Koanalatresi – erfaring med tidlig operasjon

    ()

    sporsmal_grey_rgb
    Abstract

    Før 1982 ble pasienter med koanalatresi operert med transpalatinal tilgang. Operasjonen ble utsatt til etter sju års alder da den skader den harde gane og hindrer transversell vekst. Vi har senere ønsket å operere pasientene så snart symptomene tilsa det. 32 er operert med transnasal tilgang.

    Av 14 pasienter med bilateral koanalatresi ble ni operert i de to første levemåneder. Ni pasienter ble operert hvor man samtidig med åpning av atresien også tok ned bakre del av neseseptum. Fire av dem har vært symptomfrie i over et år, to symptomfrie med kortere observasjonstid, mens tre er reoperert.

    Av 18 pasienter med ensidig koanalatresi ble 11 operert før sju års alder. Sju av dem er symptomfrie. Seks av de sju som ble operert etter sju års alder, er symptomfrie.

    Vi mener at dette er tilstrekkelig gode resultater til at vi vil fortsette å operere med transnasal tilgang så snart symptomene tilsier det, uavhengig av alder.

    Artikkel

    Koanalatresi er en medfødt utviklingsanomali med manglende åpning mellom nese og øvre svelgrom. Den manifesterer seg med respirasjonsbesvær og nesesekresjon. Dobbeltsidig koanalatresi gir akutte livstruende symptomer, mens ensidige kan gå upåaktet hen. En god oversikt over historikk, diagnose, symptomer og behandling er utarbeidet av Pirsig (1).

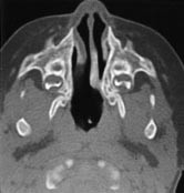
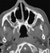
    Diagnosen koanalatresi stilles gjerne ved sondering og bekreftes ved CT-bilder. Tette snitt i området nese-epipharynx gir god anatomisk kartlegging og avklarer også om andre lokale skjelettdeformiteter er til stede. Figur 1 viser anatomien ved ensidig koanalatresi. Figur 2 viser et CT-bilde ved dobbeltsidig koanalatresi.

    Dobbeltsidig koanalatresi behandles primært med hurtig innsettelse av svelgtube. Pasientene kan klare seg med en plastret svelgtube og ernæres med ventrikkelsonde. Dermed kan operasjon utsettes til et senere tidspunkt. Fra 1982 har vi bestrebet oss på å operere nyfødte med dobbeltsidig koanalatresi tidlig for å etablere nasal respirasjon, slik at ernæringen kan gå lettere ved amming eller flaskemating. Den operative tilgang i tidlig spedbarnsalder skjer enklest transnasalt. Freng (2) viste at transpalatinal operasjon med ekstirpasjon av midtlinjesuturen i overkjeven førte med seg kryssbitt og redusert transversell vekst av maksillen. Man venter med å operere ensidig koanalatresi til etter sju års alder pga. vekstforstyrrelser i overkjeven. Transnasal tilgang har vi senere også benyttet ved ensidig koanalatresi, slik at man kan få kontroll med symptomene uten fare for vekstforstyrrelser. Vi har gått gjennom våre operasjonsprosedyrer og resultater for å vurdere om vi bør fortsette med tidlige transnasale operasjoner.

    Materiale

    Materiale

    I tidsrommet 1982 – 99 har vi operert primært eller sekundært 33 pasienter med koanalatresi, ni gutter og 24 piker. 19 av tilfellene var ensidige og 14 dobbeltsidige. Andre misdannelser ble funnet hos 18 (ni ved ensidig, ni ved dobbeltsidig). De forskjellige misdannelser hos våre pasienter fremgår av tabell 1 og 2.

    Tabell 1

    Forekomst av andre misdannelser ved ensidig koanalatresi (N = 19). Det var totalt ni pasienter med misdannelser

    Antall pasienter

    Hjertelidelse

    4

    Downs syndrom

    2

    Ganespalte

    2

    Øregangsatresi

    1

    Mentalt retardert

    1

    Tabell 2

    Forekomst av andre misdannelser ved dobbeltsidig koanalatresi (N = 14). Det var totalt ni pasienter med misdannelser

    Antall pasienter

    Hjertelidelse

    4

    Psykomotorisk retardasjon

    3

    Facialisparese

    3

    Ytre øre – øregangsanomali

    3

    Øyedefekt

    2

    Kjeveforandringer

    2

    Hørselsnedsettelse

    1

    Ansiktsdeformitet

    1

    Mikropenis

    1

    Treacher Collins syndrom bilateralt

    1

    Ganespalte

    1

    Dysfagi

    1

    Encefalocele

    1

    Hydrocephalus

    1

    Pasientene ble etterundersøkt skriftlig og ved telefonintervju. Halvparten ble dessuten innkalt til klinisk undersøkelse.

    Operasjonsmetode

    Operasjonsmetode

    Ved de transnasale operasjoner trepaneres først atresien, hvoretter den utvides med stanse eller bor. Så fjerner man noen millimeter av septums bakre ende. Avslutningsvis plasseres silikonrør fra ytre nese/vestibulum til epipharynx. Røret/rørene sys fast til det membranøse septum og fjernes etter 2 – 3 måneder.

