har til rådighet ved undersøkelse av hjertet, og dessuten en omtale av de viktigste indikasjonene.

    MR-teknikker

    MR-teknikker

    Anatomiske snittbilder

    Anatomiske snittbilder

    Artefakter pga. respirasjonsbevegelse kan av og til være et problem ved MR-avbildning av hjertet. Det finnes imidlertid flere teknikker for å redusere disse (3), og det er dessuten mulig å gjøre hele bildeopptaket så raskt (15 – 20 sekunder) at pasienten kan holde pusten (3). Dette eliminerer naturlig nok denne type bildeartefakter fullstendig, men ulempen er at man bare får ett anatomisk snitt per hold pusten-periode.

    det stor variasjon av R-R-intervallets lengde i løpet av opptakstiden, vil bildekvaliteten bli redusert.

    Fremstilling av hjertets pumpefunksjon

    Fremstilling av hjertets pumpefunksjon

    Ved fremstilling av hjertets kontraksjoner, velges ofte ett snitt om gangen, og dette legges gjerne etter hjertets egne akser (f.eks. tokammer, firekammer eller kortaksesnitt av venstre ventrikkel). For å oppnå høy tidsoppløsning brukes gradientekkoteknikker (3). Også her benyttes EKG-trigging, men da på en slik måte at signalene fra samme anatomiske snitt registreres flere ganger per hjertesyklus. Det første signalet registreres like etter R-takken (dvs. på tidspunktet for endediastolen), mens de neste signalene registreres med faste tidsintervaller (minimum 20 – 25 ms) frem mot neste R-takk. Hele bildeopptak kan også her ta ca. 4 – 6 minutter. Når opptaket er over, benyttes alle førstesignalene til å lage ett bilde, alle andresignalene til å lage neste bilde, osv. Sluttresultatet er kanskje 15 – 20 bilder av samme anatomiske snitt, alle fra hvert sitt tidspunkt i hjertesyklus. Når disse bildene vises fortløpende om og om igjen i en sløyfe, gir de et visuelt inntrykk av bevegelse. Denne kinoliknende fremstillingen kalles cine-MR. Selv om tidsoppløsningen for disse opptakene kan være i størrelsesorden 20 – 25 ms, må man huske at dette ikke er sanntidsopptak. Bildene viser et gjennomsnitt av begivenhetene i en 4 – 6 minutters periode. Også cineopptak kan imidlertid utføres mens pasienten holder pusten, dvs. i løpet av ca. 15 – 20 sekunder. Det man her renonserer litt på, er den maksimale tidsoppløsningen (ca. 45 – 55 ms mot 20 – 25 ms med den konvensjonelle teknikken).

    Cine-MR med gradientekkoteknikk gir relativt dårlig kontrast mellom de ulike bløtdelene, men god kontrast mellom sirkulerende blod og omgivende stasjonært vev. Normalt sirkulerende blod blir lysegrått eller hvitt, mens de fleste stasjonære vev har ulike mellomgråtoner (fig 2). I områder med turbulent blodstrøm forsvinner imidlertid signalstyrken i blodet. En jet av blodstrøm gjennom en stenotisk klaff eller en septumdefekt, eller en regurgitasjon gjennom en insuffisient hjerteklaff, vil derfor sees som en svart dusj i det ellers hvite blodet (fig 3). Basert på cineopptakene kan man beregne parametere som endediastolisk og endesystolisk ventrikkelvolum, ejeksjonsfraksjon og muskelmasse. Selve cinefremvisningen gir også detaljert informasjon om regional myokardkontraksjon, så som hypokinesi, akinesi og paradoks (invers) bevegelighet.

