Parvovirus B19-infektion – en lömsk kameleont

    ()

    sporsmal_grey_rgb
    Abstract

    Parvovirus B19 är en vanlig infektion, och den vanligaste manifestationen är «femte sjukan», med exantem, feber och övre luftvägssymtom hos barn. Viruset kan även orsaka en rad allvarliga komplikationer hos vissa riskgrupper. De senaste åren har kunskapen om klinik, diagnostik och behandling av dessa komplikationer ökat betydligt. Här beskrivs sambandet mellan de vitt skilda symtomen, illustrerat med några fall.

    Abstract

    Parvovirus B19 is a common source of infection with a seroprevalence of 60–70 per cent in the adult population. The most common manifestation is erythema infectiosum («fifth disease»), with exanthem, fever and upper airway symptoms in children. The infection can give rise to a multifacetted clinical picture and is probably underdiagnosed, particularly in risk groups (individuals with haemolytic anaemia or immunosuppression, and fetuses). Serological diagnosis can now be complemented with the demonstration of viral DNA using the PCR (polymerase chain reaction) test in various body fluids, or tissue biopsy. Recent years have witnessed manifest increase in clinical knowledge of parvovirus B19-associated complications, and their diagnosis and treatment.

    Artikkel

    Artikkelen er tidligere publisert i Läkartidningen nr. 46/1999

    Parvovirus B19 orsakar erythema infectiosum, «femte sjukan», som vanligen drabbar barn i tidig skolålder. Smärre epidemier förekommer vanligen på våren, och är mer uttalade vart tredje till fjärde år. Virus sprids via luftvägssekret, och inkubationstiden är 1 – 2 veckor. Subklinisk infektion förekommer, men vanliga symtom är övre luftvägsinfektion med feber och ett efterföljande rött makulopapulöst utslag på kinderna, med senare spridning till bål och armar. Hos vuxna kan det typiska utslaget saknas och framförallt hos yngre kvinnor kan en symmetrisk polyartrit vara enda symtomet (1). Hos immunkompetenta individer bildas neutraliserande antikroppar, och virus elimineras från kroppen inom några veckor.

    Parvovirus B19 är ett litet DNA-virus som angriper framför allt omogna röda blodceller i de blodbildande organen hos människor och foster (fig 1). Virus binder till sin receptor, P-antigenet (ett blodgruppsantigen), och lyserar cellerna. Erytropoesen hämmas därmed, vilket leder till total avsaknad av retikulocyter i perifera blodet under några dagar efter en akut infektion. Symtomgivande anemi är dock ovanligt hos immunkompetenta individer. Det är oklart om virus har någon direkt toxisk eller immunologisk effekt på den vita cellinjen och megakaryocyterna, men en hämning av dessa ses ofta i perifer blodbild.

    Virus hämning av erytropoesen kan leda till aplastisk, livshotande kris hos individer med hemolytiska anemier, eftersom deras erytrocyter har en kort halveringstid (2). Även om infektionen i sig är självläkande kräver tillståndet ofta akut blodtransfusion.

    En annan riskgrupp för komplicerad B19-infektion är immunsupprimerade individer som kan ha svårt att bilda antikroppar som neutraliserar virus. Detta leder till kronisk anemi och, i sällsynta fall, även svår pancytopeni (3, 4). Kronisk parvovirus B19-infektion har beskrivits vid både kongenitala och förvärvade immundefekter, till exempel i samband med cytostatikabehandling, vid transplantationer och hos aidspatienter (5, 6).

    Även immunfriska individer kan i sällsynta fall få en kronisk infektion (7, 8).

    Tropismen för omogna röda blodceller förklarar också varför parvovirus B19 kan orsaka allvarliga graviditetskomplikationer, som hydrops fetalis och intrauterin fosterdöd (9). Vid primärinfektion hos modern är risken för en symtomatisk infektion hos fostret mycket liten (10). Infektionen leder till anemi hos fostret vilket kan leda till hjärtsvikt och hydrops. Parvovirus B19 har i utländska studier visats vara etiologiskt agens till ungefär 5–10 procent av intrauterina fosterdödsfall, och skulle därmed vara den enskilt viktigaste anledningen till denna diagnos. I Ruta redovisas några av de olika sjukdomsbilder som associeras till parvovirus B19-infektion.

