Endoskopisk behandling av vesikoureteral refluks hos barn

    ()

    sporsmal_grey_rgb
    Abstract

    I femårsperioden 1990 – 95 ble 102 pasienter, 78 jenter og 26 gutter i alderen 10 uker – 14 år, behandlet for grad III – IV vesikoureteral refluks av samme barnekirurg med endoskopisk injeksjon av teflonpasta under ureterostiet – såkalt STING. Ved tremånederskontroll var det ikke refluks i 90 av 133 refluksuretre, refluksgraden var redusert i 17 og var uforandret i 26. Etter re-STING i 22 refluksuretre forsvant refluks i 13, ble redusert i seks og uforandret i tre. Lavgradig refluksresidiv ble påvist i åtte av 88 uretre ved ettårskontrollen, men bare hos en ble det gjort re-STING. Hos 13 pasienter (18 refluksuretre) med uforandret refluks etter STING ble det gjort reimplantasjon. Mange av disse hadde kompleks refluks: dupleksureter, ektopisk ureter, ureterocele og paraureteral divertikkel. Det konkluderes med at de fleste pasienter med vesikoureteral refluks kan bli kvitt denne ved injeksjon av teflonpasta under ureterostiet. Fordelen ved endoskopisk dagpasientbehandling i forhold til åpen operasjon er innlysende og overgår trolig ulempene.

    Abstract

    In the five-year period 1990 – 95, 102 patients, 78 girls and 24 boys, aged ten weeks to 14 years were treated for grade III-V vesicoureteral reflux by the same surgeon using subureteric teflon injection – the STING procedure. Both primary, secondary and complex reflux were included. The reflux had disappeared in 90 of 133 refluxing ureters, the grade of reflux had diminished in 17 and were unchanged in 26 at the control three months after treatment. After re-STING in 22 reflux ureters, reflux disappeared in 13, was reduced in six and unchanged in three. Reappearance of low grade reflux was seen in eight of 88 ureters between the three months and one year control, but only one needed re-STING. Open surgery was performed in 13 patients (18 reflux ureters) because of unchanged reflux after STING, most of them due to complex reflux: duplex ureters, ectopic ureters, ureteroceles and paraureteral diverticula. It is concluded that most patients with vesicoureteral reflux can be successfully treated by using subureteric teflon injection.

    Artikkel

    Vesikoureteral refluks er en av de vanligst forekommende anomalier i urinveiene hos barn (1). Den disponerer for urinveisinfeksjoner, ofte som pyelonefritter, av og til med urosepsis, spesielt hos små barn. Refluks kombinert med infeksjoner kan gi varig nyreskade, den såkalte refluksnefropati. Det er anslått at refluksnefropati var årsak til 1/5 av uremitilfellene hos barn og ungdom som trengte dialyse og nyretransplantasjon i Europa (2). Ca. 20 % av pasienter med refluksnefropati utvikler renal hypertensjon (3). Spontan tilbakegang av refluks kan forventes hos ca. 80 % med refluks grad I – II og hos ca. 40 % med grad III – V innen ett til flere år etter påvisning (4).

    Det har utviklet seg to behandlingsmodeller – den medisinske som går ut på å forhindre infeksjon ved bruk av antibakterielle midler inntil refluksen er opphørt, eller den kirurgiske som ved åpen operasjon eller ved endoskopisk teknikk søker å forhindre refluks. Undersøkelser foretatt av International Reflux Study Group (5) tyder på at langtidsresultatet ved bruk av de to modeller blir nokså likt. Ulempen ved medisinsk behandling er langvarig medikamentbruk, ofte med dårlig gjennomføring av behandling og kontroll, gjentatte røntgen- og/eller isotopundersøkelser og at man ikke kan forutsi hvilke pasienter som vil få spontan tilbakegang av refluks. Åpen operasjon med reimplantasjon av ureter har siden 1950-årene vært et rutineinngrep ved barnekirurgiske avdelinger, med svært gode resultater og relativt få komplikasjoner.

    Vi har nå tatt i bruk en behandlingsmetode som kan spare barnet for åpen operasjon med flere dagers sykehusopphold. Injeksjon av teflonpasta under ureterostiet via cystoskop for å motvirke refluks ble første gang beskrevet i 1981 og ble videreutviklet til behandling av refluks hos barn fra 1984 (6). Vi tok i bruk metoden, som populært kalles STING, ved Barnekirurgisk avdeling, Ullevål sykehus fra februar 1990 som en av de første sykehusene i Skandinavia. Metoden er nå etablert som vår rutinemetode ved kirurgisk behandling av refluks, og resultatene fra de første fem år er publisert i en europeisk multisenterstudie (7).