    Måling av blodstrømshastighet – fasekontrast-MR

    Måling av blodstrømshastighet – fasekontrast-MR

    I vanlige MR-bilder, inkludert anatomiske snittbilder og funksjonelle cineopptak, er gråtonene bestemt av de induserte strømsignalenes styrke. Disse signalene består som alle strømsignaler av en viss styrke, frekvens og fase. Man kan imidlertid også rekonstruere bildene på en slik måte at gråtonene, eller kontrasten i bildet, er bestemt av signalenes fase. Denne teknikken kalles derfor fasekontrast-MR. Her gjøres opptakene slik at alt stasjonært vev får én fase (fasevinkel lik null), mens blod som beveger seg, får en avvikende fasevinkel bestemt av blodstrømmens hastighet og retning (3). I disse bildene får alt stasjonært vev en middels gråtone, mens blodstrøm i én retning får gråtoner som med økende blodstrømshastighet går fra middels grått mot hvitt (fig 4). Maksimal hvithet tilsvarer en fasevinkel på +180˚. Blodstrøm i motsatt retning får gråtoner som med økende blodstrømshastighet går mot svart. Helt svart tilsvarer en fasevinkel på − 180˚. Gir de høyeste hastighetene en fasevinkel på mer enn 180˚, oppstår et salt-og-pepper-mønster med avvekslende svarte og hvite piksler. Dette er helt analogt til den ”aliasing” som sees med fargedoppler ved for høye hastigheter. Man må derfor på forhånd velge en opptaksteknikk tilpasset de forventede maksimale blodstrømshastighetene.

    Fasekontrast-MR av hjertet gjøres med EKG-trigget cineteknikk. Også her er maksimal tidsoppløsning ca. 20 – 25 ms. Man kan derved generere kurver som viser hvordan hastigheten i et område varierer i løpet av hjertesyklus. Lar man dette området omfatte tverrsnittet av en hel blodåre, får man fremstilt hvordan gjennomsnittshastigheten i blodåren varierer med tiden (fig 4). Multipliseres dette med blodårens tverrsnittsareal, kan man også måle volum blodstrøm, f.eks. minuttvolumet. En forutsetning for å måle sann blodstrømshastighet er at snittplanet legges vinkelrett på blodstrømmens retning. Måling av maksimal blodstrømshastighet i jeten over en stenotisk klaff kan benyttes til å beregne trykkgradienten i stenosen (3), helt analogt til bruk av doppler. Måling av blodstrømshastighet med MR er særlig aktuelt i kar som er utilgjengelige med doppler pga. overliggende luft eller bein. Metoden kan således benyttes til å måle hastigheter (og ev. gradienter) i pulmonalarterier, kirurgiske shunter, bypasser og koronararterier.

    Måling av perfusjon

    Måling av perfusjon

    Den beste modaliteten for måling og billedlig fremstilling av myokardperfusjon er fortsatt nukleærmedisin. MR kan gi en semikvantitativ fremstilling av myokardperfusjon ved å avbilde hjertet i løpet av første gangs passasje av et intravenøst injisert kontrastmiddel (3). Regionale endringer i signalstyrke vil avspeile regional perfusjon. Dette krever svært raske bildeopptak, minst ett bilde per hjerteslag. Så raske teknikker finnes (3), men disse tillater avbildning bare av ett eller noen få snitt samtidig. Med dagens teknikker er det derfor umulig å undersøke hele myokard på denne måten.

    MR-angiografi

    MR-angiografi

    MR kan benyttes til å lage ikke bare snittbilder, men også angiografiliknende projeksjonsbilder av tredimensjonale karstrukturer, såkalt MR-angiografi (MRA) (4). MR-angiografi av koronararteriene har lenge vært en stor utfordring, og foreløpig har man bare lyktes med en brukbar fremstilling av de proksimale hovedgrenene (5). Metoden vil muligens kunne benyttes til å utelukke signifikante sentrale stenoser, men vil ikke i overskuelig fremtid kunne erstatte den invasive angiografien. Den nyeste MR-angiografiteknikken, kontrastforsterket MR-angiografi, gir imidlertid god fremstilling av hjertets store arterier, aorta og pulmonalarteriene (6).