    Förbättrad diagnostik

    Förbättrad diagnostik

    De diagnostiska möjligheterna inom virologin har förbättrats avsevärt tack vare PCR (polymerase chain reaction). Detta gäller även för parvovirus B19-infektion, då man nu kan påvisa virus direkt i olika kroppsvätskor och vävnader (viruset kan ej påvisas i sedvanliga virusodlingar). Serologi (B19-IgG och IgM med ELISA eller immunfluorescens) är fortfarande förstahandsalternativ vid exempelvis epidemiologisk kartläggning av exantemutbrott på skolor/daghem eller differentialdiagnostik vid exantem hos gravida.

    B19-IgM kan ofta påvisas vid exantemdebut, och B19-IgG följer senast efter några dagar. Konvalescentprov bekräftar diagnosen med påvisande av B19-IgM och kraftig stegring i B19-IgG-aktivitet. IgM kvarstår vanligen 2 – 4 månader och IgG för resten av livet, som tecken på genomgången infektion och immunitet (11).

    Vid graviditetskomplikationer eller kroniska artriter hos immunkompetenta kan således B19-IgM redan ha försvunnit när man påbörjar en etiologisk utredning. Det finns möjlighet att utföra B19-IgG-aviditetstest och andra specialanalyser för att närmare datera primärinfektionen, om denna ägt rum högst sex månader tidigare. Efter denna tid är det dock omöjligt att avgöra om IgG-svaret är aktuellt, eller kvarstående sedan flera år.

    Många immunsupprimerade kan också ha en infektion där immunsvaret inte har bildat vare sig B19-IgG eller IgM. Detta ses framförallt hos immunsupprimerade barn och hos aidspatienter.

    När det serologiska mönstret ej ger ledning kan man istället påvisa virusgenomet direkt med PCR. Fördelen med PCR vid just denna infektion är att parvovirus B19 normalt inte etablerar latens, det vill säga påvisande av B19-DNA är ett patologiskt fynd (12). Enligt vår erfarenhet är benmärgsprov det bästa provtagningsmaterialet för att påvisa B19-DNA, på grund av virusets tropism för erytroblaster (4). Det är naturligtvis inte alltid indicerat att ta benmärgsprov, men vi vill rekommendera detta framförallt hos hematolog-/onkologpatienter där ingreppet ändå utförs för differentialdiagnostiska ändamål. B19-DNA kan även påvisas i perifert blod, och kan hos immunsupprimerade kvarstå i flera månader efter primärinfektion. Hos immunkompetenta har däremot viremin ofta försvunnit under de närmsta dagarna efter exantemdebuten.

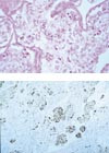
    PCR har även inneburit stora diagnostiska framsteg vad gäller intrauterina parvovirus B19-infektioner (13). Om det serologiska mönstret är oklart hos modern kan PCR utföras på navelsträngsblod, amnionvätska och/eller placentabiopsi. Vid parvovirus B19-infektion kan en van patolog se virusinklusioner i fostervävnader och placenta. Med immunhistokemi kan förekomsten av parvovirus B19-antigen bekräftas (fig 2). Vi håller för närvarande på att utveckla PCR-metodiken för att påvisa B19-DNA i paraffinklossar från placenta och fostervävnader, för att ytterligare öka sensitiviteten i oklara fall av intrauterin fosterdöd. Detta blir förhoppningsvis ett komplement till morfologisk och immunhistokemisk B19-diagnostik.

    Specifikt läkemedel saknas

    Specifikt läkemedel saknas

    Det finns inget specifikt antiviralt läkemedel mot parvovirus B19-infektion. Däremot innehåller konventionellt intravenöst immunglobulin neutraliserande antikroppar mot viruset. Erythema infectiosum hos immunkompetenta individer läker vanligen ut efter ett par veckor och kräver oftast bara symtomatisk behandling. Parvovirus B19-orsakade kroniska artriter behandlas också företrädesvis symtomatiskt (14).

