Magnetisk resonanstomografi ved sinus tarsi-syndrom

    ()

    sporsmal_grey_rgb
    Abstract

    Sinus tarsi er et konisk formet anatomisk rom i bakfoten. Det er avgrenset av os talus og os calcaneus, talonavikularleddet og subtalarleddet og henger sammen med tarsalkanalen medialt. Dette anatomiske rommet strekker seg fra posteromedialt til anterolateralt, med den største delen av den koniske toppen beliggende lateralt, og skiller det bakre subtalarleddet fra talo-kalkaneo-navikularleddet (fremre subtalarleddet). Strukturer som befinner seg i sinus tarsi er fettvev, arterieanastomoser, leddrecesser baktil, nervefibrer og fem ligamenter. Disse ligamentene er laterale, intermediære og mediale røtter av extensor retinaculum inferior, ligamentum cervicale og ligamentum interosseum.

    Sinus tarsi-syndrom er en klinisk tilstand karakterisert med laterale fotsmerter, lokal smerte ved palpasjon over sinus tarsi og av og til ankelinstabilitet. Magnetisk resonanstomografi (MR) brukes som bildediagnostisk undersøkelsesmetode i evalueringen av årsakene til pasientens plager.

    Abstract

    The sinus tarsi is a cone-shaped anatomical space in the hind foot that is bounded by the talus and calcaneus, the talonavicular and posterior sub-talar joint, and is continuous with the tarsal canal medially. The space courses from posteromedial to anterolateral, with the larger portion of the cone laterally situated. The sinus tarsi consists of fatty tissue, arterial anastomoses, joint recesses posterorly, nerve endings, and five ligaments. These include the lateral, intermediate, medial roots of the inferior extensor retinaculum, the cervical ligament, and the interosseous ligament.

    The sinus syndrome is characterized by lateral foot pain, focal pain to palpation over the tarsal sinus, and hind foot instability. This chronic disease is related to a history of inversion trauma in the majority of patients.

    Magnetic resonance imaging (MRI) may be used in the evaluation of abnormalities associated with the sinus tarsi syndrome.

    Artikkel

    Sinus tarsi-syndrom ble først beskrevet av O"Connor i 1958 (1). Han beskrev vedvarende smerter i bakfoten blant pasienter som hadde hatt ankeldistorsjoner, spesielt supinasjonstraumer. Han fant posttraumatiske forandringer i sinus tarsi, som er en forlengelse lateralt av canalis tarsi. Subjektivt kjenner pasienten diffuse smerter langs lateralsiden av foten og har en følelse av ankel- instabilitet, spesielt ved gange på ujevnt underlag. Konvensjonell røntgenundersøkelse av ankel- og subtalarleddene, selv med stressopptak, vil som regel ikke vise patologiske forandringer. Subtalar artrografi er blitt rapportert å kunne påvise forandringer, men er invasiv (2). Magnetisk resonanstomografi er imidlertid i dag den primære bildediagnostiske modaliteten (3 – 7). I tillegg til å se på canalis tarsi med sinus tarsi vil vi også kunne evaluere anklelleddet med dets ligamenter, beinmarg i omliggende knokler og sener i området (8).

    MR-teknikk

    MR-teknikk

    MR-funn ved normal sinus tarsi og ved sinus tarsi-syndrom

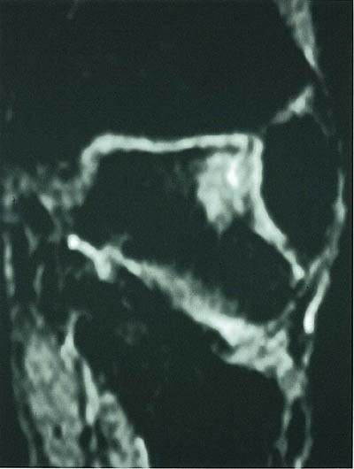
    Mesteparten av sinus tarsi er fylt med fett. Dette gir høysignal på T1-vektet sekvensog lavsignal på fettsuppresjonssekvenser. Blodkar og nervefibrer gir små punktformige lavsignaler medialt i fettvevet på T1-vektet sekvens. Ligamentene gir lavsignal på spinnekkosekvensene. Figur 1 viser en normal sinus tarsi. I koronalplanet sees ligamentum cervicale ventralt og ligamentum interosseus noe lenger dorsalt. Det mest fremtredende og hyppigste MR-funnet ved sinus tarsi-syndrom er lavsignalområder på T1-vektet sekvens og lav- eller høysignalområder på T2-vektet sekvens. Forandringene er forårsaket av fibrose (fig 2) med eller uten inflammasjon (fig 3). Av og til kan vi se små væskelokulamenter som representerer ganglioncyster (fig 4). Ligamentene kan være vanskelig å se, enten fordi det er mye inflammasjon eller fordi de er røket. Hos en del pasienter kan man finne ruptur av laterale ankelligamenter, spesielt ligamentum talofibulare anterior.

    Diskusjon

    Diskusjon

    Sinus tarsi-syndrom er en klinisk tilstand med smerter i bakfoten som kan opptre etter overtråkk. De fleste pasienter er i 20 – 30-årene. Kliniske tegn er smerter lateralt i bakfoten. Disse smertene øker ved trykk over sinus tarsi, når pasienten står og ved forsert supinasjon og abduksjon av foten. Pasienten kan av og til føle en viss instabilitet. Dette kan opptre hvis ligamentene er revet over. Smertene forsvinner med injeksjon av lokalanestetikum i sinus tarsi. Dette bør gjøres under gjennomlysning, slik at man er sikker på å treffe sinus tarsi. Det er viktig at pasienten får optimal behandling. Man kan starte med lokal injeksjon av kortikosteroider. Denne behandlingen er enkel og kan være effektiv. En til tre injeksjoner kan gi smertefrihet og til og med ha en kurativ effekt (9). Hvis pasienten ikke blir bra, må det utføres et kirurgisk inngrep i form av synovektomi i sinus tarsi ev. subtalar artrodese (9).

    Sinus tarsi-syndrom er i de fleste tilfeller en klinisk diagnose. Men av og til kan det være vanskelig å stille diagnosen klinisk. MR vil være til stor hjelp. Fibrose og/eller inflammasjoner gir karakteristiske MR-funn. Ligamentrupturer diagnostiseres ved manglende fremstilling, gjennomgående høysignal eller abnormt forløp. Ganglion utgående fra sinus tarsi kan også gi symptomer (10).

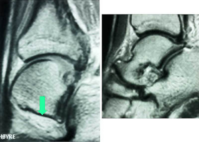
    I tillegg til å kunne påvise patologiske forandringer i sinus tarsi kan vi påvise andre årsaker til smerter lateralt i bakfoten: Osteokondrale skader ved øvre laterale talushjørne, avaskulære nekroser og stressfrakturer i omliggende knokler samt patologi i omliggende ligamenter og sener (fig 5) og (fig 6).

    Sinus tarsi-syndrom er en veldefinert klinisk tilstand med karakteristiske funn ved MR. Syndromet må mistenkes hos pasienter med vedvarende fotsmerter etter alvorlig overtråkk. Det er mulig at tilstanden til en viss grad underdiagnostiseres i Norge. MR vil være et godt diagnostisk hjelpemiddel.

    Kommentarer  ( 0 )

    Anbefalte artikler