Fulminant influensapneumoni

    ()

    sporsmal_grey_rgb
    Abstract

    I intensivavdelinger er pneumoni ervervet utenfor sykehus en ikke sjelden årsak til akutt respirasjonssvikt med behov for respiratorbehandling. Bakteriell etiologi er klart hyppigst, men virus kan óg være agens. Når et influensavirus er involvert i etiologien av alvorlig pneumoni, er dets rolle i patogenesen oftest å bane vei for sekundære bakterielle pneumonier. Influensaviruset kan imidlertid selv forårsake en alvorlig og raskt progredierende pneumoni.

    Vi presenterer to tilfeller av fulminant pneumoni med multiorgansvikt, der omfattende mikrobiologisk og serologisk testing ikke kunne avsløre andre årsaker til pneumonien enn influensavirus. Forskjellige former for sykdom i nedre luftveier knyttet til influensainfeksjon presenteres, og betydningen av å inkludere primær influensapneumoni i differensialdiagnosene ved akutt respirasjonssvikt fremheves.

    Abstract

    Severe community acquired pneumonia is a common cause of acute respiratory failure requiring ventilator support. Bacteria are by far the most common pathogens, necessitating initial coverage with antibacterial agents. When influenza virus is involved in the aetiology of severe pneumonia, its role in the pathogenesis is most often that of facilitating secondary bacterial pneumonia. The influenza virus itself can, however, cause a severe and rapidly evolving viral pneumonia. We describe two cases of fulminant pneumonia with multiorgan failure, in which extensive microbiologic and serologic diagnostic test did not reveal other causes for the pneumonia than influenza virus. Different clinical lung manifestations of influenza are discussed. Influenza must be considered as an aetiologic possibility in acute respiratory failure.

    Artikkel

    Mikrobiologisk diagnostikk ved infeksjonsutløst akutt respirasjonssvikt er vanskelig. Bakteriell nedre luftveisinfeksjon er en vanlig årsak til akutt respirasjonssvikt og rettferdiggjør tidlig liberal empirisk antibiotikabehandling rettet mot tradisjonelle luftveispatogener. Ved manglende behandlingsrespons hos ellers lungefriske personer vil aktuelle differensialdiagnoser inkludere autoimmune lungelidelser, fulminante pneumonier med «atypiske» mikrober som Mycoplasma pneumoniae, Chlamydia og Legionella og, i influensasesongen, primær influensapneumoni. Alvorlig primær influensapneumoni er kjent fra eldre medisinsk litteratur, ikke minst i forbindelse med spanskesyken i 1918 (1), men også fra de store pandemiene i 1957 (asiasyken) og i 1968 (Hongkong). I det følgende presenteres to tilfeller av alvorlig pneumoni med sjokklunge og flerorgansvikt, mest sannsynlig forårsaket av influensavirus.

    Pasient 1. Tidligere frisk 30 år gammel mann som ble innlagt med to dagers influensaliknende sykdomsbilde. Han hadde høy feber, muskelverk, tørrhoste, og hodepine. Innleggelsesdagen tilkom diare… og oppkast. Ved innkomst hadde han temperatur på 40,5 ˚C, redusert allmenntilstand og svake knatrelyder basalt venstre lunge. Arterielle blodgasser uten O2 viste en pO2(a) på 7,57 kPa og pCO2(a) på 4,62 kPa. Røntgen thorax ved innkomst viste en sparsom venstresidig basal fortetning, CRP var 15 mg/l, leukocytter 3,4 _ 109/l og trombocytter 108 _ 109/l. Han var periodevis takykard med frekvens opp i 160.

    Pga. klinisk tilstand med takykardi, betydelig hypoksi og beskjedne røntgenfortetninger ble det startet sepsisbehandling. Dag 2 etter innkomst tilkom økende pustebesvær, med rikelig knatrelyder bilateralt. Røntgen thorax viste betydelig progrediering av perihilære fortetninger. CRP var nå steget til 153 mg/l og leukocytter til 11 _ 109/l. Dag 3 viste røntgen thorax nærmest bilateralt hvite lunger med luftbronkogrammer. Pga. tiltakende respirasjonssvikt måtte pasienten få respiratorbehandling. Til tross for 100 % O2-positivt endeekspiratorisk trykk (PEEP) på 13 cm vannsøyle falt forholdet mellom arteriell O2-tensjon og O2-fraksjon i inspirasjonsluft (pO2(a)/FiO2) fra 9,8 til 5,7 (normalt > 50) første døgn, og pasienten ble overført regionsykehus med tanke på ekstrakorporal membranoksygenering (ECMO). Han ble der ventilert med meget høye trykk med tilskudd av nitrogenmonoksidgass (NO) i inspirasjonsluft i ti døgn, hvoretter man gradvis kunne redusere respiratorinnsatsen. Han utviklet dialysekrevende nyresvikt dag 8 etter innleggelse.