    I några svåra fall, där artriterna kvarstått i flera år, har immunglobulinbehandling försökts, med varierande resultat. Aplastiska kriser i samband med infektion hos patienter med underliggande hemolytisk sjukdom kräver oftast blodtransfusion. Immunsvaret får därmed en chans att eliminera infektionen, men vid långsam återhämtning kan intravenös immunglobulinbehandling påskynda förloppet. Blodtransfusion kan också behövas vid kroniska anemier hos immunsupprimerade individer. Hos immunsupprimerade är erfarenheterna med intravenöst immunglobulin mycket goda, och viruset har ofta eliminerats helt och symtomen försvunnit efter endast en behandlingsomgång (för vuxna vanligen 400 mg/kg i fem dagar) (15).

    Om immunsuppressionen varit orsakad av cytostatika kan även ett kort avbrytande av kuren räcka för att immunförsvaret ska hämta sig och eliminera virusinfektionen på egen hand.

    Behandlingen och uppföljningen vid intrauterina infektioner är mycket individuell och kräver, liksom i nedanstående fall, ofta samråd med erfaren specialist. Just för intrauterina infektioner finns aktuella behandlingsförslag samt namngivna specialister att tillgå (www.medscinet.sll.se/infpreg).

    Ett förebyggande vaccin mot parvovirus B19 är under utprövning i USA, och kommer förhoppningsvis att finnas tillgängligt i Sverige om några år (16). Vaccinet kommer troligen främst att ges till icke-immuna individer med hemolytiska anemier och immunsupprimerade barn. I ett utökat program kan icke-immuna kvinnor i fertil ålder vara aktuella kandidater. Sjukdomens lindriga svårighetsgrad hos barn gör det dock ej angeläget att vaccinera barn generellt även om erythema infectiosum är en av de få exantembarnsjukdomar som finns kvar efter MPR(mässling, parotit, rubella)-vaccinets införande.

    Sex fallbeskrivningar

    Sex fallbeskrivningar

    Fall 1 : En 31-årig kvinna, som tidigare fött ett barn, diagnostiserades i graviditetsvecka 37 med intrauterin fosterdöd. PCR för B19 var positiv i placenta, liksom i serum tre veckor före partus och vid partus. B19-IgG och IgM kunde dock inte påvisas i något av proven. Inga andra orsaker till fosterdöden kunde fastställas genom rutinmässig utredning, inklusive obduktion. Inga tecken på infektion eller parvovirusexponering under graviditeten framkom anamnestiskt.

    Missfall i första trimestern är ovanligt efter parvovirus B19-infektion, men risken ökar klart i andra trimestern vilket är välkänt från litteraturen (13). Vi har även visat att intrauterina dödsfall förekommer i tredje trimestern genom att i sådana fall rutinmässigt analysera placentabiopsier för B19-DNA med PCR (17). Infektionsanamnes saknas ofta och hydrops behöver inte ha föregått händelsen. För både andra och tredje trimestern gäller att missfallen/fosterdöden kan inträffa så sent som tolv veckor efter konstaterad maternell infektion (13). I några av fallen från tredje trimestern har vi sett en klart fördröjd (flera månader) B19-IgG-utveckling. Diagnosen har istället ställts med PCR i placenta, och i vissa fall även med immunhistokemi, morfologi och PCR på obduktionsmaterial från fostervävnader.

    Fall 2: En 38-årig kvinna, som tidigare fött ett barn och var gravid för fjärde gången, diagnostiserades i graviditetsvecka 20 med fosterdöd hos en tvilling och svår hydrops fetalis hos den andra tvillingen. Anamnestiskt framkom trötthet och feber ett par veckor tidigare. Initial kordocentes visade fetalt hemoglobin på 40 g/l samt positiv PCR för B19. Även amnionvätskan var positiv vid PCR, och i blod från modern påvisades B19-IgM. Under de följande dagarna progredierade hydropsbilden, myokardaktiviteten var suboptimal och fetalt hemoglobin sjönk till 28 g/l. Vid detta tillfälle gavs fetal blodtransfusion och intravenös immunglobulinbehandling av modern inleddes. Ytterligare en blodtransfusion krävdes fyra dagar senare, och det fetala hemoglobinvärdet steg sedan till 110 g/l. Därefter avtog hydropsbilden, och ultraljudsundersökning en vecka efter senaste transfusionen var utan anmärkning hos den överlevande tvillingen. På grund av dålig fostertillväxt från och med graviditetsvecka 35 utfördes kejsarsnitt två veckor senare. Efterförloppet var komplikationsfritt, och inga sequlae hos barnet har kunnat påvisas under nio månaders uppföljningstid. Hjärt-, lung- och levervävnad från det döda fostret samt från placenta var positiva för B19 vid PCR.