    MR-spektroskopi

    MR-spektroskopi

    Magnettomografer med en magnetfeltstyrke på minst 1,5 tesla gir også mulighet for in vivo MR-spektroskopi (MRS). Metoden baserer seg i korthet på at atomkjerner av samme type har en egenfrekvens som varierer litt med kjernens atomære naboskap. En atomkjernes egenfrekvens er således avhengig av hvilket molekyl kjernen er en del av og hvor i dette molekylet kjernen er lokalisert. Ulike kjernetyper har mye større frekvensforskjeller, og mottakerspolen kan bare stilles inn på frekvensområdet til én kjernetype av gangen. Flere kjerner kan være aktuelle, bl.a. hydrogen og fosfor (31P). Ved å analysere frekvensspektret til det signalet som induseres av én bestemt kjernetype, kan man påvise tilstedeværelse og konsentrasjon av flere ulike forbindelser. Fosfor-MRS kan fremstille f.eks. de relative konsentrasjoner av ATP, ADP og anorganisk fosfat. Hydrogen-MRS kan f.eks. vise den relative konsentrasjonen av laktat, som er av interesse ved iskemi.

    MRS av hjertet har vist seg teknisk vanskelig, og funnene har vært lite spesifikke for ulike hjertesykdommer (7). Metoden har derfor ikke fått noe gjennombrudd i den kliniske hverdag.

    Indikasjoner

    Indikasjoner

    Medfødt hjertesykdom

    Medfødt hjertesykdom

    MR har potensial til å spille en viktig rolle i utredningen av de fleste medfødte hjertesykdommer (3, 8), men undersøkelsens betydning er langt på vei bestemt av i hvilken grad man lykkes med ekkokardiografi, som alltid vil være førstevalg blant de bildediagnostiske metodene. En generell ulempe ved MR-undersøkelse av små barn (som ikke kan ligge stille) er behovet for sedering eller anestesi. MR har sin styrke først og fremst i oversiktlig fremstilling av komplisert anatomi, ikke minst relasjonen mellom de store kar og hjertets ulike avsnitt. Metoden er derfor særlig til nytte ved de mer komplekse medfødte feil (fig 5). MR kan også gi verdifull funksjonell informasjon så som ventrikkelvolum og myokardmasse, ejeksjonsfraksjon, klaffefunksjon, minuttvolum, evaluering av shunting og beregning av gradienter. Vurdering av høyre ventrikkels funksjon er ofte et problem ved medfødte hjertefeil, og MR har her et betydelig potensial. Ved kontroll av postoperative forhold, spesielt hos ungdom og voksne, vil MR ofte være den foretrukne metode (3, 8). Ved mer enkle feil som coarctatio aortae bør MR helt kunne erstatte invasiv angiografi med trykkmåling. I tillegg til en nøyaktig fremstilling av anatomien, kan MR også benyttes til å beregne trykkgradienten i en koarktasjon og graden av shunting forbi koarktasjonen.

    Iskemisk hjertesykdom

    Iskemisk hjertesykdom

    MR kan gi verdifull informasjon ved tilstander som reversibel og kronisk iskemi, akutte og kroniske infarkter. Ved reversibel iskemi viser myokard normale kontraksjoner i hviletilstand, men regionale områder med redusert kontraktilitet kan fremprovoseres av dobutamin (et syntetisk katekolamin). Stoffet har til dette formål vært mest benyttet sammen med ekkokardiografi (såkalt stressekkokardiografi) og isotopundersøkelser, men er også blitt brukt sammen med cine-MR. Man har funnet en høy korrelasjon mellom dobutaminindusert regional hypokinesi ved cine-MR og stressinduserte perfusjonsdefekter ved thalliumscintigrafi (9).