    Resultater

    Resultater

    Ensidig kolanalatresi

    Ensidig kolanalatresi

    18 pasienter er operert transnasalt. De fleste ble operert da de var mellom tre og seks år gamle. Resultatet av primær transnasal operasjon fremgår av tabell 3. Fire pasienter er operert to ganger med godt resultat, mens en har lette og en annen moderate symptomer, uten at det er aktuelt med ny operasjon. En pasient ble operert transpalatinalt, men måtte reopereres.

    Tabell 3

    Ensidig koanalatresi. Resultat av primær transnasal operasjon etter alder (N = 18)

    Alder (år)

    0 – 2

    3 – 6

    _ 7

    Antall

    2

    9

    7

    Vellykket operasjon

    1

    6

    6

    Dobbeltsidig koanalatresi

    Dobbeltsidig koanalatresi

    Av de 14 pasientene med dobbeltsidige symptomer hadde fire ensidig atresi, mens det på den andre siden var betydelig koanalstenose. Alder ved primær operasjon fremgår av tabell 4. En pasient ble operert transpalatinalt og to ble primært bare trepanert med innsettelse av silikonrør. Alle fikk residiv. To andre ble operert transnasalt uten at vi fjernet deler av bakre septum. Begge disse fikk residiv. Ni pasienter er primæroperert transnasalt med fjerning av bakre del av vomer. Fire er besværsfrie etter over et års observasjon. Tre har fått residiv, mens observasjonstiden for de to sist opererte er kort. Det er foretatt seks sekundære operasjoner, fire vellykkede og to med residiv.

    Tabell 4

    Dobbeltsidig koanalatresi/stenose (N = 14)

    Alder ved primæroperasjon

    0 – 2 md.

    3 – 12 md.

    1 – 3 år

    Antall

    9

    3

    2

    Diskusjon

    Diskusjon

    Koanalatresi forekommer hos en av 5 000 – 8 000 nyfødte, som regel ensidig (3). Som hos oss er det funnet en overvekt av piker, uten at man har noen forklaring på det (4 – 6). Det foreligger flere teorier om årsaksfaktorene, men ingen av dem er fullt tilfredsstillende (3, 7). Over halvparten av barn født med koanalatresi har en eller flere andre misdannelser (7). Mange faller inn under betegnelsen CHARGE, slik som våre pasienter. C står for coloboma, H for hjertesykdom, A – atresia choanalis, R – retardert vekst og utvikling, G – genital anomali hos gutt og E for ytre øre-misdannelse og/eller hørselstap. Det er vanskelig å forklare hvorfor så mange har andre misdannelser, spesielt fordi disse oppstår på forskjellige tidspunkter i føtallivet (7).

    Operasjonsmetodene er forskjellige. Noen nøyer seg med å perforere atresien og så dilatere den (8, 9). De fleste utvider den ved å fjerne det atretiske vev med bor eller stanse (2, 3, 5, 10, 11). Noen bestreber seg på å bevare slimhinnelapper, men det er svært vanskelig hos spedbarn. Laser benyttes iblant for å åpne atresien (12), men metoden har sine begrensninger (13). Best varig effekt oppnås ved at man i tillegg fjerner noen millimeter av bakre ende av vomer (3, 5). Ut fra anatomiske betraktninger (fig 1, 2) synes det hensiktsmessig, og vi har fått bedre resultater etter at vi begynte med det. Perforasjon og dilatasjon alene var ikke effektivt. For å hindre residiv må åpningen holdes åpen med en form for tamponade til såret er tilhelet. Vanligvis brukes silikonrør. Freng fikk gode resultater med å la drenene stå inne i seks uker (2). Det er ingen enighet om hvor lenge de bør stå inne. Jung benyttet seks dager (10), mens de fleste lar dem stå i 8 – 16 uker (6, 8, 14). Vi har latt dem stå i 12 uker. Så lenge de er på plass, går respirasjonen gjennom nesen uhindret. Tykkelsen på rørene er avgjørende for resultatet. Hvis de er for tykke, klemmes de sammen, nesepustingen hindres samtidig som rørene trykker mot omkringliggende vev og hindrer sårtilheling, og det disponerer for residiv.

    Den operative tilgang skjer vanligvis transnasalt (3, 5, 15) eller transpalatinalt (2, 10). Transseptal og transmaksillær tilgang benyttes sjelden nå (4). Men det er vanskelig å sammenlikne resultatene av operasjonsmetoder og tilganger, da materialene fra den enkelte avdeling ikke er store og ensartede nok. Pirsig (1) har likevel gått igjennom en rekke publiserte undersøkelser over operative resultater og mener at de er jevngode enten tilgangen er transnasal eller transpalatinal. Med tiltakende bruk av endoskop og moderne drill synes den transnasale metode å bli foretrukket (3, 11, 15 – 17).

    Selv om den transpalatine tilgang tidligere ble mest benyttet ved vår avdeling, har vi nå funnet det enklere å operere transnasalt ved hjelp av endoskop og mikroskop. Da vi ikke tar ned midtlinjesuturen i ganen, har vi heller ikke måttet ta aldersmessige hensyn ved operasjonen og har kunnet operere også ensidig koanalatresi på et tidlig tidspunkt. Med bakgrunn i våre nåværende erfaringer synes vi at pasienter med koanalatresi bør opereres så snart symptomene tilsier det.

    Kommentarer  ( 0 )

    Anbefalte artikler