    Hydrops fetalis orsakad av parvovirus B19 kan även spontanläka, och ger då inga bestående men. Täta ultraljudskontroller rekommenderas, liksom mätning av fetalt hemoglobin vid uttalade symtom. Erfarenheterna av fetal blodtransfusion är begränsade, men förefaller vara livsavgörande i vissa fall (13). Behandling av modern med immunglobulin är ej utvärderad i något större kliniskt material.

    Fall 3: Två syskon, 16 och 10 år, med hemolytisk anemi (kongenital sfärocytos), insjuknade med sex veckors mellanrum i akut aplastisk kris. Några dagar efter respektive insjuknande debuterade ansiktserytem, hög feber och övre luftvägssymtom. Den aplastiska krisen krävde akut blodtransfusion i bägge fallen. Efter någon månad var barnen symtomfria. B19-DNA, B19-IgM och B19-IgG påvisades i blodprov taget just före transfusionerna.

    Detta är klassiska fall av B19-infektion i en välkänd riskgrupp (2). Då akut blodtransfusion ofta krävs så bör det beaktas att serologi taget efter transfusionen kan vara missvisande. Däremot är ofta PCR för B19 positiv i blod under första sjukdomsveckan. Immunglobulinbehandling är sällan motiverad, då dessa patienter är immunkompetenta och får ett normalt immunsvar som eliminerar virusinfektionen.

    Fall 4: En 10-årig flicka med akut lymfatisk leukemi utvecklade under pågående kemoterapi såväl ansiktserytem som feber och neutropeni under ett par dagar. Fem månader senare återkom ansiktserytemet tillsammans med hög feber och faryngit. Ytterligare tre månader senare tillstötte pancytopeni med (lägsta värden, före transfusion) Hb 74 g/l, leukocyter 0,3 ⋅ 109/l och trombocyter 76 ⋅ 109/l. Kemoterapin fick avbrytas vid tre tillfällen på grund av återkommande cytopenier. Som lägst var trombocytvärdet 12 ⋅ 109/l, och den svåra kliniska bilden ingav misstanke om recidiv. I benmärgsprov kunde detta dock uteslutas, och istället påvisades B19-DNA med PCR. I serum påvisades även B19-IgG och IgM, ett fynd som kunde bekräftas i prov en månad senare. Vid retrospektiv analys visade sig ett serumprov vara B19-positivt vid PCR redan vid tiden för det första ansiktserytemet. Flickan återhämtade sig efter några veckor och kunde sedan fullfölja cytostatikabehandlingen som planerat. Hon är nu utan terapi och i komplett remission.

    Detta och liknande fall har gjort att uppmärksamheten på parvovirus B19-infektion har skärpts vid oförklarad pancytopeni hos cytostatikabehandlade barn (4, 18). Med dagens kunskaper om diagnostik och med hjälp av intravenös immunglobulinbehandling bör liknande kriser förhoppningsvis kunna lindras.

    Fall 5: En 36-årig tidigare frisk förskollärare sökte för sex månaders återkommande perioder av feber, trötthet, myalgi och artralgi. I laboratoriestatus noterades leukopeni och anemi samt positivt resultat för B19-IgG och IgM. Fall av erythema infectiosum hade förekommit på arbetsplatsen före symtomdebuten. På grund av kvarstående symtom och fortsatt leukopeni utfördes benmärgsundersökning som var B19-positiv vid PCR. Upprepade differentialdiagnostiska utredningar var resultatlösa. Förutom febern kvarstod symtomen och leukopenin fortfarande efter fem års tid. Upprepade benmärgsprov har varit B19-positiva vid PCR. Försök att behandla infektionen med intravenöst immunglobulin har ej givit några bestående förbättringar.