    Ved kronisk iskemi vil MR kunne være til hjelp ved å skille mellom de to viktigste årsakene til regional hypokinesi eller akinesi, nemlig hibernerende myokard og arrvev. Hibernering er en myokardiell dysfunksjon som skyldes kronisk iskemi (10). I motsetning til arrvev kan hibernerende myokard gjenvinne sin kontraksjonsevne ved revaskularisering. Det har ingen hensikt å revaskularisere arrvev, og ved påvisning av regional akinesi er det derfor viktig å skille mellom arrvev og hibernerende myokard før en ev. bypassoperasjon eller PTCA (ballongdilatasjon). En slik differensiering kan gjøres ved bruk av lavdose dobutamin som kan bedre kontraksjonen i hibernerende myokard. Effekten av dobutamin kan påvises ved hjelp av ekkokardiografi eller cine-MR (11, 12), men også vanlig cine-MR uten bruk av medikamenter kan være av verdi. Selv om MR ikke kan påvise direkte om myokardcellene er levende eller ei, har MR-studier vist at akinetiske veggområder med tykkelse på mindre enn 5 – 6 mm ikke bedrer sin funksjon etter revaskularisering (13, 14). Selve veggtykkelsen målt med MR kan derfor også gi verdifull informasjon med hensyn til nytten av revaskularisering. MR er en langt bedre metode enn ekkokardiografi til å fremstille den nøyaktige veggtykkelsen i både venstre og høyre ventrikkel.

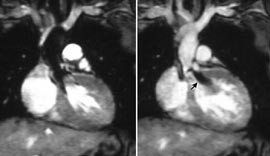
    MR kan vise den regionale utbredningen av akutte infarkter (15, 16), men har nok større betydning i diagnostikken av komplikasjoner til akutte infarkter, så som aneurismer, pseudoaneurismer og intraventrikulære tromber (fig 6). Gamle infarkter sees som regionale akinetiske områder med permanent fortynnet vegg (<5 mm), uten respons på lavdose dobutamin. Perfusjonstudier vil vise redusert perfusjon, men graden av nedsatt perfusjon kan ikke brukes til å skille mellom hibernerende myokard og arrvev.

    Klaffefeil

    Klaffefeil

    Klaffefeil alene er sjelden indikasjon for MR-undersøkelse. Cine-MR kan fremstille klaffebevegelse og påvise insuffisiens og stenose (fig 3). Insuffisiensgraden kan semikvantifiseres, men estimering av regurgitasjonsfraksjon og stenosegrad (trykkgradient) krever fasekontrastteknikk. Ved tvil om hvorvidt det foreligger en valvulær eller subvalvulær stenose, kan MR være til hjelp ved å vise hvor den stenotiske jeten oppstår. Sekundære forandringer som ventrikkulær hypertrofi eller dilatasjon kan påvises. Perivalvulære abscesser kan også visualiseres.

    Kardiomyopatier

    Kardiomyopatier

    MR kan bidra til å skille mellom idiopatisk dilatert kardiomyopati og ventrikkeldilatasjon pga. kronisk iskemi. Ved førstnevnte tilstand er venstre ventrikkels veggtykkelse vanligvis jevn og normal, men ved dilatasjon pga. kronisk iskemi finner man som regel områder med ekstremt fortynnet vegg etter tidligere infarkter. Hypertrofisk kardiomyopati er vanligvis en ekkokardiografisk diagnose, men MR vil bedre kunne vise den nøyaktige utbredelse av veggfortykkelsen (17) (fig 7). Muskelmassen i høyre og venstre ventrikkel kan beregnes, og cine-MR vil kunne gradere en eventuell mitralinsuffisiens (som er hyppig assosiert med denne tilstanden) og dessuten kunne påvise en unormal diastolisk fylling av høyre ventrikkel (18). Ved restriktiv kardiomyopati vil MRs viktigste bidrag være å utelukke konstriktiv perikarditt; ved førstnevnte tilstand er perikard normal, ved sistnevnte fortykket (minst 4 mm).