    Akutt- og rekonvalesenssera viste titerstigning fra < 5 til > 320 for influensa B-virus. Serologiske prøver for Mycoplasma pneumoniae, Chlamydia pneumoniae, Legionella, HIV, hepatitt A, B og C var alle negative. Blodkulturer var negative, det var normal halsflora i nasopharynxprøve. Det videre forløp ble komplisert av sekundær ventilatorassosiert pneumoni tre uker etter innkomst, som ble behandlet med imipenem. Dialysebehandlingen ble avsluttet 16. døgn, og fra dag 19 pustet han uten respiratorstøtte. Den videre rehabiliteringen var ukomplisert.

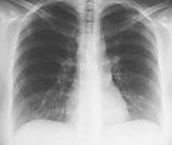
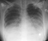
    Pasient 2. 29 år gammel tidligere frisk kvinne innlagt med tre dagers sykehistorie. Hun hadde influensasymptomer med muskelverk, ryggsmerter, hodepine og temperatur opp i 40,8 ˚C. Hun var tilsett på poliklinikken dagen i forveien, hun klaget da over tørrhoste. Røntgen thorax var negativt (fig 1) CRP var 178 mg/l, trombocytter 78 _ 109/l og leukocytter 2,5 _ 109/l. Ved innleggelse hadde hun respirasjonsfrekvens på 30, puls 130, temperatur 39,1 ˚C, og røntgen thorax viste nå bilaterale konfluerende fortetninger (fig 2). CRP var steget til 248 ml/l, trombocytter var falt til 60 _ 109/l, det var lett forhøyede transaminaser, normalt kreatininnivå og fibrin degradasjonsprodukter (FDP-DD) var 8,0. Tilstanden ble nå oppfattet som en pneumoni eller sepsis med sjokklungeutvikling. Hun ble satt på behandling med høydose penicillin-G, netilmycin og erytromycin.

    Over de neste timer fikk hun tiltakende respirasjonssvikt og måtte få respiratorbehandling. Hun utviklet disseminert intravaskulær koagulasjon, leukocytter falt til 1,6 _ 109/l. CT thorax dagen etter innleggelse viste omfattende konsolidering av lungevev i begge underlapper, høyre midtlapp og venstre overlapp (fig 3). Til tross for behandling med 100 % O2 og PEEP på 13 cm vannsøyle ble hun tiltakende vanskelig å oksygenere og fikk første døgn fall i pO2(a)/FiO2-ratio fra 8,1 til 5,9. Hun ble overført regionsykehus med tanke på ECMO-behandling ett døgn etter innleggelse. Der fortsatte man med respiratorbehandling med tillegg av NO i inspirasjonsluft, og ECMO-behandling kunne unngås. Hun var likevel avhengig av høyt respiratortrykk, og det var betydelige problemer med oksygeneringen. Tredje dag etter innkomst i regionsykehus ble det påvist bilateral pleuravæske. Etter tapping av 2 250 ml væske bedret oksygeneringen seg, med gradvis bedring av lungefunksjonen den neste uken. Hun kunne frakobles respirator etter sammenlagt 11 døgns behandling. Det kom ingen oppvekst i blodkulturer. Mikroskopi av tubeaspirat viste rikelig med mononukleære celler og granulocytter, med moderat forekomst av streptokokker av usikker betydning. Immunfluorescensmikroskopi og dyrking på Legionella fra tubeaspirat var negativ. Serologisk undersøkelse for Mycoplasma, C pneumoniae, hepatitt A, B og C, CMV, varicella, adenovirus, rs-virus og influensa A-virus var negative. Akutt- og rekonvalesenssera viste titerstigning fra < 5 til > 320 for antistoffer mot influensa B-virus.

    Diskusjon

    Diskusjon

    Hos våre pasienter ble muligheten for primær influensapneumoni vurdert så sent ut i forløpet at forsøk på virusdyrking ikke ble utført. Diagnosen baserer seg således på markant titerstigning av influensaantistoffer, på manglende funn ved dyrking og serologiske undersøkelser for andre luftveispatogener, på klinisk presentasjon og forløp, samt på manglende antibiotikarespons.

    Begge pasientene hadde et nærmest perakutt sykdomsbilde, der tid fra første symptom til fullt utviklet lungesvikt med behov for respiratorbehandling var henholdsvis fem og fire dager. Et slikt stormende forløp kan også sees ved bakteriell pneumoni, spesielt ved samtidig underliggende lungesykdom som kreft, kronisk obstruktiv lungesykdom eller hos pasienter med stuvningssvikt. Våre pasienter var imidlertid friske, unge mennesker uten annen komorbiditet, spesielt uten tidligere lungesykdom. Det er uvanlig med så rask forverring av en pneumoni hos ellers friske personer når adekvat antibiotikabehandling er igangsatt tidlig. Hos våre pasienter gikk det kun to og tre dager fra symptomdebut til behandling med bredspektret antibiotika ble iverksatt.