    Vi har sett fler liknande fall med långdragen subfebrilitet, och inslag av artrit och kronisk trötthet i efterförloppet till akut parvovirus B19-infektion (7) Även i dessa fall har parvovirus B19-DNA påvisats i benmärgsprov. För att värdera detta laboratoriefynd undersökte vi 100 slumpvis utvalda benmärgsprov från vuxna hematologpatienter. Trots att dessa patienter tillhör riskgrupperna för parvovirus B19-infektion, så var endast 4 procent B19- positiva vid PCR av benmärg (12). Detta visar att fynd av B19-DNA i benmärg inte är allmänt förekommande bland seropositiva individer, och att klinisk signifikans måste övervägas.

    Fall 6: En 35-årig tidigare väsentligen frisk kvinna insjuknade med feber, frossa, rygg- och ledvärk (små och stora leder) samt uppdrivna metakarpo-proximala interfalangealleder. Familjemedlemmar insjuknade samtidigt med «pricksjuka». Vid insjuknandet hade kvinnan leukopeni, trombocytopeni och sedermera övergående anemi. På misstanke om debuterande systeminflammatorisk sjukdom gjordes en utredning som ej visade något anmärkningsvärt förutom påvisbara ANA (antinukleära antikroppar). Sedermera uppdagades en parvovirus B19-infektion, med B19-IgG-titerstegring och påvisbara B19-IgM, med persisterande viremi (PCR för B19 positiv i upprepade serumprov). Under denna tid hade patienten recidiverande leukopeni, återkommande övre luftvägsinfektion, trötthet och sjukdomskänsla, men aldrig hudutslag. Symtomen hade läkt ut efter sex månader, och i samband med detta var analys av B19-IgM och PCR negativa i serum.

    En parvovirus B19-infektion kan imitera debut av systeminflammatorisk sjukdom samt till exempel uppfylla kriterierna för diagnosen reumatoid artrit (19). Dock ses aldrig några röntgenologiska broskdestruktioner, och symtomen läker vanligen ut efter några år. Man tror även att B19-infektionen i sig kan utlösa autoimmuna sjukdomar hos predisponerade individer. Exempelvis har fall av systemisk lupus erythematosus debuterat i efterförloppet av en B19-infektion (20). Mekanismerna för detta är ej klarlagda, men kan även ses efter andra infektioner. Det är beskrivet att, men ej klarlagt varför, autoantikroppar kan bildas efter B19-infektion (20).

    Intensiv forskning pågår

    Intensiv forskning pågår

    Parvovirus B19 ger således en mångfasetterad sjukdomsbild beroende på ålder och immunkompetens hos den smittade individen. Infektionen är sannolikt underdiagnostiserad framförallt hos olika riskgrupper – individer med hemolytiska anemier, vid immunsupprimerande tillstånd och hos foster. Svåra infektioner kan behandlas med intravenöst immunglobulin eller blodtransfusioner. Vid fall av erythema infectiosum ställs diagnosen företrädesvis kliniskt. Serologi är viktigt vid misstänkt infektion hos exempelvis gravida och vid immunitetsbedömning. Vid andra manifestationer av infektionen bör serologisk diagnostik kompletteras med PCR, där provtagningsmaterialet kan utgöras av blod, benmärg, amnionvätska eller olika typer av vävnadsbiopsi beroende på frågeställning.

    Intensiv forskning pågår för att kartlägga infektionens patogenes, ytterligare kliniska manifestationer, behandling och förfinad diagnostik. Ett vaccin är under utprövning i USA och är i första hand riktat som profylax till icke-immuna individer från ovanstående riskgrupper.

    Sjukdomsbilder vid parvovirus B19-infektion

    • Immunkompetenta individer

    • Asymtomatisk eller subklinisk infektion

    • Erythema infectiosum

    • Symmetrisk artropati

    • Patienter med hemoglobinopati

    • Akut aplastisk kris

    • Immunsupprimerade individer

    • Kronisk anemi

    • Pancytopeni

    • Kronisk artralgi

    • Graviditetskomplikationer

    • Fetal anemi

    • Fetal hydrops

    • Spontanabort/fosterdöd

    • Ovanliga tillstånd associerade till B19

    • Myokardit, retledningsrubbning

    • Neurologisk sjukdom (till exempel neuropati)

    • Vaskulit (till exempel purpura, Henoch-Schönleins syndrom)

    • Systeminflammatoriska sjukdomar

    • Hemofagocyterande lymfohistiocytos

    Kommentarer  ( 0 )

    Anbefalte artikler