    Materiale og metode

    Materiale og metode

    I femårsperioden 1990 – 95 ble alle barn som trengte kirurgisk behandling for vesikoureteral refluks forsøkt behandlet via cystoskop. Behandlingen foregår hovedsakelig som dagkirurgi. I narkose injiseres 0,2 – 1 ml teflonpasta under ureterostiet svarende til «kl 6». Ostiet blir da spalteformet på toppen av en submukøs «pute» (fig 1). Indikasjonen for denne behandlingen var den samme som vi tidligere hadde for reimplantasjon, dvs. refluks minst grad III (ev. grad II hvis motsatt side allikevel skal behandles), tegn til nyreaffeksjon, flere episoder av urinveisinfeksjon til tross for medikamentell profylakse, ingen mulighet for å gjennomføre profylakse av medisinske og/eller sosiale årsaker og ingen tilbakegang av refluks etter flere års medisinsk behandling. Vi benytter internasjonal gradering I – V (fig 2) (8). 102 barn med refluks til 155 uretre ble behandlet av samme barnekirurg (KOV). Det var 78 jenter og 24 gutter, i alderen ti uker til 14 år. Både primær refluks, sekundær refluks (nevrogen blære, infravesikal obstruksjon) og kompleks refluks (refluks ved dupleksuretre, ureterektopi, ureterocele, og etter operasjon) er tatt med (tab 1). Rutinekontroll med miksjonscystografi og ultralydundersøkelse av urinveier ble avtalt henholdsvis tre og 12 måneder etter behandling.

    Tabell

    Tabell 1 Sekundær og kompleks refluks i 53 uretre behandlet endoskopisk ved Ullevål sykehus 1990 – 95

    Antall

    Nevrogen blære

    7

    Dupleksuretre

    20 komplette12 inkomplette

    Ureterocele

    4

    Paraureteral divertikkel

    1

    Ektopisk ureter

    3

    Prune belly ureter («sviskemage»- syndromet)

    1

    Postoperativ refluks

    5

    Resultater

    Resultater

    Ved tremånederskontroll av 133 refluksuretre var refluks forsvunnet i 90, var redusert dvs. av lavere grad i 17 og var uforandret i 26. Residiv av refluks fra tremånederskontroll til ettårskontroll ble påvist i åtte av 88 uretre, men bare en var av en grad som krevde en ny injeksjon.

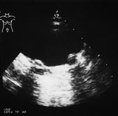
    Gjentatt behandling ble utført i 22 refluksuretre, med opphør av refluks i 13, bedring av refluks i seks og uforandret i tre. Hos 13 pasienter, 18 refluksuretre, ble det nødvendig med reimplantasjon. De fleste av disse hadde kompleks refluks. De røntgenologiske funn før og etter behandlingen illustreres i figur 3 der miksjonscystografi tre måneder etter behandlingen viser at refluksen er forsvunnet på begge sider. Ved ultralydundersøkelse av blæren kan teflonpasta sees som ekkorike, skyggegivende små oppfyllinger ved ostiene (fig 4).

    Diskusjon

    Diskusjon

    I likhet med resultater fra andre barnekirurgiske sentre i utlandet er vår erfaring at vesikoureteral refluks kan behandles endoskopisk med vellykket resultat. Spesielle anatomiske forhold kan gjøre denne behandling vanskelig eller umulig. Ved dupleksuretre vil bare ca. 50 % bli kvitt sin refluks (9). Ureterocele tilhørende et nedre ureterostium kan forhindre tilfredsstillende injeksjon av teflonpasta under det øvre refluksostium. Injeksjonen kan være vanskelig ved fortsatt refluks etter tidligere transtrigonale reimplantasjoner og likeledes i blærer med uttalt trabekulering/pseudodivertikler. Vår erfaring er også at refluks til megauretre som ender ektopisk i blærehalsen, ikke egner seg for denne behandlingsmåten. Det store flertall av pasientene blir imidlertid kvitt sin refluks ved en eller flere injeksjoner.

    Det er bred enighet om at endoskopisk behandling av vesikoureteral refluks er en elegant og lite traumatiserende metode som gir tilfredsstillende resultater. Hoveddiskusjonen har gått på hvilken injeksjonssubstans som bør velges. Migrasjon av teflonpartikler til regionale lymfeknuter og fjernmigrasjon til andre organer på forsøksdyr (10) har ført til forsøk med en rekke forskjellige substanser som kollagen, fettvev, bruskvev, dekstranomer mikrosfærer, silikon og glass. Noen av disse har vært mer lovende enn andre, men foreløpig har ingen utpekt seg som det suverene middel. Det er hittil ikke rapportert sikre bivirkninger av teflon, og det hevdes også at det ikke foregår noen fjernmigrasjon ved de små volum som injiseres ved refluksbehandling (11).

    Konklusjon

    Konklusjon

    Endoskopisk behandling av vesikoureteralrefluks hos barn har fått stor utbredelse etter at metoden ble lansert for vel 15 år siden og er nå rutinemetoden ved Barnekirurgisk avdeling, Ullevål sykehus. Det oppnås tilbakegang av refluks i 75 – 90 % av tilfellene avhengig av hvilke grader og typer av refluks som inkluderes og om resultatet vurderes etter en eller flere injeksjoner. Det er beskrevet svært få langtidsbivirkninger, men en viss residivtendens, hovedsakelig første år etter behandlingen.

    Kommentarer  ( 0 )

    Anbefalte artikler