    Pneumokokker er det viktigste agens ved alvorlig pneumoni ervervet utenfor sykehus (2). Pneumokokker kan også hos tidligere friske gi et akutt alvorlig sykdomsbilde med respirasjonssvikt. Røntgenologisk finner man ved sykdomsdebut oftest infiltrat som involverer et segment eller en hel lungelapp (3). Ved kompliserende sjokklungeutvikling vil diffuse bilaterale infiltrater kunne utvikles senere i forløpet. Hos våre to pasienter var det imidlertid en utvikling fra nær normalt røntgen thorax til svære bilaterale infiltrater i løpet av 36 timer.

    Etiologisk diagnostikk av pneumonier er vanskelig, og selv i de beste materialene lykkes det ikke å påvise pneumokokker i blodkultur hos mer enn 20 – 30 % av pasientene (4). Blodkulturene er hyppigere positive hos septiske pasienter med multiorganaffeksjon. Det ble hos våre pasienter tatt to sett blodkulturer før man startet antibiotikabehandling, samt flere lenger ut i forløpet – uten at det kom oppvekst. Det ble hos pasient 1 heller ikke funnet oppvekst av pneumokokker i nasopharynxsekret tatt før antibiotikastart, og hos pasient 2 ble det ved mikroskopi av trakealsekret ikke sett grampositive diplokokker. Tolking av mikroskopi og dyrking fra øvre luftveier med tanke på diagnostikk av pneumokokkpneumoni er problematisk, og i litteraturen beskrives metoden som alt fra utmerket til ubrukelig. Et negativt funn har imidlertid brukbar negativ prediktiv verdi, selv om positivt funn ikke har høy positiv prediktiv verdi (5, 6). Det er påfallende at man ikke skulle lykkes i å mikroskopere eller dyrke pneumokokker fra luftveiene hos våre to pasienter med så eksepsjonelt stormende forløp dersom pneumokokker var agens.

    Legionellapneumoni kan med rimelig sikkerhet utelukkes med negativ dyrking og immunfluorescensundersøkelse av luftveisprøver hentet opp gjennom endotrakealtube. I Norge er det altoverveiende antall pasienter smittet i utlandet, men ingen av våre pasienter hadde vært ute og reist. Stafylokokkpneumoni er sjelden ervervet utenfor sykehus hos ellers friske pasienter. Ved denne pneumoniformen skilles ofte store mengder stafylokokker ut i luftveiene, og de vil sees ved gramfarging og være dominerende ved dyrking. Hos våre pasienter kunne stafylokokker ikke påvises. Mycoplasma og Chlamydia kan unntaksvis gi alvorlige pneumonier, men det var ingen serologiske holdepunkter for disse agenser.

    Komplementbindingsreaksjonen for påvisning av influensaantistoffer er veletablert ved vårt laboratorium, og vi har regionsfunksjon for denne analysen. Vi tok første serologiske prøve henholdsvis 3. og 5. sykdomsdag hos pasient 1 og pasient 2 og rekonvalesensprøver etter 14 dager. Første prøver var negative hos begge pasienter og positive ut hele titreringsrekken (> 320) etter 14 dager hos begge. Vi mener det samlede kliniske bilde gjør det overveiende sannsynlig at pneumoniene har vært forårsaket av influensavirus, at influensavirus i disse to tilfellene har vært primært sykdomsfremkallende agens og at det beskrevne sykdomsbilde ikke skyldes sekundær bakteriell infeksjon. Ved bakteriell sekundærinfeksjon er det oftest et intervall av noen dager til et par ukers varighet før pasienten etter et influensasykdomsbilde utvikler tegn på pneumoni. Et slikt intervall har vi ikke hos våre pasienter. Vi gjorde ingen mikrobiologiske funn som skulle tilsi en samtidig bakteriell og viral koinfeksjon, selv om dette ikke kan utelukkes.