    Høyre ventrikkel-dysplasi

    Høyre ventrikkel-dysplasi

    Ved høyre ventrikkel-dysplasi – en arvelig sykdom som kan gi alvorlige rytmeforstyrrelser – sees varierende grader av fettinfiltrasjon i myokard. Spesielt utsatt er høyre ventrikkels frie vegg (fig 8). T1-vektede bilder viser tydelig forskjell på fettvev (hvitt) og myokard (mellomgrått) og er den bildediagnostiske metoden som er best egnet til å vise fettinfiltrasjonen (19). Tilstanden kan også ytre seg som regional eller generell fortynning av høyre ventrikkels frie vegg. De patologiske områdene er ofte hypokinetiske, hvilket kan fremstilles med cine-MR.

    Perikardsykdom

    Perikardsykdom

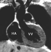
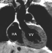
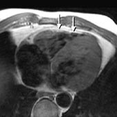
    T1-vektede MR-bilder viser det normale perikard som en mørk stripe mellom to lyse vev, det epikardiale fettvev og det perikardiale fettvev (fig 8, 9). Fortykkelse av perikard ( ≥ 4 mm) kan av og til sees ved akutt perikarditt, men er mer vanlig ved kronisk perikarditt. MR er en sensitiv metode til å påvise konstriktiv perikarditt (20). I tillegg til perikardfortykkelsen, sees dilatasjon av høyre atrium, v. cava inferior og levervenene og normalt stor eller liten høyre ventrikkel. MR er imidlertid en dårlig metode til å påvise forkalkninger i perikard. Perikardvæske har et varierende utseende ved MR avhengig av innhold av protein og andre makromolekyler. Stormolekylære stoffer forkorter væskens T1 og forårsaker økt signalstyrke på T1-vektede bilder. Eksudatet i perikard ved den sterkt inflammatoriske uremiske perikarditt gir således et moderat kraftig signal på T1-vektede bilder, mens det perikardiale transsudat som sees ved f.eks. hjertesvikt, har nesten manglende signal på T1-vektede bilder (fig 7). Hemoperikardium har et karakteristisk utseende med en intens signalstyrke på T1-vektede bilder.

    Kardiale tumorer

    Kardiale tumorer

    MR er generelt den beste teknikken til påvisning av tumorer i eller omkring hjertet (fig 9). Ingen annen metode kan som MR fremstille en tumors utbredelse og ev. infiltrasjon i hjertet og de store kar. God bildekvalitet forutsetter imidlertid en jevn hjerterytme. Spesielt små intraluminale tumorer (f.eks. myksomer) kan være vanskelige å påvise dersom bildekvaliteten reduseres av ujevn rytme. Da kan ekkokardiografi være et bedre alternativ. Enkelte ekspansive prosesser kan ved MR ha en karakteristisk signalstyrke, f.eks. lipomer og hematomer. Man kan som regel skille mellom cystiske og solide tumorer, men de fleste solide tumorer har ved MR et uspesifikt utseende.

    Fremtidsutsikter

    Fremtidsutsikter

    MR-undersøkelse av hjertet kan i dag gi unik anatomisk informasjon og mulighet for måling av en lang rekke funksjonelle parametere. Det som mangler for at MR skal kunne gi en komplett vurdering av hjertets anatomi og funksjon, er først og fremst en adekvat fremstilling av koronararteriene, måling av perfusjon i hele hjertet og sanntidsopptak med tilstrekkelig god bildekvalitet. MR-teknikken er imidlertid under rivende utvikling, og man skal ikke se bort fra at de nevnte mangler kan avhjelpes innen få år. Pris og tilgjengelighet tilsier at ekkokardiografi vil fortsette å være den primære bildediagnostiske metoden, men MR vil i økende grad kunne erstatte invasive metoder ved behov for ytterligere diagnostikk.

    Kommentarer  ( 0 )

    Anbefalte artikler