    Kliniske bilder ved influensa

    Kliniske bilder ved influensa

    Etter en inkubasjonstid på 2 – 3 dager gir infeksjon med influensavirus A og B vanligvis et karakteristisk klinisk bilde, preget av akutt innsettende høyfebrilitet, muskel og leddverk og tørrhoste samt hodepine og uvelhetsfølelse. Der er få, om noen, kliniske tegn å finne utover feber, og auskultasjonsfunn og røntgen thorax er som regel normale. Mange smittede får et subklinisk forløp eller en mild ukarakteristisk øvre luftveissykdom. Hos de fleste influensapasienter faller temperaturen etter tre dager, og behovet for sengeleie varer sjelden utover en ukes tid (7). Hos eldre og pasienter med annen komorbiditet kan rekonvalesensfasen ta betydelig lengre tid, og under influensaepidemier sees betydelig overdødelighet i denne pasientgruppen (8). En rekke nevrologiske komplikasjoner er også satt i sammenheng med influensasykdom, f.eks. postinfluensaencefalitt, tverrsnittsmyelitt og Guillain-Barrés syndrom.

    Influensavirus figurer hyppig på listen over agenser som forårsaker pneumoni, men litteraturen er ofte uklar med hensyn til hvilken rolle influensaviruset spiller. I mange oversikter er det kun en assosiasjon mellom virusfunn eller positive serologiske prøver og et sykdomsbilde med nedre luftveissymptomer, det kommer sjelden klart frem om influensavirus er primært kausalt agens (9).

    Lungekomplikasjoner assosiert med influensainfeksjon ble undersøkt av flere forskergrupper i forbindelse med pandemien i 1957 – 58. I en prospektiv klinisk studie definerte Louria og medarbeidere fire syndromer (10): bronkiolitt, influensasykdom med sekundær bakteriell pneumoni, influensa med samtidig bakteriell pneumoni og primær viral influensapneumoni.

    Influensavirus alene kan gi moderat bronkiolitt med hoste, feber, krepitasjoner, ev. pleurittiske smerter, men med normalt røntgen thorax.

    Ved influensa med sekundær bakteriell pneumoni har man et mer eller mindre veldefinert klinisk bilde forenlig med influensa, men en til to uker ut i forløpet tilkommer det symptomer og tegn på nedre luftveisinfeksjon. Sekundære bakterielle pneumonier er mye hyppigere enn primære influensaviruspneumonier, og skyldes antakeligvis at den uttalte slimhinnedestruksjonen forårsaket av influensaviruset baner vei for bakterier.

    Et forløp med samtidig koinfeksjon med bakterier og influensavirus er også beskrevet. Tilstanden skiller seg klinisk ikke fra en bakteriell pneumoni, og avhengig av underliggende komorbiditet er det god antibiotikarespons. Infeksjon med influensavirus kan imidlertid, som hos våre to pasienter, presentere seg som en overveldende raskt progredierende infeksjon med svær konsolidering av lungevev, ledsaget av multiorgansvikt. Tilstanden har en betydelig letalitet. Slike forløp rammet under 1957 – 58-pandemien spesielt pasienter med preeksisterende hjerte- og lungesykdom, men kunne også forekomme hos tidligere friske personer (10).

    Primær viral influensapneumoni er i særklasse den mest sjeldne formen, og årsaken til det stormende forløpet er ukjent. Tilstanden omtales ofte i litteraturen, men det er sparsomt med referanser og kasuistikker. I en nylig publisert oversiktsartikkel i Lancet (11) beskrives primær viral influensapneumoni som en alvorlig tilstand med rask progrediering fra sykdomsdebut til utvikling av respirasjonssvikt med høy letalitet. Foruten den raske sykdomsutviklingen fremheves funn av bilaterale infiltrater og manglende antibiotikarespons. I en ellers fyldig litteraturliste finnes imidlertid ingen referanser til primær viral influensapneumoni. Vi har etter omfattende litteratursøk funnet svært få kasuistikker eller kliniske beskrivelser av tilstanden. I et fåtall publikasjoner beskrives tilfeller med multiorgansvikt, som hos våre pasienter, der diagnosen influensapneumoni har vært basert på det stormende forløpet, manglende antibiotikarespons og serologiske prøver (12).

    Konklusjon

    Konklusjon

    Vi har beskrevet det kliniske forløp hos to pasienter med sannsynlig primær influensapneumoni. Tilstanden er sjelden, men kan gi rask utvikling av livstruende respirasjonssvikt hos ellers friske personer. Behandlingen er understøttende, og det er uklart om de nye influensamedikamentene (13) vil kunne ha noen innflytelse på denne formen for influensasykdom. Liberal empirisk antibiotikabehandling er indisert før diagnosen er avklart, men når denne er sannsynliggjort, er langvarig antibiotikaterapi neppe indisert. Risikoen for sekundær ventilatorassosiert pneumoni er som for alle langvarig respiratorbehandlede pasienter stor. Økt oppmerksomhet omkring muligheten for influensasykdom som primær årsak til respirasjonssvikt i intensivavdelinger kan medføre at diagnosen stilles hyppigere.

    Kommentarer  ( 0 )

    Anbefalte artikler